автордың кітабын онлайн тегін оқу Почему мужчины хотят секса, а женщины любви
Аллан & Барбара Пиз
Почему мужчины хотят секса, а женщины любви
Книги Аллана Пиза
«Харизма. Искусство успешного общения»
В своей книге Аллан и Барбара Пиз сформулировали основные правила эффективной коммуникации. Они предлагают специальные вербальные и невербальные техники ведения переговоров, а также простые и действенные стратегии общения, которые помогут вам быстро установить контакт с любым собеседником.
«Язык жестов в любви»
Авторы в своей новой книге раскрывают главные секреты общения между мужчинами и женщинами. Вы научитесь быть более привлекательными для представителей противоположного пола, распознавать, кому вы симпатичны, назначать свидания и строить крепкие отношения со своей второй половинкой.
«Почему мужчины хотят секса, а женщины любви»
Авторы знаменитого «Языка телодвижений» предлагают свою помощь в решении самых острых коммуникационных проблем, возникающих между близкими людьми. А попутно отвечают на вопрос: почему мужчины и женщины воспринимают любовь по-разному?
«Язык взаимоотношений»
На пороге третьего тысячелетия мы все так же пребываем в неведении о взаимоотношениях полов, как и в начале времен, и поэтому продолжаем добывать крупицы знаний на полях семейных сражений. Аллан и Барбара Пиз научат вас ретироваться с поля боя, а иной раз и избежать самой схватки. Практические советы, которые легко выполнить, помогут вам не только наладить теплые и доверительные отношения в семье, но и сделают вашу жизнь гармоничнее и счастливее.
Вступление
Сью была в ярости. Да, она просила темненького мальчика с крупным носом, похожего на кинозвезду, но это было слишком!
Сегодня мы сталкиваемся с такими сексуальными ситуациями и обстоятельствами, с какими никогда не сталкивались наши предки. Мы можем изменять собственную репродуктивную способность с помощью гормонов, искусственного осеменения и экстракорпорального оплодотворения. Мы можем знакомиться с новыми партнерами через брачные агентства и Интернет. Мы можем улучшать свою внешность с помощью пластической хирургии и косметики. Мы можем получить совершенно новую жизнь буквально на блюдечке. Ни одному другому виду животных это не доступно.
Люди – настоящие специалисты в изучении брачного поведения других видов. Мы можем предсказывать поведение животных, даже менять его. Мы можем создавать новые породы животных, которые будут выглядеть совершенно по-другому. А вот когда речь заходит о поиске партнеров для себя, успеха добиваются лишь немногие представители человечества. Еще меньше людей понимает содержание самого процесса поиска и подбора пары. Большинство животных не испытывает трудностей в поиске партнеров и установлении отношений. У самки начинается течка, самец спаривается с ней – и все кончено.
Человек – единственное животное, у которого есть проблемы с брачными играми.
Состояние отношений с партнерами (или отсутствие партнеров) – это постоянная тема разговоров, особенно женских разговоров, во всем мире. Немногое приносит нам такую радость и восторг, как личные отношения. Но в то же время отношения могут приносить огромную боль и отчаяние. Любовь всегда была и остается наиболее распространенной темой музыкальных произведений, мыльных опер, романтических книг, фильмов и поэзии. Любовь доступна всем народам, и во всех языках есть слова для описания этого чувства.
Так что же такое любовь? Этот вопрос человек задает себе на протяжении нескольких тысяч лет. Ученые пытаются определить природу любви с помощью всех возможных наук. И каждый хочет убедить остальных в своей правоте. Но ни один полученный до сих пор ответ нельзя считать окончательным. Любовь – чувство ускользающее и неуловимое. Неудивительно, что у него есть столько определений и истолкований.
А почему мы занимаемся сексом? Что заставляет мужчин постоянно стремиться к сексу? Что заставляет женщин постоянно добиваться от мужчин обязательств? В этой книге мы ответим на ваши вопросы. Мы покажем, почему начинаются секс, любовь и романтика, расскажем о научных данных, которые доказывают, что любовь «живет» в мозгу, и научим, как вести себя, чтобы ваша личная жизнь доставляла вам только радость. Мы использовали специальные исследования, эксперименты ученых, собственную информацию и анекдоты, чтобы вам было легко и приятно читать нашу книгу.
Поиск «единственного»
Большинство людей живет с убеждением в том, что в один прекрасный день они встретят своего «единственного» – того особого человека, с которым можно будет прожить всю жизнь. Но у очень многих эти ожидания не оправдываются. Большинство людей вступает в брак, считая, что «только смерть разлучит их». Однако количество разводов во многих странах уже превышает 50 % от числа заключенных браков, а количество внебрачных связей оценивается в 30–60 %, при этом женщины изменяют реже, а мужчины чаще.
