автордың кітабын онлайн тегін оқу ХОБЛ. Руководство для практических врачей
А. Л. Вёрткин, Л. А. Шпагина
ХОБЛ. Руководство для практических врачей
© Вёрткин А., текст, 2018
© Шпагина Л., текст, 2018
© ООО «Издательство «Э», 2018
* * *
Введение
…Когда тело пролетарского писателя после его смерти вскрыли, то, как свидетельствуют очевидцы, у Максима Горького «состояние легких оказалось ужасное. Оба легких почти целиком “закостенели”, так же ужасно выглядели бронхи. Было неясно, как он вообще дышал». Версия, что Горького отравили конфетами, не подтвердилась. Причина смерти – застарелая болезнь, и название ее – ХОБЛ.
В настоящее время ХОБЛ занимает «почетное» четвертое место в структуре смертности людей во всем мире, ежегодно унося жизни около 2,75 млн человек, что составляет 4,8 % всех причин смерти (ВОЗ, 2016).
ХОБЛ является ярким примером мультидицисциплинарной патологии, так как встречается практически у всех категорий пациентов, обращающихся за медицинской помощью. Тем не менее зачастую специалисты первичного звена недооценивают такие симптомы, как кашель с выделением мокроты и/или одышка, наиболее выраженные по утрам, сниженная двигательная активность, быстрая утомляемость, а также «когда в холодные сезоны возникают “частые простуды”» и др. Такая клиническая картина дебюта заболевания нередко расценивается врачами как проявление бронхита курильщика, и диагноз ХОБЛ на этой стадии практически не ставится. В случаях же системной манифестации заболевания, проявляющейся кахексией, слабостью мышц, остеопорозом, анемией, депрессией, легочной гипертензией с формированием легочного сердца, лечение и профилактика ХОБЛ становятся крайне затруднительными.
Особое место в течении ХОБЛ занимают обострения заболевания, которые, наряду с прочим, негативно воздействуют на качество жизни пациента, одновременно оказывая воздействие на клинические проявления и легочную функцию, способствуют повышению смертности, особенно в случаях, требующих госпитализации, и сопровождаются значительными социально-экономическими затратами. Так, в России экономическое бремя ХОБЛ с учетом непрямых затрат, в том числе невыхода на работу и менее эффективной производительностью труда в связи с плохим самочувствием, составляет около 25 млрд рублей.
Потенциальными причинами обострения ХОБЛ являются инфекции, загрязняющие окружающую среду агенты (аэрополлютанты), слабая приверженность лекарственной терапии, сопутствующие сердечно-сосудистые заболевания, подавление дыхательной функции вследствие неправильного применения седативных препаратов и др.
Одно из Глобальных исследований позволило оценить распространенность ХОБЛ с помощью стандартизованных вопросников и легочных функциональных тестов в популяциях взрослых людей старше 40 лет. Однако подавляющее большинство российских пациентов не используют эти рекомендации для определения выраженности клинических проявлений ХОБЛ, хотя это имеет решающее значение для выбора медикаментозной терапии и методов профилактики.
Согласно рекомендациям 2016 года, всем без исключения пациентам с ХОБЛ необходимо отказаться от курения, овладеть правильной техникой ингаляции и основам самоконтроля. При отсутствии противопоказаний всем рекомендуется вакцинироваться от гриппа и пневмококковых инфекций. Необходимо также определить уровень и интенсивность возможной для больного физической активности, убедив его в ее необходимости.
Такой комплексный подход (немедикаментозные и медикаментозные методы) в терапии ХОБЛ имеет огромное значение для замедления прогрессирования болезни и повышения качества жизни пациента.
Таким образом, мы постарались в краткой форме отразить многообразие проблем ХОБЛ, большинство которых должны эффективно решаться на амбулаторном приеме именно у терапевта.
Авторы приносят благодарность зав. патологоанатомическим отделением О. И. Астаховой и всем врачам терапевтических отделений ГКБ им. С. И. Спасокукоцкого Департамента здравоохранения Москвы за неоценимую помощь в подготовке этой книги.
Рецензия
Хроническая обструктивная болезнь легких – всемирно распространенное заболевание, в значительной степени снижающее качество жизни пациентов, являющееся одной из частых причин нетрудоспособности, инвалидности и занимающее четвертое место среди причин смерти в экономически развитых странах, в том числе и в России, после сердечно-сосудистых заболеваний, сахарного диабета 2-го типа и всевозможных травм.
Согласно большинству современных консенсусов, ХОБЛ рассматривается как системное заболевание, проявления которого выходят далеко за пределы дыхательной системы. Возникающая на фоне заболевания системная гипоксемическая гипоксия способна приводить к морфофункциональным нарушениям во всех органах и системах, прежде всего в наиболее чувствительных к кислородной недостаточности: головной мозг, нервная и костная ткани, сердечная мышца.
ХОБЛ является одним из наиболее коморбидных заболеваний человека, в структуре которых преобладают болезни сердца и сосудов, сахарный диабет, остеопороз, дефицит и саркопения, кахексия, депрессии и целый ряд других хронических недугов, инициация и прогрессирование которых происходит в связи с нарастанием системной гипоксии на фоне ХОБЛ.
