автордың кітабын онлайн тегін оқу Кровохарканье
А.Л. Вёрткин
Кровохарканье
© Вёрткин А.Л., текст, 2016
© Коллектив авторов, текст, 2016
© ООО «Издательство «Э», 2016
Аркадий Львович Вёрткин — руководитель Региональной общественной организации содействия развитию догоспитальной медицины «Амбулаторный врач» и Национального научно-практического общества скорой медицинской помощи, заслуженный деятель науки РФ, доктор медицинских наук, профессор, заведующий кафедрой терапии, клинической фармакологии и скорой медицинской помощи Московского государственного медико-стоматологического университета имени А.И. Евдокимова.
Абдулаева Асият Умаровна — ассистент кафедры терапии, клинической фармакологии и скорой медицинской помощи МГМСУ им. А.И. Евдокимова.
Введение
Правильная и своевременная оценка клинических симптомов, целенаправленная диагностика с применением современных методов способны ускорить распознавание заболевания, назначить обоснованное лечение и улучшить прогноз. Особенно актуальным это представляется в отношении симптомов, имеющих многообразные причины. Одним из таких является кровохарканье, появление которого может быть признаком как инфекционного заболевания, так и новоообразования, болезней сердца и сосудов, травм, ятрогенных влияний и др. Поэтому вне зависимости от перечисленных причин быстрое принятие решения при возникновении кровохарканья является чрезвычайно важным, а в ряде случаев и жизненно необходимым.
В данной ситуации центральным звеном является амбулаторная служба, на долю которой приходится большая часть пациентов, обращающихся за медицинской помощью.
Сегодня в арсенале поликлиники есть все условия для выяснения причин, вызвавших кровохарканье, проведения дифференциальной диагностики и принятия решения о лечебной тактике.
Поэтому в данной книге авторы посчитали необходимым вооружить врачей алгоритмом принятия решений, в том числе и на примере больных, обратившихся в поликлинику по поводу кровохарканья.
Медицина, как и любая отрасль науки, на протяжении своего развития претерпевает множество различных преобразований, и это ни для кого не секрет. Новшества, охватывающие систему здравоохранения, вне всякого сомнения, требуют незамедлительного переосмысления. Многие приоритеты со временем расставляются иначе. Но тем не менее, несмотря на меняющиеся условия, нельзя забывать фундаментальных основ медицины, того базиса, от которого всецело зависит успех профессионала.
Одной из основ формирования любых знаний в медицине, бесспорно, является патологоанатомический материал. Аутопсия, роль которой в последнее время значительно недооценивается, служит ведущим компонентом формирования клинического мышления врача.
«Если врач знает название вашей болезни, это еще не значит, что он знает, что это такое». Так звучит один из законов, вошедших в сборник «Законы Мерфи», – своеобразный «закон подлости» современной медицины. Подобные законы не должны находить отражения в практике врача-профессионала. И мы надеемся, что благодаря нашему изданию многих диагностических ошибок удастся избежать.
Мы надеемся, что книга станет наглядным пособием как для терапевтов, так и для врачей других специальностей, работающих в амбулаторном звене здравоохранения.
Коллектив авторов выражает благодарность сотрудникам городской клинической больницы им. Спасокукоцкого Департамента здравоохранения города Москвы А.Н. Быкову, Б.М. Бродецкому, Л.В. Домареву и О.И. Астаховой за помощь при подготовке данного пособия.
Рецензия
«Если твой день не изменил тебя – не ожидай перемены к лучшему. Если в тебе нет дисциплины сегодня – ты никогда не построишь великое будущее». Эти слова принадлежат Джорджу Грегори Плитт младшему – голливудскому актеру, известному борцу за здоровый образ жизни. Эти слова как нельзя кстати характеризуют профилактическое направление нашей медицины. Профилактика и раннее выявление заболеваний, а также своевременная и качественная диагностика и есть та внутренняя дисциплина, которая так необходима сегодня и нашим пациентам и нашим врачам. Именно поэтому, как бы ни менялись ориентиры, амбулаторная служба всегда остается ведущей в этом направлении.
