автордың кітабын онлайн тегін оқу Книга про твой мозг
Владислав Гринюк
Книга про твой мозг
Шрифты предоставлены компанией «ПараТайп»
Иллюстратор Chat.openai Нейросеть
© Владислав Гринюк, 2024
© Chat.openai Нейросеть, иллюстрации, 2024
Для кого данная книга?
Она для тех, кто интересуется активным долголетием. Каждый человек хочет жить не просто долго, но и активно как в физическом, так и в когнитивном плане. Кому нужны дополнительные 20 лет жизни в маразме, в течение которых вы будете вызывать страдание у всей вашей семьи? Никто не хочет оставить о себе такие жуткие воспоминания у самых близких людей. Как этого избежать, я подробно рассказываю в этой книге.
ISBN 978-5-0062-5079-6
Создано в интеллектуальной издательской системе Ridero
Оглавление
Здравствуйте, друзья! Меня зовут Гринюк Владислав, я врач-невролог, кандидат медицинских наук, преподаватель высшей школы.
Еще немного обо мне:
— стаж работы неврологом более 11 лет,
— научный сотрудник медицинского университета,
— автор научных статей,
— специалист в области диагностики и лечения когнитивных нарушений.
В своей книге я рассказываю о том, какие состояния могут угрожать вашему когнитивному здоровью, а также даю советы, как этих состояний избежать и сохранять ясность мышления в любом возрасте. Приятного чтения и будьте здоровы!
САМЫЙ УНИКАЛЬНЫЙ ОРГАН НАШЕГО ТЕЛА
В первую очередь немного расскажу о нашем мозге, как он функционирует и от чего зависят когнитивные способности.
Если мы посмотрим на наш организм, то увидим, что часть органов дублируются: почки, легкие, яичники, надпочечники, щитовидные и паращитовидные железы. Такое дублирование показывает нам, насколько важны для нас те или иные органы. И, казалось бы, головной мозг — это один из самых важных органов. Но в данном случае никакого дублирования мы не видим. Наоборот, во многом у каждого полушария разные специализации. Но зато мозг имеет уникальные виды защиты, которые недоступны другим органам.
Во-первых, это единственный орган нашего организма, который находится внутри костной структуры, что обеспечивает защиту от травм.
Также голова находится на самом подвижном участке позвоночного столба — шейном отделе позвоночника. Большое количество условных рефлексов позволяет мышцам шеи выполнять очень быстрые движения головой, убирать голову в случае опасности.
Кроме того, самый лучший зрительный контроль осуществляется за предметами, находящимися перед черепом, что также уменьшает вероятность травмы.
Второй момент: мозг защищен от гипоксии, он получает 15% кровоснабжения нашего тела, при этом вес мозга, как правило, составляет всего 2% от массы всего тела. Мозгу требуется 3—4 мл кислорода и 5г глюкозы на 100г вещества мозга в минуту, он кровоснабжается сразу четырьмя крупными артериями, при этом, если сужение артерий не превышает 70%, например, на фоне атеросклероза, кровоток головного мозга никак не меняется. Одновременно с этим, нервные клетки способны выдерживать значительные колебания кровоснабжения. Но и это не все. Артерии внутри головного мозга особенные, они способны поддерживать постоянный кровоток при системном артериальном давлении от 50 до 170 мм. рт. ст. Кроме всего прочего, части нашего мозга во время активной работы могут кровоснабжаться в 2—3 раза сильнее, чем соседние области, например, височные области в момент обучения, области лобной коры во время решения задач. Мозг также защищен энергетически: несмотря на высокий уровень кислорода и доступность глюкозы в крови, наши нервные клетки способны метаболизировать эту глюкозу без помощи инсулина. Но этого им мало, они еще способны получать энергию из молочной кислоты, которая синтезируется в мышцах во время физической работы. То есть после физической работы все ткани нашего организма могут испытывать некоторый энергетический дефицит, но это не относится к нашим нервным клеткам. Они, наоборот, получают дополнительный источник энергии.
