Бормашиной по мифам. Исповедь стоматолога
Қосымшада ыңғайлырақҚосымшаны жүктеуге арналған QRRuStore · Samsung Galaxy Store
Huawei AppGallery · Xiaomi GetApps

автордың кітабын онлайн тегін оқу  Бормашиной по мифам. Исповедь стоматолога

Дмитрий Бабаев

Бормашиной по мифам

Исповедь стоматолога






18+

Оглавление

ПРЕДИСЛОВИЕ

(почему я решил написать эту книгу)


Всё началось на дне рождения моей бабушки Светы.

Я только отрезал себе кусок торта (да-да, стоматолог тоже ест сладкое, сюрприз!), как ко мне подошла родная сестра бабули, Наталья Игоревна, и с порога выдала:

— Слушай, а правда, что фтор в зубной пасте — это яд, и нас всех травят специально?

Я ещё не успел ответить, как тут же из-за стола высунулся родной брат Рома:

— А можно отбелить зубы содой? Я в интернете видел!

— А зубы мудрости удалять обязательно или можно оставить? Лезет тут у меня один, глянь… — вклинился его друг, открывая свой большущий рот прямо над оливье.

— А правда, что женщинам в положении нельзя лечить зубы? — спросила беременная сестра Алёна.

— А вот я слышал, что если зуб не болит, то к стоматологу ходить не надо! — добавил кто-то из дальних родственников.

Стою я с куском торта в руке, и понимаю: надо что-то с этим делать. Отшутиться, как обычно делаю, точно не получится.

Исповедь стоматолога на семейных праздниках.

Самое удивительное — все они абсолютно серьёзно верят в то, что спрашивают.

Знаете, есть такая профессиональная деформация у врачей. Хирурги на вечеринках рассказывают про операции (и все морщатся). Гинекологи дают советы беременным родственницам. А стоматологи… Стоматологи превращаются в ходячую справочную службу.

После очередного «Слушай, я тут на днях заказал пластиковые самоклеящиеся виниры на AliExpress, поможешь зафиксировать?» от лучшего друга — чаша терпения была переполнена.

Пришло внезапное осознание, что проблема масштабнее, чем я думал.

Порой интернет — это место, где умирает здравый смысл.

Потом я начал замечать это повсюду. Пациенты приходят на приём и говорят:

— Я в социальных сетях видел, что…

И дальше следует такая дичь, что хочется закрыть кабинет, уволиться и уехать выращивать помидоры в деревню.

«…и без стоматолога можно вылечить кариес заговором и кокосовым маслом».

«…рентген зубов вызывает рак мозга».

«…молочные зубы лечить не надо, они же всё равно выпадут».

«…если потереть зубы банановой кожурой, они станут белыми».

И самое обидное — люди верят этому больше, чем врачу с дипломом и многолетним стажем!

Поймите меня правильно, я ни капельки не обижаюсь. Я просто не могу понять этого…

Как мы дошли до жизни такой, что статья «10 лайфхаков для белоснежной улыбки» от блогера Кати, 19 лет, копирайтер, считается более авторитетным источником, чем, ну не знаю, ВСЯ МИРОВАЯ СТОМАТОЛОГИЯ?

А потом я понял, в чём дело. Страх — двигатель самолечения. Люди боятся стоматологов. Факт. Нет, серьёзно. Боятся так, что готовы скорее поверить в чудо-метод из интернета, чем прийти на приём.

Один мой пациент (назовём его Андрей) терпел зубную боль три недели. ТРИ НЕДЕЛИ, КАРЛ! Пил обезболивающие горстями, полоскал рот всем, что нашёл в аптечке, включая перекись водорода и настойку календулы. Прикладывал к щеке капустный лист (серьёзно, это был 2023 год, а не Средневековье).

Когда он наконец пришёл, у него был флюс размером с теннисный мяч и температура 38,5.

— Почему вы не пришли раньше? — спрашиваю я, пока готовлю его к экстренному вмешательству.