В поликлинику обращаются многочисленные пациенты с разнообразными жалобами и симптомами. Задача терапевта выявить то, что является основным, на которое необходимо обратить самое пристальное внимание, дабы не пропустить серьезное заболевание и негативным прогнозом.
В этом плане симптом кровохарканья, который выбрали авторы книги, является именно той ситуацией, которая требует немедленного диагностического поиска.
Эта книга является очередным, уже 10, изданием серии «Амбулаторный прием», которую представляют на суд медицинской общественности коллектив кафедры терапии, клинической фармакологии и скорой медицинской помощи МГМСУ им. А.И. Евдокимова под руководством профессора А.Л. Верткина. В предыдущих книгах рассматривались также социально значимые болезни, с которыми часто обращаются пациенты в поликлинику. Среди них «Фибрилляция предсердий», «Остеопороз», «Постинфарктный кардиосклероз», «Сахарный диабет», «Коморбидный пациент», «Анемия», «Болезни щитовидной железы», «Внебольничная пневмония» и «Тромбоэмболия легочной артерии».
Эта серия книг должна быть настольным пособием в кабинете амбулаторного терапевта и помогать разобраться с наиболее частыми ситуациями на приеме больных в поликлинике. Во всяком случае мы на это надеемся.
Президент Российского научного медицинского общества терапевтов, академик РАН
А.И. Мартынов
Ключевые слова и список сокращений
КХ – кровохарканье
ХОБЛ – хроническая обструктивная болезнь легких
БЭ – бронхоэктазы
ТЭЛА – тромбоэмболия легочной артерии
АД – артериальное давление
КТ – компьютерная томография
МСКТ – мультиспиральная компьютерная томография
ОГК – органы грудной клетки
ФБС – фибробронхоскопия
ЭГДС – эзофагогастродуоденоскопия
ЭхоКГ – эхокардиография
ЭКГ – электрокадиография
НК – недостаточность кровообращения
ИБС – ишемическая болезнь сердца
ПНПГ – правая ножка пучка Гиса
ДН – дыхательная недостаточность
ЛДГ – лактатдегидрогеназа
ГЗТ – гиперчувствительность замедленного типа
МБТ – микобактерия туберкулеза
КРО – кардиореанимационное отделение
ЯБ – язвенная болезнь
СОЭ – скорость оседания эритроцитов
ЖКК – желудочно-кишечное кровотечение
Вместо предисловия: пациент с кровохарканьем на амбулаторном приеме у терапевта
Пациент Г., 71 год, наблюдается в поликлинике по месту жительства около 30 лет. По данным амбулаторной карты, причинами обращения в разное время служили: респираторные вирусные инфекции, обострение ХОБЛ, артериальная гипертония, мерцательная аритмия, язвенная болезнь двенадцатиперстной кишки. При описании объективного статуса имеются указания на пастозность голеней, скорее всего в рамках НК. За все эти годы пациенту время от времени назначались бронхолитики в разных комбинациях и путях доставки, ингибиторы ангиотензинпревращающего фермента, бета-адреноблокаторы, диуретики и аспирин. Кроме того, из анамнеза жизни известно о длительном стаже курения (около 40 лет) до 1,5 пачки сигарет ежедневно.
В течение последних 2 лет в поликлинику не обращался.
Настоящее ухудшение состояния в течение 5 дней в виде повышения температуры тела до 38,4 °C, кашля с отделением гнойной мокроты с прожилками крови, одышки, слабости, потливости. Самостоятельно принимал жаропонижающие препараты с непродолжительным временным эффектом. Учитывая отсутствие положительной динамики в состоянии, обратился в поликлинику по месту жительства. В поликлинике по назначению терапевта выполнена рентгенография органов грудной клетки и констатированы эмфизема легких, пневмосклероз; ЭКГ с выявленной мерцательной аритмией с умеренной тахисистолией, появление неполной блокады ПНПГ (на предыдущей ЭКГ двухлетней давности нарушений внутрижелудочковой проводимости не было). На основании этих данных терапевт поликлиники поставил диагноз: «ХОБЛ: хронический обструктивный бронхит, обострение». Назначены антибактериальная терапия, отхаркивающие препараты, общий анализ крови.