Соотношение разводов среди тех, кто сначала живет вместе, а потом вступает в брак, достигает 25 % в Канаде и Испании и превышает 50 % в Швеции, Норвегии и Франции.
Неспособность создать семью большинством людей рассматривается как личная неудача. Миллионы людей обращаются к психотерапевтам, однако те убеждают их, что конфликты в личных отношениях являются нормой.
Секс подобен воздуху: о нем не вспоминаешь, пока не лишишься его.
В 80-е годы считалось, что человеческое поведение преимущественно является усвоенным и может быть изменено. Но теперь мы знаем, что большинство наших реакций являются врожденными. На самом деле с конца XX века ученые, изучающие человеческое поведение, совершили огромное множество открытий, которые доказывают, что человек рождается со встроенной в мозг «схемой», которая и определяет его поведение. Мы также знаем, что на наши мысли и поступки влияют культурные факторы и внешние силы – например, общение с учителями, друзьями, родителями и коллегами. Следовательно, природные данные и наши поведенческие навыки, приобретенные в процессе воспитания в определенной окружающей среде, связаны неразрывно. Представьте свой мозг в виде операционной системы сложного компьютера. В ней есть установки по умолчанию, которые включаются в моменты стресса, – это врожденные инстинкты. Приобретенная часть – это то, что получено под воздействием внешних факторов, окружающей среды, которая выполняет роль программного обеспечения, управляющего «железом» нашего мозга.
Природные данные – техническая часть нашего мозга; то, с чем мы рождаемся. Воспитание (поведенческие навыки) – то, что мы приобретаем в результате контактов с окружающей средой.
Мы не хотим сказать, что люди являются заложниками ДНК. В человеческом мозгу имеются лобные доли, которые позволяют нам выбирать образ действий. Но очень важно понимать, что при этом у каждого из нас есть «багаж», полученный от предков. Развитие коры головного мозга – той его части, которая получает информацию от органов чувств, управляет памятью и мыслительными процессами, – позволяет нам мыслить, совершать выбор и во многих случаях подниматься выше унаследованной планки. А вот когда речь заходит о сексе, любви и романтике, наследственные механизмы заставляют нас формировать те же предпочтения и совершать те же поступки, какие были характерны для наших предков. Вы увидите, что избежать этого невозможно. Если ваш мозговой компьютер находится в состоянии стресса или просто сломался, он начинает действовать по примитивным встроенным установкам. Искусственная среда «равенства» создана людьми, которые предполагают, что все люди хотят одного и того же. Это не что иное, как политкорректное программное обеспечение.
Мы – мужчины и женщины, и от секса и любви нам нужно не одно и то же. Речь идет не о лучшем или худшем, просто о разном. И это определяется «железом» нашего мозга. Мы можем совершать сознательный выбор собственных желаний, но внутренний компьютер все равно направляет нас туда, куда ему нужно.
Мы покажем вам, что женщины точно так же заинтересованы в сексе (ну или в «занятиях любовью», как они любят это называть), как и мужчины. Мы объясним, что сексуальные желания мужчин и женщин возникают в различных обстоятельствах и условиях, что у мужчин и женщин разные приоритеты. Мы проанализируем то, чего на самом деле хотят мужчины и женщины, поговорим о случайном сексе и о супружеской измене. Мы расскажем вам о сексе и любви то, чего большинство людей просто не знает. И мы расскажем вам о разработанной нами стратегии, которая заметно повысит вашу рыночную стоимость в брачных играх.
Что такое «заниматься любовью»? Это то, что делает женщина, когда мужчина занимается с ней сексом.
Почему в западном мире так относятся к сексу
Большинство существующих в западном мире сексуальных предубеждений можно приписать британской королеве Виктории и ее супругу Альберту. Годы правления Виктории (1837–1901) характеризовались строгими моральными устоями, сексуальным подавлением и низкой терпимостью к преступности. Существование женской гомосексуальности категорически отрицалось, а мужская гомосексуальность считалась преступлением. Благодаря существованию Британской империи, викторианские ценности распространились по всему миру.
В период расцвета Викторианской эпохи ножки мебели (например, роялей или столов) драпировали, чтобы они не вызывали сексуального возбуждения. Купальные костюмы закрывали все тело мужчин и женщин. Виктория даже издала указ, по которому в приличном обществе нельзя было упоминать куриную грудку. Она запретила рекламу женского белья. Неудивительно, что и сейчас большая часть общества считает наготу и сексуальное возбуждение синонимами.
В Викторианскую эпоху в смешанном обществе считалось неприличным произносить слово «нога»; следовало говорить «конечность».