— Боялся, — честно признаётся Андрей. — Думал, само пройдёт.

Вот так. Боялся укола анестезии больше, чем сепсиса.

И таких Андреев — миллионы. Мифы, которые живут дольше, чем должны. Устойчивые, как тараканы после ядерной войны. Страшно то, что эти мифы передаются из поколения в поколение, как проклятие в семье аристократов.

И тут я понял: люди не виноваты. Им просто никто нормально не объяснил, как всё устроено. В школе на уроках биологии нам рассказывают про инфузорию-туфельку, но не рассказывают, откуда берётся кариес. В поликлиниках врачи загружены так, что на объяснения нет времени — они просто делают своё дело и отправляют пациента дальше. В интернете — хаос из противоречивой информации, где рядом соседствуют научная статья и совет от «целительницы Людмилы». А страх перед стоматологом — это вообще отдельная тема. Его родители передают детям на генетическом уровне, пугая «вот будешь есть конфеты — пойдёшь к зубнику сверлить зубы!».

Так родилась идея.

Хватит бояться.

Хватит верить мифам.

Хватит терпеть боль, потому что «само пройдёт».

Хватит убивать зубы содой, лимоном и активированным углём.

Я решил написать эту книгу, которую не страшно читать. Без медицинского занудства и без запугивания. Книгу, которая объясняет сложные вещи простым языком. Которая развенчивает мифы и даёт реальные, работающие советы. Которая отвечает на все те вопросы, что мне задают не только в клинике, но и на семейных праздниках, в очереди в магазине, в самолёте (да, даже в самолёте). Которая, может быть, поможет хотя бы нескольким людям перестать бояться стоматолога и начать заботиться о своих зубах до того, как будет уже поздно.

Что вас ждёт в этой книге

Я не буду грузить вас латинскими терминами и сложными схемами строения зуба (хотя пару схем всё-таки будет, куда без них), не буду вам продавать какие-нибудь дорогие процедуры, говоря, что без них вы обречены.

Вместо этого я:

✓ Расскажу, откуда на самом деле берётся кариес (и это не только сахар, сюрприз!)

✓ Объясню, зачем природа придумала зубы мудрости, и что теперь с этим делать

✓ Развенчаю самые популярные мифы о зубах (их там целая коллекция накопилась)

✓ Покажу, что современная стоматология — это не больно (за очень редким исключением)

✓ Расскажу, как правильно чистить зубы (уверен: вы делаете это неправильно)

✓ Поделюсь реальными историями из практики (некоторые смешные, некоторые — страшные, но все — поучительные)

✓ Дам конкретные советы, которые реально работают.

И всё это — с юмором.

Потому что если о зубах можно говорить только серьёзно и занудно, то половина населения просто не дочитает до конца. А мне нужно, чтобы вы дочитали.


Эта книга ТОЧНО ПОДОЙДЁТ тем, кто:

— Боится стоматологов, но в то же время понимает, что это глупо

— Устал от противоречивой информации в интернете

— Хочет знать, на чём можно потратить меньше в лечении зубов, а на чём — нельзя

— Просто любит научпоп с юмором

…тогда вы попали прямо по адресу. Замечательно!


Последнее перед стартом

Я не идеальный стоматолог. Я не волшебник и не гуру. Я просто врач, который устал видеть, как люди страдают из-за незнания, страха или веры в глупости из интернета. Я хочу, чтобы после прочтения этой книги вы могли отличить откровенную чушь от правды и сэкономили деньги на ненужных процедурах. Если хотя бы одна из этих целей будет достигнута — я буду считать, что книга написана не зря.

Добро пожаловать в увлекательный мир стоматологии! Обещаю: будет весело, познавательно, и вы точно узнаете что-то, что заставит вас воскликнуть «Вот это да!» или «Батюшки, я всю жизнь делал это неправильно!»

P.S. Если после прочтения этой книги вы всё ещё будете верить, что зубы можно лечить содой и молитвой — я сдаюсь. Но хотя бы попробую.