От ред.: ХОБЛ – заболевание, при котором наблюдается прогрессирующая, частично обратимая обструкция бронхиальных путей, обусловленная воспалением. Это проявляется затруднением дыхания, нарушением его частоты, глубины и ритма, сопровождающееся комплексом неприятных ощущений в виде стеснений в груди, недостатка воздуха, которые могут доходить до мучительного чувства удушья. При остром ухудшении состояния пациента с усилением кашля, увеличением объема отделяемой мокроты и/или изменением ее цвета, появлением/ нарастанием одышки, которое выходит за рамки ежедневных колебаний квалифицируется, как обострение ХОБЛ и является основанием для модификации терапии.
Через три дня при активном посещении пациента на дому отмечалось снижение температуры тела до субфебрильных значений, но сохранялись кашель, кровохарканье, усилилась одышка. При объективном обследовании врач констатировал над легкими ослабленное дыхание в нижних отделах справа, единичные мелкопузырчатые хрипы. С диагнозом «внебольничная пневмония» пациент направлен на госпитализацию в стационар.
От ред.: ВП – Пневмония – острое инфекционное заболевание, основным общепатологическим признаками которого являются воспаление дистальных отделов дыхательных путей, интерстиция и микроциркуляторного русла, вызванные бактериями, вирусами, грибами и простейшими. Внебольничной считается пневмония, приобретенная вне лечебного учреждения (синонимы: домашняя, амбулаторная). При респираторных инфекциях надо назначать препараты с антипневмококковым эффектом, так как пневмококки – самые частые возбудители (моно- или в комбинации) при этих инфекциях. Ципрофлоксацин даже в максимальных дозах недостаточно активен в отношении пневмококков, поэтому и появились «респираторные» фторхинролоны. Кроме того, учитывая клинику, факторы риска, больной нуждался в госпитализации уже при первом визите врача.
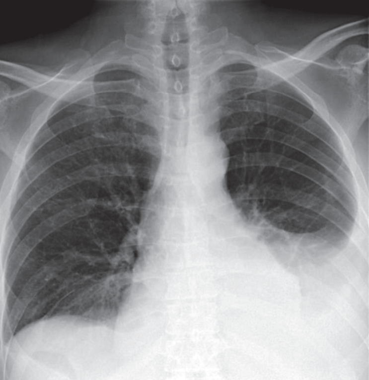
В приемном отделении стационара при осмотре состояние было оценено как тяжелое, выявлен цианоз губ, при аускультации над легкими – везикулярное дыхание, справа в нижних отделах ослаблено, там же выслушиваются мелкопузырчатые хрипы. ЧДД – 20 в минуту. Тоны сердца приглушены, аритмичны. ЧСС – 140 в минуту. АД – 100/60 мм рт. ст. Живот мягкий, безболезненный. Голени пастозны. Выполнена рентгенография грудной клетки, по результатам которой выявлена правосторонняя нижнедолевая пневмония и жидкость в обеих плевральных полостях (рис. 1). На ЭКГ: фибрилляция предсердий с ЧСЖ 120–200 в минуту. Неполная блокада ПНПГ, синдром sI-qIII.
Рис. 1. Рентгенограмма пациента Г. при поступлении в стационар
На основании имеющихся данных, терапевт приемного отделения установил следующий диагноз: «ИБС: фибрилляция предсердий, постоянная форма, тахисистолия и ХОБЛ: хронический обструктивный бронхит, обострение на фоне гипертонической болезни III стадии, очень высокого риска. Осложнениями являются НК, ТЭЛА, правосторонняя нижнедолевая пневмония (инфарктная), из сопутствующей патологией отмечена язвенная бо