Викторианских женщин учили никогда не заигрывать с мужчинами и не предаваться сексуальным фантазиям. Они должны были целиком посвящать свою жизнь мужу, семье и стране. Социальный успех мужчины отчасти основывался на пассивности его жены. Считалось, что у женщин вообще нет сексуальных потребностей. В то время многие полагали, что женщины не любят секс и мужчинам приходится всячески склонять их к этому неприятному занятию. В книгах того времени писали, что хороший муж не должен заниматься с женой сексом чаще одного раза в полгода. В таких книгах давалось множество советов мужчинам о том, как подавить свои сексуальные желания. Самый распространенный совет викторианской женщине: лечь на спину, закрыть глаза и «думать об Англии».
Как англичанин узнаёт, что его жена умерла? Секс остается прежним, но в раковине скапливается много грязной посуды.
Скорее всего, ваши бабушки или прабабушки родились именно в то время. И викторианское отношение к сексу передалось вам от родителей, даже если вы этого не осознаете. Если вы ощущаете неловкость при упоминании слова «секс», если сексуальные анекдоты смущают вас настолько, что вы пытаетесь сменить тему разговора, то, скорее всего, подобный дискомфорт объясняется влиянием на вас викторианских ценностей. Вот почему в англоязычных странах, и в особенности в Британии, существует так много сексуальных запретов, которых нет в европейских странах, не испытавших на себе влияния викторианских ценностей. Если у вас нет культурных связей с Викторианской эпохой, но вы все же ощущаете неловкость при обсуждении вопросов секса и сексуальности, то, скорее всего, это связано с религией. Кроме того, некоторые лидеры сознательно используют собственную власть и принуждают своих последователей придерживаться той же извращенной морали.
Статистика
Сегодня около половины браков распадается, причем 85 % разводов происходит по инициативе женщин. Установлено, что в одной только Великобритании ежедневно совершают самоубийство трое мужчин, столкнувшихся с необходимостью выплачивать непосильные алименты. Система основана на принципе: больше зарабатываешь, больше плати. Эти мужчины не могут двигаться вперед, ощущая подобные кандалы. Семья и дети делают жизнь прекрасной, но, когда отношения заканчиваются разрывом, люди страдают и даже совершают самоубийства. Вот почему так важно понимать, каким образом мозг подбирает нам партнеров.
В Европе на каждый брак приходится один развод. Это означает, что все меньше людей создают семьи и все больше браков распадается. Около 30 % повторных браков также заканчиваются разводами.
В этой книге мы использовали не фольклор, не мифы, не предсказания звезд и не политкорректные идеалы, а современные научные данные. Большая часть из того, о чем мы будем говорить, основана на статистике. Мы проанализировали огромное количество исследований – от чисто эмпирических и научных экспериментов до социологических опросов, проведенных разными учеными (в том числе и нами самими). Мы старались найти ответ на вопрос, почему люди ведут себя так, как они себя ведут, и почему мыслят именно так, а не иначе. Если наши идеи не находили научного и достоверного подтверждения, мы от них отказывались.
Мы работали над этой книгой шесть лет. За это время у нас (людей среднего возраста) с помощью экстракорпорального оплодотворения родилось двое детей. Мы боролись с раком простаты и всем, что с этим связано. Мы преодолели множество препятствий, которые могли бы положить конец любовной жизни любой пары. И то, о чем мы будем говорить в этой книге, основано не только на научных данных, но еще и на нашем личном опыте, наблюдениях и стратегиях, а также на опыте тех, с кем мы встречались на жизненном пути.
Итак, получайте удовольствие!
Аллан и Барбара Пиз
Глава 1
Секс – дело мозга
Тут сказано: «Вставьте стержень А в прорезь В»
Страсть, влюбленность, романтика, всепоглощающая любовь, мурашки по коже – так мы описываем ощущение экстаза, восторга, счастья и неземного блаженства, которое в тот или иной момент жизни испытывал почти каждый из нас. Но вместе с этим приходят чувства боли, страдания, разочарования, мучения и горя. На протяжении тысяч лет специалисты безуспешно пытались определить, что же такое романтическая любовь. И, как правило, они приходили к выводу о том, что это чувство управляется силами, не поддающимися контролю со стороны человека, то есть является сверхъестественным, мистическим или спиритическим. Однако мы с легкостью определяли остальные человеческие состояния, такие как депрессия, тревожность, навязчивые мысли и страх.