P.P.S. Все истории из практики в этой книге реальные. Имена изменены, чтобы пациенты не узнали себя и не обиделись. Хотя, господи, если вы пытались выдернуть себе зуб плоскогубцами — всё про вас расскажу — вы это заслужили! =)

P.P.P.S. Да, я знаю, что большинство из вас откроют эту книгу, только когда уже заболит зуб и нужно будет скоротать время в очереди к врачу. Ничего страшного. Главное — откроете.

Ну что, готовы узнать правду о том, что творится у вас во рту?

Что ж… Пристегните ремни! Мы начинаем.


Ваш друг-стоматолог,

Дмитрий Бабаев.

ЧАСТЬ I. ЗНАКОМСТВО С ВРАГОМ (И ДРУГОМ)

Зуб — единственная часть человеческого тела, которая не способна к самовосстановлению, но при этом переживает своего владельца на тысячелетия

ГЛАВА 1. ЗУБНАЯ АНАТОМИЯ ДЛЯ ЛЕНИВЫХ

Что там вообще у нас во рту происходит?

Представьте, что ваш рот — это небольшой, но очень занятой завод по переработке пищи. Работает практически постоянно, без выходных и праздников. И главные рабочие на этом заводе — ваши зубы. Казалось бы, что там сложного? Зубы — это такие белые штуковины, которыми мы жуём еду, улыбаемся на фотографиях и иногда открываем бутылки (не делайте так, пожалуйста, я потом эти сколы реставрирую). Но на самом деле, у вас во рту происходит настоящая магия биоинженерии. Там есть:

✓ Конструкции, которые крепче бетона (эмаль)

✓ Живая ткань с нервами и сосудами (пульпа)

✓ Амортизаторы, которым позавидовал бы любой автомобиль (периодонт)

✓ Защитная армия в виде слюны (да, слюна — это не просто вода)

✓ Экосистема из миллиардов бактерий (и это нормально!)

Всё это работает слаженно, пока вы не начинаете есть третью шоколадку за день, забываете почистить зубы или решаете, что зубная нить — это для слабаков. Давайте разберёмся, что к чему, чтобы вы понимали, за что именно вы платите стоматологу, когда он говорит загадочные слова типа «пульпит», «периодонтит» или «кариес в стадии пятна».

32 зуба: кто есть кто (и почему у некоторых их меньше)

У взрослого человека должно быть 32 зуба. Должно. Но у многих их меньше, и это не всегда проблема. Почему так происходит? Вариантов несколько:

✓ Зубы мудрости не прорезались (самая частая причина)

✓ Зубы удалили (кариес, травма, ортодонтия)

✓ Зубы вообще не заложились (адентия — редко, но бывает)

✓ Зубы есть, но вы их не видите (ретенция — зуб сидит в десне и не хочет вылезать)

Так что если у вас 28 зубов вместо 32 — это нормально. Если 25 — уже стоит задуматься о протезировании. Если 20 — бегом к стоматологу, у вас проблемы.

Табель о рангах: кто чем занимается

Ваши зубы — это не одинаковые солдатики. Это специализированная бригада, где каждый выполняет свою работу.

— 1. РЕЗЦЫ (всего 8 штук: 4 вверху и 4 внизу) — «рубщики»

Где находятся: спереди, те самые, которые видно, когда вы улыбаетесь

Форма: плоские, с острым краем

Функция: откусывать пищу

Это ваша парадная команда. Они первыми встречают еду, откусывают кусочки и именно на них все смотрят, наша «визитная карточка». Резцы — самые уязвимые для травм. Именно их чаще всего сбивают в драках, при падениях и когда пытаются открыть зубами бутылку пива (да, Олег, я про тебя).

✓ Интересный факт: у грызунов резцы растут всю жизнь. У нас, к счастью, нет — иначе пришлось бы стачивать их постоянно, как ногти.


— 2. КЛЫКИ (всего 4 штуки) — «разрыватели»

Где находятся: по бокам от резцов, заострённые

Форма: конусовидные, с острым кончиком.