Хорошо известно, что первой инстанцией при обращении больных за медицинской помощью является поликлиника. Примечательно, что у большинства амбулаторных пациентов высоко распространены коморбидные состояния. Поэтому и рецензируемая книга в серии «Амбулаторный прием» представляет собой важное пособие в первую очередь для поликлинических врачей, привлекая интерес читателя к проблеме ХОБЛ, как коморбидной патологии.
Книга является результатом совместного труда сотрудников кафедр терапии, клинической фармакологии и скорой медицинской помощи МГМСУ им. А. И. Евдокимова и госпитальной терапии и медицинской реабилитации Новосибирского ГМУ. Как и в других книгах этой серии, посвященных социально значимым патологиям, в настоящем руководстве представлены алгоритмы и пошаговые рекомендации по проведению диагностических процедур в установке диагноза и назначении обоснованной терапии.
Искренне надеюсь, что эта книга займет достойное место среди руководств для непрерывного медицинского образования врачей как первичного звена, так и стационаров, а также клинических ординаторов, аспирантов, студентов-старшекурсников и преподавателей медицинских вузов.
Президент Российского научногомедицинского общества терапевтов,академик РАН А. И. Мартынов
Ключевые слова и список сокращений
АД – артериальное давление
ГКС – глюкокортикостероиды
ДДАХП – длительно действующие антихолинергические препараты
ДДБА – длительно действующие бета-агонисты
ДДБД – длительно действующие бронходилататоры
ДыхН – дыхательная недостаточность
ИГКС – ингаляционные глюкокортикостероиды
ИКЧ – индекс курящего человека
ЛГИ – легочная гиперинфляция
ОРИТ – отделение реанимации и интенсивной терапии
ОФВ1 – объем форсированного выдоха за первую секунду
СМП – скорая медицинская помощь
ТЭЛА – тромбоэмболия легочной артерии
ФЖЕЛ – форсированная жизненная емкость легких
ХОБЛ – хроническая обструктивная болезнь легких
ЧДД – частота дыхательных движений
ЧСС – частота сердечных сокращений
Вместо предисловия: клинико-морфологическая демонстрация
Пациент Ю., 78 лет, поступил в стационар с направительным диагнозом СМП: подозрение на пневмонию с жалобами на кашель с отделением слизисто-гнойной мокроты, одышку с затрудненным выдохом при ходьбе по комнате, повышение температуры тела до 38 градусов, слабость, головную боль. В анамнезе заболевания: ухудшение в течение 10 дней, когда усилился кашель, заметил мокроту зеленого цвета, наросла одышка, повысилась температура до 37,5 °С. Амбулаторно принимал бромгексин, амоксициллин, без эффекта. Последние три дня – стойкое повышение температуры до 38,5, нарастание одышки, в связи с чем вызвал бригаду СМП.
Наблюдается у терапевта в поликлинике с диагнозом ХОБЛ, непостоянно получает препарат беродуал –2 вдоха 2 раза в день.
Анамнез жизни: около 50 лет курит по одной пачке в день. В течение многих лет кашель с отделением слизистой мокроты в утренние часы. Неоднократно стационарное лечение по поводу обострения ХОБЛ. Перенес инфаркт миокарда, периодически – пароксизмы фибрилляции предсердий.
При осмотре: состояние средней тяжести за счет интоксикации, дыхательной недостаточности. В сознании. Цианоз губ. Пониженного питания. Кожные покровы бледные. Периферические лимфатические узлы не увеличены. Бочкообразная грудная клетка. ЧДД 23 в мин. Дыхание в легких жесткое, справа ослабленное, множество сухих рассеянных хрипов. ЧСС 90 уд. в мин. АД 140/80 мм рт. ст. Тоны сердца приглушены, ритм неправильный, шумов нет. Живот мягкий, безболезненный. Печень выступает из-под реберной дуги на 4 см. Стул, диурез в норме.
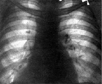
По данным обследования обращает внимание лейкоцитоз 18,1, при рентгеноскопии органов грудной клетки (рис. 1) деформация легочного рисунка, пневмония в нижней доле правого легкого, сердце расширено в обе стороны.
Рис. 1. Рентгенограмма больного Ю. 78 лет
На ЭКГ (рис. 2): перегрузка правых отделов сердца, отклонение ЭОС вправо, синдром S1Q3.
По тяжести состояния пациент был госпитализирован в ОРИТ, где наблюдался в течение суток и при нарастающих явлениях ДыхН и интоксикации наступила смерть больного.
На секции диагноз был сформулирован следующим образом:
Основное заболевание. Крупноочаговый (постинфарктный) кардиосклероз межжелудочковой перегородки.
Фоновое заболевание. Гипертоническая болезнь III стадии, нефросклероз.
Сочетанное заболевание. ХОБЛ: хронический обструктивный гнойный бронхит в стадии обострения; эмфизема легких, пневмосклероз.
Осложнения. Хроническое ле