С 70-х годов люди испытывают глубокую духовную тоску по любви. Эта тоска порождена разрушением социальных структур, которые позволяли нам поддерживать близкие связи с друзьями, родными и любимыми и которые являлись абсолютной нормой на протяжении тысяч лет. Мы развивались как животные, которые заботятся о своем потомстве, защищают его, любят друг друга и зависят друг от друга. Мы должны были существовать коллективно – как социальные и семейные ячейки. Старшие поколения заботились о детях, а среднее поколение работало и добывало пищу. По вечерам старшие рассказывали детям сказки, давали им жизненные уроки и знакомили с наследием. Такого рода семейные структуры сейчас существуют только в примитивных культурах – на Ближнем Востоке, в Азии и Средиземноморье, а также в странах третьего мира. И по мере того как все больше людей предпочитает оставаться в одиночестве, подобная социальная норма распространяется все шире. Миллион лет общество строилось на союзе мужчины и женщины. Современное же общество отталкивает их друг от друга. Разрушение основной семейной структуры ведет к утрате ценностей, безотцовщине и эмоциональному хаосу.
Одинаковые цели, разные действия
Когда дело касается любви и секса, мужчины и женщины ведут себя совершенно по-разному, и объяснение этому кроется в нашем прошлом. Проще говоря, современных мужчин возбуждают визуальные образы и признаки женского здоровья, плодовитости и молодости, тогда как женщин заводят образы мужской власти, статуса, обязательств и материального благополучия – точно так же, как их предшественниц. На самом деле за сотни тысяч лет в смысле сексуальных стимулов и потребностей практически ничто не изменилось. Подобная идея не пользуется популярностью в политкорректном мире, где стало модно говорить, что мужчины и женщины хотят от жизни одного и того же, руководствуются одними и теми же мотивами, предпочтениями и стимулами. Но, читая эту книгу, вы убедитесь в том, что это мнение весьма далеко от истины. Пожалуй, в глубине души вы и сами знаете, что это не так. Этот миф распространяют люди, стремящиеся к власти, – бюрократы, церковные лидеры, феминистки и другие политически мотивированные личности. Возможно, говорить, что мужчины и женщины мыслят одинаково и хотят одного и того же, вполне политкорректно. Но если вы будете общаться с ними или руководить ими, то сразу же поймете, что политкорректно – не значит правильно.
Сила любви
Дэвид Басс, профессор психологии из Университета Техаса в Остине, известен во всем мире своими эволюционными исследованиями сексуальных различий человека в подборе партнера. Он и его помощники изучали романтическую любовь в 147 странах. Ученые нашли эмпирические доказательства романтической любви в наскальных росписях, манускриптах, стихах, песнях и книгах. Большинство людей, думая о любви, видят в ней только положительные стороны. Они представляют, как смотрят в глаза любимого человека, держат его за руку, распевают серенады, занимаются любовью и испытывают теплые, приятные чувства. Но у любви есть и оборотная сторона. Басс и другие исследователи нашли немало свидетельств использования приворотных средств и амулетов, привораживания, любовных проклятий, самоубийств и убийств, продиктованных любовью – завоеванной или потерянной. И сейчас каждое четвертое убийство совершается из-за несчастной любви. Супруги, любовники, соперники, преследователи и изменники погибают во всем мире. Практически у каждого народа есть свой вариант истории Ромео и Джульетты.
Жертвы несчастной любви часто страдают депрессией, некоторые даже пытаются совершить самоубийство. В результате многие из них становятся пациентами психиатрических клиник.
Неистребимая потребность в любви поселяет в нас возбуждение, отчаяние, страх, желание мести – и зачастую эти чувства возникают в человеке одновременно.
И поскольку романтическая любовь универсальна и знакома каждому народу на земле, она должна иметь под собой биологическую основу. Другими словами, любовь не может быть народной традицией, как идолопоклонство или религия. Любовь – это мощная сила, которая живет в каждом из нас.
Биология любви
Ученые, исследующие работу человеческого мозга в состоянии влюбленности, пришли к выводу о том, что за спаривание и воспроизводство отвечают три отдельные мозговые системы – страсть, романтическая любовь и длительная привязанность. Каждая из этих систем связана с гормональной активностью, которая вызывает определенные чувства и изменения поведения. Анализируя любовь в разрезе этих трех систем, гораздо проще определить, на какой стадии находится влюбленный, и понять его действия.
Цель этой главы – помочь вам разобраться с основными мозговыми функциями, управляющими страстью, романтической любовью и длительной привязанностью. Мы попытались сделать разъяснения максимально короткими и простыми. Говоря о конкретных зонах мозга, вы должны понимать, что эти участки являются частью общей мозговой системы. Мы бесконечно благодарны профессору Грэму Джексону из Института исследований мозга в Мельбурне за помощь в этой области. Мы упростили информацию, чтобы сделать ее более доступной для читателей. В то же время мы понимали, что не следует стремиться к чрезмерному упрощению. Эти знания очень важны, потому что будут использоваться на протяжении всей книги. Для любителей научной литературы мы использовали медицинскую терминологию, но вам всего лишь нужно понять значимость данной информации для вашей любовной жизни. Мы будем обсуждать принципы, которые актуальны для большинства людей, а не для меньшинств или исключений.