Функция: рвать и удерживать пищу

Это ваши «вампирские» зубы. У хищников они огромные, у нас — скромные, но всё ещё функциональные. Клыки — самые крепкие зубы во рту. У них самый длинный корень, и они держатся в кости как вкопанные. Поэтому они выпадают последними, даже если всё остальное уже давно в протезе.

✓ Интересный факт: в ортодонтии клыки называют «угловыми зубами», потому что они определяют форму вашей улыбки. Если клыки стоят неправильно — вся улыбка выглядит кривовато.


— 3. ПРЕМОЛЯРЫ (всего 8 штук) — «дробильщики»

Где находятся: за клыками, перед большими коренными

Форма: с двумя бугорками на жевательной поверхности

Функция: дробить и перемалывать пищу

Это ваши рабочие лошадки. Они берут то, что откусили резцы, и начинают размалывать в более мелкие кусочки. Премоляры — зубы-середнячки. Они не такие красивые, как резцы, и не такие мощные, как моляры. Но без них жевать было бы очень неудобно.

✓ Интересный факт: премоляры есть только у взрослых. У детей на их месте стоят молочные моляры, которые выпадают в 9—12 лет.


— 4. МОЛЯРЫ (всего 12 штук) — «мельницы»

Где находятся: в самой глубине рта, большие и массивные

Форма: с 4—5 бугорками на жевательной поверхности

Функция: перемалывать пищу в кашицу

Это ваши «наковальни». Огромные, мощные, с несколькими корнями (у верхних — три, у нижних — два). Моляры выполняют 80% работы по жеванию. Поэтому именно на них чаще всего бывает кариес — в складках и бороздках (фиссурах) застревает еда, и если её не вычищать, бактерии устраивают там вечеринку.

К молярам так же относят эти удивительные, полные загадок и тайн, зубы мудрости (третьи моляры, 4 штуки) — самые дальние зубы верхнего и нижнего зубного ряда. Они вызывают столько вопросов, что пришлось посвятить им отдельную главу этой книги.

✓ Интересный факт: у некоторых людей зубы мудрости вообще не закладываются генетически. Это не патология — это эволюция в действии. Через пару тысяч лет у человечества, возможно, вообще не будет зубов мудрости.

Формула зубов: как стоматологи считают

Когда стоматолог смотрит вам в рот и бормочет что-то типа «один-шесть кариес, четыре-семь пульпит», он не читает заклинание. Он использует международную систему нумерации зубов.

Рот делится на 4 квадранта:

В каждом квадранте по 8 зубов, пронумерованных от центра к краю:

1 = центральный резец

2 = боковой резец

3 = клык

4, 5 = премоляры

6, 7, 8 = моляры (8-й — это зуб мудрости)

Так что, когда врач говорит «два-восемь», он имеет в виду зуб мудрости на верхней челюсти слева.

Зачем это знать? Чтобы понимать, о чём вообще речь, когда вам показывают план лечения. И чтобы не было ситуации «доктор, а вы точно тот зуб удалили?»

Эмаль, дентин, пульпа — звучит как заклинание, но это просто слои зуба

Зуб — это не монолитная белая штука. Это слоёный пирог из нескольких тканей, каждая из которых выполняет свою функцию. Давайте разберём зуб по слоям, как луковицу (только без слёз).

Анатомия зуба

СЛОЙ 1: ЭМАЛЬ — крепость из минералов, самая твёрдая ткань в вашем организме, состоящая на 96% из минералов (гидроксиапатит кальция) и: покрывает коронку зуба (видимую часть) слоем толщиной 1,5—2,5 мм (на жевательной поверхности толще, у шейки зуба тоньше). Эмаль — это ваша броня. Она защищает зуб от механических повреждений (кусаем, жуём, скрипим зубами во сне), температурных перепадов (горячий кофе и холодное мороженое) и химических атак (кислоты из еды и бактерий).