Кроме всего перечисленного ранее, у мозга еще и особая иммунная система. В то время, как весь организм будет страдать от системного воспаления на фоне ОРВИ или других заболеваний, за гематоэнцефалическим барьером будет полный штиль. Гематоэнцефалический барьер — это особенная система иммунной защиты нервной системы. Даже при гнойном заболевании кожи, бронхите или пневмонии, как правило, не возникает воспаления в ликворе. (Ликвор — это жидкость, которая циркулирует внутри нервной системы.) Итак, защита от физических повреждений, защита от нарушения кровообращения, защита от недостатка энергии и инфекций. Кроме этого, вроде банально, но защита от ожирения. Вы не ослышались: внутри черепа не накапливается подкожно-жировая клетчатка. Жировые отложения нарушают работу нашей печени, почек, сердца, я имею в виду, механически, но они никак не вредят нашему мозгу, просто в голове нет места, где способен накопиться жир.
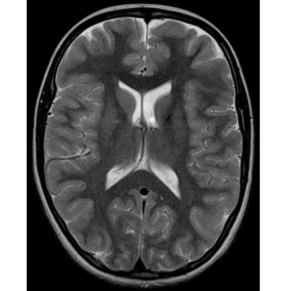
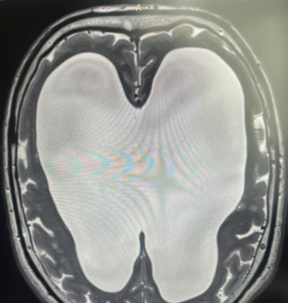
Помимо всего этого, у мозга есть еще одна потрясающая способность — способность сжиматься без какой-либо травмы вещества мозга, если в голове постепенно уменьшается полезный объем. На фото вы видите МРТ человека с нормотензивной гидроцефалией (стр.7), а рядом обычное МРТ (стр.6).
При нормотензивной гидроцефалии объем желудочков мозга увеличивается постепенно. Вы видите, насколько мало места в черепе осталось непосредственно для головного мозга, примерно в два раза меньше нормального объема. И вот этот человек с такими проблемами в голове ходил на работу, начал отмечать замедленность мышления, снижения скорости обработки информации, поэтому обратился к неврологу. Нейрохирурги выполнили ему операцию, после которой желудочки мозга стали нормального размера. И он вновь стал думать так же быстро и великолепно запоминать информацию. И за несколько месяцев сжатия в его мозге не погибли клетки, там не возникло участков некроза, видимых на МРТ. Представьте, если бы мы сдавили мышцы бедра или предплечья. Уже через несколько часов был бы некроз мышц, а здесь несколько месяцев — и без последствий. Таким образом, компенсаторная способность к уменьшению объема у мозга совершенно поражает воображение.
Почему такое особенное отношение нашего организма к мозгу? Дело в том, что слишком много поставлено на карту. При нарушении функционирования мозга, например, при отеке может остановиться сердце, при поражении волокон, идущих от коры к конечностям, вы не сможете двигать руками или ногами, при поражении верхнешейного отдела спинного мозга — не сможете дышать. Поэтому организм так тщательно оберегает этот орган.
Безусловно, у такой системы есть и определенные недостатки.
Во-первых, очень большие клетки. Вы можете померить длину самой длинной вашей клетки, это расстояние от 12 грудного позвонка (к нему крепится последнее ваше ребро) до большого пальца ноги. Длина этих клеток точно больше метра. Представьте, длина одной клетки на 40 см больше длины ваших штанов. Но это не все. У одного нейрона взрослого человека в среднем 10 000 связей с другими нервными клетками. Каждую из таких клеток обслуживают сотни, а иногда и тысячи клеток-помощников. Из-за всего этого долгое время считалось, что нервные клетки не восстанавливаются. Понятно, что процесс роста новых нервных клеток происходит достаточно медленно и высокоспециализированная нервная клетка не может разделиться на две таких же. Есть особенные области головного мозга, в которых образуются нервные клетки: считается, что это гиппокамп и область вокруг желудочков мозга. Запомните эти названия, я специально написал их. Дело в том, что во многих исследованиях по когнитивному восстановлению измеряют толщину гиппокампа, а область вокруг желудочков мозга сильнее всего страдает при сосудистом поражении мозга (об этом буду рассказывать ниже).