Доказано, что любовь является результатом образования конкретных химических веществ в определенных участках мозга. Проще говоря, любовь возникает благодаря комбинации химических веществ, таких как допамин, окситоцин, тестостерон, эстроген и норэпинефрин. Практически те же самые вещества заставляют других млекопитающих искать себе подходящих партнеров. Как только наш мозг заметил партнера, подходящего нам по ряду критериев, о которых мы поговорим позже, он начинает вырабатывать вещества, необходимые для создания среды, привлекательной для данного партнера.
Любовь – это химическая реакция в мозгу.
На протяжении всей человеческой истории браки заключались из-за богатства, статуса, семейного соперничества и политических соображений. Сегодня такой подход в западном мире практически не существует. Большинство людей женится по любви.
Когда речь заходит о выборе партнера, люди сосредоточиваются только на одном человеке. Это отличает их от большинства других животных. Ухаживающий голубь распушает перья и обольщает столько потенциальных партнерш, на сколько у него хватает энергии. Люди же обычно сводят список кандидатов к минимуму, но преследуют свою цель очень энергично.
Любовь с первого взгляда
Явление «любви с первого взгляда» научно доказано и свойственно большинству животных. Да и проявляется она у всех одинаково.
Рэй делал покупки в супермаркете и случайно бросил взгляд за коробки с кукурузными хлопьями. Увиденное потрясло его до глубины души. Рэя охватила эйфория, у него закружилась голова. В соседнем проходе стояла женщина, которая сразу же пленила его сердце. Ее нельзя было назвать красивой в обычном смысле этого слова, но в ее внешности и манере двигаться было нечто необыкновенное. Рэй сразу же понял, что влюблен. Ему достаточно было взглянуть на эту женщину, и его тут же охватывало невероятное возбуждение. У Рэя буквально мурашки забегали по коже.
Но наряду с чувством восторга и эйфории от встречи с этой замечательной незнакомкой в душе Рэя поселилось и отчаяние. Он знал, что она никогда не будет принадлежать ему.
Если вы когда-либо испытывали любовь с первого взгляда, то в тот момент ваш мозг вырабатывал большое количество допамина и норэпинефрина. Вы чувствовали себя, как настоящий наркоман. То же самое происходит и с другими животными. Возьмите, к примеру, полевую мышь. Если самка почувствует даже самый легкий запах мочи самца, в ее организме произойдет та же реакция, что и в человеческом, – выброс допамина и норэпинефрина. Одно исследование показало, что когда течной овце показывали снимки баранов, уровень норэпинефрина в мозгу животного повышался. Хотя у большинства животных этот эффект длится несколько секунд или минут, у человека он может длиться месяцы и даже годы.
Сегодня ученые считают, что любовь с первого взгляда – это абсолютно реальное явление. Ученые, работающие в этой области, считают, что в стабильном обществе, где люди не испытывают страха смерти или войны, страсть, романтическая любовь и длительная привязанность являются лучшими и наиболее эффективными способами продолжения человеческого рода.
Так поступать меня заставляет Дарвин
Страсть основывается на выбросе сексуальных гормонов – тестостерона и эстрогена. Эти гормоны заставляют человека немедленно стремиться к физическому удовлетворению. Страсть активизирует два основных участка мозга – гипоталамус, который управляет первобытными функциями, такими, как голод и жажда, и мозжечковую миндалину, то есть центр возбуждения. В приступе страсти вырабатывается большое количество допамина, который способствует выработке тестостерона и повышению сексуальной привлекательности. Это происходит, когда вы впервые видите человека, который вызывает в вас страстное желание обладать им.
В 2006 году в Университете Чикаго было проведено исследование, которое доказало, что даже во время простого разговора с незнакомой женщиной уровень тестостерона в организме мужчины повышается на 30 %. Чем сильнее эта гормональная реакция, тем сильнее меняется мужское поведение. Исследование также показало, что повышение уровня тестостерона у женатых мужчин и отцов происходит менее значительно, чем у одиночек, которые «еще в игре», потому что отцы увлечены родительской ролью, и уровень окситоцина в их организме выше, чем у холостяков, которые все еще ищут, кому бы передать свои гены.
Страсть, вне всякого сомнения, ведет к продолжению рода и способствует выживанию человечества. Страсть необходима в экстремальных условиях, когда на романтику просто нет времени. Кроме того, женщины способны выносить за год только одного ребенка. А следовательно, без страсти люди оказались бы на грани вымирания – мы слишком медленно воспроизводимся, и поэтому мать-природа сделала нас страстными существами. Вот почему люди в опасных ситуациях, например, в военное время, испытывают сильнейшую страсть даже к совсем посторонним людям. Если жизни угрожает опасность, человек испытывает страстное желание передать свои гены.