Особенности эмали:

✓ Твёрже стали — по шкале Мооса (это шкала твёрдости минералов) эмаль имеет показатель 5, что твёрже золота и меди

✓ Не имеет нервов — поэтому, когда кариес только в эмали, зуб не болит

✓ Не восстанавливается сама — если эмаль разрушилась, она не отрастёт заново. Максимум — реминерализация (укрепление) на начальных стадиях

✓ Пористая — в ней есть микроскопические поры, через которые минералы входят и выходят. Этим пользуются кариозные бактерии

Если она такая твердая и прочная, то почему всё-таки разрушается? Причин несколько: кислоты (из еды, из бактериального налёта), механическое истирание (слишком жёсткая щётка, бруксизм) и деминерализация (нехватка минералов в слюне).

Что убивает эмаль быстрее всего:

— Сладкая газировка (двойной удар: сахар + кислота)

— Лимоны и цитрусовые (кислота)

— Частые перекусы (рот не успевает нейтрализовать кислоту)

— Рвота (булимия, токсикоз) — соляная кислота из желудка растворяет эмаль с особой жестокостью.


СЛОЙ 2: ДЕНТИН — живая основа зуба, находится под эмалью, состоит: на 70% из минералов, на 20% из органики, на 10% из воды. Этот слой желтовато-коричневого цвета (именно он определяет, насколько ваши зубы от природы белоснежные). Дентин — это каркас зуба. Он мягче эмали, но всё ещё очень прочный.

Его особенности:

✓ Живая ткань — в нём есть микроскопические канальцы (дентинные трубочки), в которых находятся отростки клеток пульпы

✓ Чувствительный — если эмаль стёрлась и дентин обнажился, зуб начинает реагировать на горячее/холодное/сладкое

✓ Может восстанавливаться — дентин способен «наращиваться» изнутри, защищая пульпу. Это называется вторичный дентин.


Почему зубы желтеют с возрастом?

С годами эмаль истончается (стирается), и сквозь неё всё сильнее просвечивает дентин. А дентин сам по себе желтоватый. Вот и всё объяснение.

Что с этим делать?

Ничего страшного. Это нормальный процесс старения. Хотите белее? Отбеливание поможет (о нём поговорим в отдельной главе).


СЛОЙ 3: ПУЛЬПА — тот самый «нерв», который все ненавидят. Представляет собой мягкую ткань глубоко внутри зуба, состоящую из нервной ткани, мелких кровеносных и лимфатических сосудов и соединительной ткани. Заполняет собой полость внутри зуба (пульповую камеру) и в корневые каналы.

Пульпа — это сердце зуба. Именно благодаря ей зуб живой, она:

✓ Питает зуб — через кровеносные сосуды приносит минералы и кислород

✓ Сигнализирует о проблемах — нервы в пульпе вызывают боль, когда что-то не так

✓ Производит дентин — клетки пульпы (одонтобласты) создают новый дентин изнутри

✓ Защищает от инфекции — иммунные клетки в пульпе борются с бактериями.


Когда кариес добирается до неё, возникает воспаление. Это называется пульпит, и это очень больно. Представьте: пульпа находится в жёсткой камере из дентина. Когда она воспаляется, она отекает. Но расшириться некуда — стенки же твёрдые! Поэтому давление внутри зуба растёт, нервы сдавливаются, и вы получаете ту самую адскую зубную боль, от которой не помогают обезболивающие.

Что же делать?

Идти к стоматологу. Однозначно. Он либо вылечит пульпу биологическим методом (если воспаление несильное), либо удалит её («удалит нерв», как говорят пациенты). После чего зуб становится «мёртвым» — он больше не болит, но становится со временем более хрупким и будет постепенно темнеть.


СЛОЙ 4: ЦЕМЕНТ — твёрдая ткань, покрывающая корень зуба, во многом похож на кость. К нему крепятся связки, которые держат зуб в челюсти. То есть цемент — это фундамент. Его не видно, но он критически важен. В норме вы его никогда не увидите, потому что он находится под десной. Но если десна опускается (когда возникает её рецессия), цемент обнажается — и тогда зуб становится чувствительным, потому что цемент гораздо тоньше и мягче эмали.