Друзья, каждый день у нас образуется около 1500 тысяч новых, свежих нервных клеток, готовых приступить к работе. Кроме того, не все нервные клетки способны выполнять только сугубо определенные функции. Большая часть нашего мозга может менять свою специализацию. Это позволяет быстро восстановиться после инсульта или травмы, не ждать, пока вырастет «молодежь», а перестроить работу уже имеющихся клеток. Связи между нервными клетками образуются и разрушаются каждый день, это и определяет пластичность нашей нервной системы. Способность перестраиваться.
Что мы имеем в итоге? Самый защищенный орган нашего организма, способный к регенерации.
Почему же так много людей сталкиваются с нарушением памяти и внимания?
Итак, каждый день образуется около 1500 новых нервных клеток. Казалось бы, неплохо: 550 000 в год, за 50 лет — 25 000 000. Однако у нас 100 миллиардов нервных клеток, и 25 миллионов по сравнению с 100 миллиардами — это очень мало, то есть за всю жизнь человека не произойдет даже однократного обновления. Конечно, число скорее всего пока сильно занижено, это связано со сложностью подсчета. Но, тем не менее, сразу понятно, что оно значительно ниже скорости деления остальных клеток. Даже самой старой клетке кости всего 12 лет, а остальным гораздо меньше. Таким образом, нам необходимо стараться не убить наши 100 миллиардов супер выносливых и ко всему привыкших нейронов.
Почему же не всем это удается? (Кстати, маленькая ремарка: большинству все же, к счастью, удается.) Деменцией болеют далеко не 100% пожилых людей, примерно 10—15% из них. И замечу, в большинстве своем проблемы возникают после 50—60 лет. В принципе, долгое время мозг работает нормально, несмотря на попытки человека его повредить.
Есть несколько основных причин снижения памяти и внимания, и самая частая из них — это нарушение использования своего тела, то есть осознанное или не совсем осознанное, но целенаправленное повреждение своего мозга. Очень интересно, что решения, которые приводят к повреждению клеток головного мозга, генерирует сам головной мозг. Потом он управляет телом, чтобы оно долгое время исполняло действия, приводящие к этому повреждению. Получается, в каком-то смысле, это даже элемент суицида.
Другая проблема кроется в генетике. На данный момент в России можно выполнить практически полный спектр генетических анализов, но делаются они достаточно редко, основная проблема — это отсутствие понимания пациентов и иногда врачей, что делать с этими анализами. Ведь наличие у человека гена — хорошего или плохого — не означает, что организм будет использовать этот ген. Зачем же тогда делать анализ? Или другой вариант, некоторым людям в голову может прийти такая мысль: «если генетический анализ окажется положительным, значит, на роду написано, ничего не изменить, зачем тогда его сдавать и пытаться бороться с судьбой». Разумеется, и первый и второй подход неверны. Знание дефекта позволяет действовать на опережение и существенно заранее диагностировать проблему. Даже не болезнь, а проблему. Мы не знаем всех факторов, которые приводят к проявлению патологического гена, но многие факторы уже известны, и возможности убрать часть из них есть у каждого человека. Также генетический анализ позволяет определить склонность к тромбозам или чувствительность к плесени. Большинство людей не чувствительны к плесени, но часть людей с определенным геном могут от нее страдать. Поэтому генетический анализ для них позволит начать профилактику.
Ну и самое важное: болезнь Альцгеймера начинается за 15—20 лет до начала симптомов, и у нас есть методы, позволяющие диагностировать данное заболевание на ранней стадии. Самая точная методика — это измерение маркеров данного заболевания в жидкости, которая омывает мозг. Но для этого нужно делать люмбальную пункцию — прокол в области поясницы. Просто так доктора это исследование не делают, но, если у вас положительный ген APOE4, тогда выполнение анализа целесообразно.
Итак, давайте разберем, что необходимо нашему мозгу для сохранения численности нейронов?
СОН
Друзья, что происходит в нашей голове во время сна? Для чего он нужен? Сколько необходимо спать?
- Басты
- Медицина
- Владислав Гринюк
- Книга про твой мозг
- Тегін фрагмент