Короче говоря, страсть, любовь с первого взгляда и навязчивые, целенаправленные аспекты земной любви – это виды поведения, которые сформировались для ускорения спаривания и обеспечения более высокой вероятности успешного воспроизводства человека.
Давай займемся любовью
Основной гормон, отвечающий за сексуальное желание, это тестостерон. В организме мужчины содержание тестостерона в 10–20 раз больше, чем в женском. Вот почему мужчины так сильно и часто хотят секса. Тестостерон делает мужчин более крупными, более волосатыми, более сильными, более агрессивными и более сексуально страстными. А вот содержание окситоцина в мужском организме значительно ниже, чем в женском. Окситоцин, который называют еще «гормоном ласки», в больших количествах вырабатывается в мужском и женском организме во время оргазма. Как только у мужчины может возникнуть новая эрекция, уровень окситоцина падает. Вот почему ласки после секса так важны для женщин и практически не нужны мужчинам.
В 2006 году Ребекка Тернер, профессор факультета организационной психологии международного университета в Сан-Франциско, доказала, что окситоцин является основой для человеческой эмоциональной привязанности. Когда люди влюблены, то есть испытывают эмоциональную привязанность, уровень окситоцина в их организмах довольно высок. Этот гормон вызывает теплые, нежные чувства, которые мы испытываем по отношению к предмету нашего желания. Более высокий, чем у мужчин, уровень окситоцина объясняет, почему женщины в начале новых отношений влюбляются сильнее мужчин. Чем больше окситоцина вырабатывается в их организме, тем более заботливыми они становятся и тем глубже их эмоциональная связь с мужчиной. Женщине достаточно услышать имя любимого, почувствовать запах его одеколона, подумать о нем или услышать песню, под которую они танцевали, как уровень окситоцина в ее организме повышается. Дорогая одежда, идеальный макияж, обилие украшений и новая спортивная машина не могут замаскировать эмоциональное состояние женщины. Если она чувствует себя любимой и обожаемой, гормоны вызывают прилив крови к щекам, что заставляет женщину «сиять». Она буквально излучает счастье. Если же она чувствует себя нелюбимой и никому не нужной, это заметить еще проще.
В чем разница между мужчинами и женщинами?
Женщина хочет, чтобы один мужчина удовлетворял все ее маленькие прихоти.
Мужчине же нужно, чтобы все женщины удовлетворяли одну его маленькую прихоть.
Исследования Дэвида Басса показали, что на этапе влюбленности уровень тестостерона в организме мужчин понижается, а окситоцина повышается, что ускоряет процесс формирования эмоциональной связи. Это делает мужчин мягче, нежнее и общительнее. В то же время уровень тестостерона в организме женщин повышается, и это объясняет возбуждение и уверенность, которые любая женщина ощущает в начале новых отношений. Повышение уровня тестостерона заставляет женщин желать секса, и это создает иллюзию того, что мужчины и женщины стремятся к сексу одинаково. Когда же период влюбленности через три-девять месяцев заканчивается, сексуальность партнеров возвращается к нормальному состоянию. И тогда у мужчины создается впечатление, что женщина не любит секс, а женщине кажется, что она связалась с сексуальным маньяком. На этом многие отношения заканчиваются.
Почему влюбленные сходят с ума друг от друга
Джозефине 33 года. Она мать-одиночка и всю свою жизнь посвятила детям. Через полгода работы на новом месте она попала на корпоративную рождественскую вечеринку. Вечеринка проходила на круизном корабле в Сиднейском заливе. Джозефина выглядела прекрасно. Многие мужчины говорили ей комплименты и смотрели на нее с восхищением. Это вселило в нее уверенность в себе, и она почувствовала себя красивой. Корабль заскользил по залитой лунным светом воде. В этот момент Джозефине представили Рика, симпатичного молодого человека из мельбурнского офиса. Как только они пожали друг другу руки, сердце Джозефины забилось быстрее. Рик был высоким, темноволосым, привлекательным, веселым. Казалось, его так же влечет к ней, как и ее к нему. После танцев и романтического ужина они проговорили всю ночь и провели вместе следующий день и вечер. Джозефина была полностью очарована.
Возвращение домой к детям было чудесным, но она продолжала думать о Рике и о проведенном с ним времени. Она гадала, скучает ли он по ней так же, как и она по нему. За следующие несколько дней она даже похудела, потому что не могла есть. Джозефина могла думать только о Рике. Она начала звонить ему каждый час, чтобы сказать, что мечтает о нем. Она посылала ему текстовые сообщения по утрам. Она стала покупать ему подарки, чтобы показать, как он ей дорог. Дети начали чувствовать себя заброшенными, их поведение стало меняться к худшему, но она не обращала на это внимания. Джозефина отменила курс стоматологического лечения для сына, а на эти деньги купила билет на самолет, чтобы встретиться с Риком. Ей казалось, что настало время подумать о собственных потребностях и начать жизнь заново.
Во многих отношениях изменения в поведении во время романтической любви напоминают психоз. С биохимической точки зрения страстная любовь очень похожа на наркоманию. Доктор Джон Марсден, руководитель Британского национального центра зависимостей, выяснил, что любовь вызывает такую же сильную зависимость, как кокаин и скорость. Он считает романтическую любовь ловушкой, основная цель которой удержать партнеров вместе достаточно долго. Антрополог Хелен Фишер, автор книги «Анатомия любви», называет влюбленность «определенной последовательностью химических реакций, которые происходят в мозгу и напоминают психическое заболевание». Доктор Фишер считает, что во время влюбленности активизируются те же участки мозга, что и при употреблении кокаина, и человек испытывает то же сильное возбуждение, что и при приеме наркотиков. Исследователи также связали романтическую любовь с путями распространения допамина, гормона, отвечающего за ощущение эйфории, страстного желания и зависимости.
Мурашки бегут по спине
Химические вещества, которые вырабатываются в мозгу при возникновении новой любви, вызывают различные физические ощущения и реакции. Об этом говорят около 90 % влюбленных. Люди теряют сон и аппетит, испытывают прилив крови к щекам, возбуждение, неловкость, эйфорию, ощущение мурашек, учащение дыхания и сердцебиения, головокружение, слабость в коленях, у них потеют ладони, они начинают заикаться. Многие из этих реакций связаны со страхом быть отвергнутым любимым человеком, так что все это является эволюционным блоком возбуждения и страха, испытываемых одновременно. Влюбленные не только испытывают эти эмоции, но еще и постоянно изучают лицо любимого человека, ища признаки взаимности.
Кэрол Кинг идеально описала химические реакции, происходящие в процессе влюбленности, в тексте своей песни 1970 года «Я чувствую, как земля уходит из-под ног». Певица поет о том, как ее бросает из жара в холод, как она теряет эмоциональный контроль, как начинает стучать ее сердце, как небо падает, когда любимый рядом. Точно такие же ощущения испытывает любой наркоман.
Любовь может стать восхитительным аттракционом, и такое случается неожиданно для большинства людей. Они не готовы контролировать свои чувства и не могут этого сделать. Эти ощущения возникают в части мозга, отвечающей за подсознание и первобытные инстинкты, – в коре. Эта часть гораздо сильнее рациональной, мыслящей части. Вот почему влюбленные ведут себя иррационально. Точно так же реакция «дерись или беги» заставляет человека при встрече со львом бежать сломя голову, а не спокойно и трезво обдумывать план спасения.
Любовная эйфория вдохновляла поэтов и композиторов на создание лирических любовных песен, мелодий и трогательных стихов. А других та же самая любовь делала жертвами ревности и паранойи. Недавно проведенные исследования показывают, что любовь может кардинально улучшить здоровье человека, даже излечить рак и другие тяжелые болезни. Любовь заставляет нас продолжать жить с теми, чье поведение опасно для нашего благополучия, и такое случается довольно часто.
Есть не могу, спать не могу
Стадию влюбленности часто называют болезнью. Влюбленные говорят, что не могут есть, плохо спят. Они демонстрируют стандартное компульсивное поведение – например, звонят своим любимым по 20–30 раз в день. Такое поведение связано с низким уровнем серотонина и высоким уровнем окситоцина. Серотонин – это нейротрансмиттер, который повышает концентрацию, степень внимания и четкость восприятия окружающей обстановки и ощущение благополучия.
Депрессия и пищевые расстройства также связаны с понижением уровня серотонина. Действие антидепрессантов как раз и направлено на повышение уровня этого вещества. В женском организме естественное содержания окситоцина на 30 % выше, чем в мужском. Это явление в сочетании с низким уровнем серотонина объясняет, почему женщины чаще «сходят с ума» от своих партнеров и даже демонстрируют навязчивое поведение.
«Любовь – это всего лишь грязный трюк, направленный на продолжение рода».
У. Сомерсет Моэм
В 2007 году Серж Брэнд и его коллеги из университетской психиатрической клиники в швейцарском Базеле опросили 113 человек в возрасте 17 лет. 65 из них сказали, что недавно влюбились. Брэнд выяснил, что влюбленные подростки меньше спят, чаще проявляют компульсивное поведение и обладают «массой безумных идей и творческой энергией». Влюбленные подростки более склонны к рискованному поведению – экстремальному вождению или банги-джампингу. Брэнд показал, что подростки на ранних стадиях интенсивной романтической любви ничем не отличаются от пациентов, страдающих гипоманией. Другими словами, иногда бывает трудно отличить влюбленного подростка от человека, которого со всеми на то основаниями считают психически больным.
Если вы когда-нибудь говорили, что сходите с ума по кому-то, то были совершенно правы.
Что показывает сканирование мозга
Новые технологии, такие как ядерно-магнитный резонанс (ЯМР) и магнитно-энцефалографическое сканирование (МЭС), открыли перед учеными целый новый мир. Ученые получили возможность изучать работающий человеческий мозг, не причиняя вреда пациенту.
Изучение любовных и сексуальных реакций мозга достигло пика в 2002 году, когда английские нейробиологи Андреас Бартельс и Семир Зеки из университетского колледжа Лондона провели исследование молодых мужчин и женщин, только что вступивших в новые отношения и «безумно влюбленных». Когда этим людям показывали фотографии их любимых, мозговая активность резко менялась в сравнении с тем, когда они смотрели на фотографии близких друзей. Сканирование мозга показало, что романтическое влечение активирует те зоны мозга, где сконцентрированы рецепторы допамина. Допамин, как вы помните, – это нейротрансмиттер, который влияет на ощущение наслаждения. Его часто называют «гормоном счастья». Высокий уровень допамина и норэпинефрина обостряет внимание, улучшает краткосрочную память, приводит к гиперактивности, бессоннице и целенаправленному поведению. Когда партнеры только влюбляются друг в друга, они часто демонстрируют признаки повышения уровня допамина: они полны сил, им не хочется спать и есть, они сосредоточены и находят огромное наслаждение в мельчайших деталях новых отношений. Бартельс и Зеки сравнили результаты сканирования мозга людей, находившихся в различных эмоциональных состояниях – сексуального возбуждения, ощущения счастья и кокаиновой эйфории. Оказалось, что результаты практически идентичны.
Придется признать: вы – наркоман любви
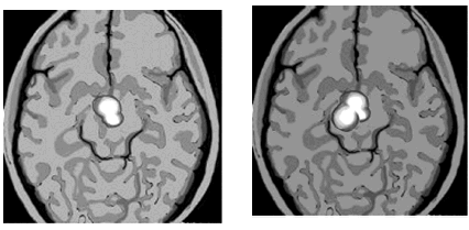
Ниже показаны результаты сканирования мозга «безумно влюбленного» человека и кокаинового наркомана. Убедитесь, что они почти идентичны.
На левом снимке показан участок мозга, активизирующийся у «безумно влюбленного» человека. На правом снимке показан участок мозга, который активизируется при употреблении кокаина
Итак, влюблены ли вы или просто приняли наркотик, ваши ощущения будут одинаковыми. Сканирование также показывает, что у матерей, которые смотрят на своих младенцев, проявляется та же мозговая активность, что и у людей, глядящих на своих любимых. Бартельс и Зеки сделали вывод о том, что романтическая и материнская любовь связаны с продолжением рода, поскольку и любимый человек, и младенец обещают сохранение ДНК.
География секса и любви
В 2005 году доктор Люси Браун, профессор медицинского колледжа Альберта Эйнштейна в Нью-Йорке, вместе с самым известным биоантропологом мира, Хелен Фишер из Университета Рутджерса, провели исследование результатов сканирования мозга 17 молодых мужчин и женщин. Эти люди только что вступили в новые отношения и называли себя «безумно влюбленными», то есть они переживали период страсти или начала романтической любви. Сканирование мозга позволило физиологически объяснить, почему во время влюбленности мы ощущаем себя определенным образом – почему любовь является столь сильным чувством и почему отказ вызывает настолько болезненную и мучительную реакцию.
Ученые изучали участок мозга, отвечающий за пристрастия, память, эмоции и внимание, который называется «хвостатым ядром», а также вентрально-тегментальную область – ту часть мозга, откуда допамин поступает в другие участки. Эти области явно выделялись на снимках мозга, когда испытуемым показывали фотографии их любимых. Ученые также сравнили данные сканирования с исследованиями эректильной реакции мужчин на фотографии женщин. Они проанализировали данные, полученные при исследовании пар, которые долгое время были вместе (и людей, и животных). Ученые обнаружили, что в начале периода влюбленности вентрально-тегментальная область выбрасывает допамин в хвостатое ядро. Затем хвостатое ядро посылает сигналы с требованием большего количества допамина. Чем больше допамина вырабатывает ваш мозг, тем счастливее вы себя чувствуете. Фишер и Браун также подтвердили, что «безумная любовь» вызывает ощущения, сходные с наркотическим опьянением, что объясняется гормональной активностью.