БОНУС: ПЕРИОДОНТ — важнейший амортизатор. Это не часть зуба, но важная часть конструкции. Уверен, вы с ним знакомы с детства. Помните, когда расшатывали молочный зуб и он потом висел «на ниточке»? Вот-вот! Периодонт представляет собой мельчайшие связки из соединительной ткани, которые держат зуб в кости челюсти как в «гамаке» и поэтому каждый наш зуб имеет некоторую физиологическую подвижность (можете проверить пальцами и покачать любой свой зуб). Всё это работает как амортизатор в автомобиле — гасится излишняя жевательная нагрузка, чтобы зуб не разрушался от постоянного механического воздействия.

Когда периодонт воспаляется (пародонтит), связки разрушаются, и зуб начинает сильно шататься. Если ничего не делать — выпадет.

ПОЧЕМУ ЗУБЫ НЕ КОСТИ (СПОЙЛЕР: ОНИ КРУЧЕ)

Самое популярное заблуждение: «Зубы — это кости». Нет. Зубы — это не кости. Да, они твёрдые. Да, белые (ну, почти). Да, содержат кальций. Но на этом сходства заканчиваются.

Вы сломали руку? Она срастётся. Кость способна к регенерации — клетки размножаются, производят новую костную ткань, и через несколько недель/месяцев перелом заживает.

Вы сломали зуб? Всё. Он не отрастёт. Почему? Потому что эмаль не содержит живых клеток. Это чистый минерал. Он не может размножаться и восстанавливаться. Дентин теоретически может нарастать изнутри, но только в одну сторону — в сторону пульпы (вторичный дентин). Наружу он не растёт. Поэтому если у вас откололся кусок зуба, его можно только нарастить (композитом, керамикой) или закрыть коронкой. Сам по себе он не срастётся.

Почему же зубы КРУЧЕ костей?

1. Зубы прочнее

Эмаль — самая твёрдая ткань в организме. Кость по сравнению с ней — просто мел. Вы можете грызть орехи, кусать яблоки, жевать мясо — и зубы выдерживают нагрузку до 100 кг на квадратный сантиметр. Попробуйте так же нагрузить обычную кость — она просто треснет.

2. Зубы устойчивы к кислотам

Кости растворяются в кислоте довольно быстро. Зубы — гораздо медленнее. Эмаль более устойчива к химическим атакам. Правда, не настолько устойчива, чтобы пережить регулярные атаки кислот из газировки и бактериального налёта. Но всё же.

3. Зубы служат всю жизнь

Кости постоянно обновляются — старые клетки умирают, новые появляются. Полная замена скелета происходит примерно раз в 10 лет. Зубы не обновляются. Эмаль, которая у вас сейчас, — это та же эмаль, что сформировалась, когда вам было 6 лет (для постоянных зубов). Она просто стоит и работает. Если вы за ней ухаживаете, она может прослужить 80—90 лет.

4. Зубы способны выдерживать экстремальные температуры

Вы пьёте горячий кофе (+60° C), потом сразу едите мороженое (-10° C). Перепад 70 градусов за минуту! Зубы смогут выдержать это (но лучше так не делать!). Кость при таком температурном шоке сразу треснула бы.

ГЛАВА 2. ЗУБЫ МУДРОСТИ: КТО ИХ ПРИДУМАЛ И ЗА ЧТО НАМ ВСЁ ЭТО?

Если бы природа была программистом, зубы мудрости — это тот баг в коде, который забыли исправить перед финальным релизом. И теперь миллионы людей страдают от этого. Но давайте по порядку.

Эволюционная ошибка или запасной вариант?

Откуда они вообще взялись?

Представьте себе нашего далёкого предка, лет так 100 тысяч назад. Он сидит в пещере, жуёт сырое мясо мамонта, грызёт корни, перемалывает семена и орехи. Без ножа, без огня (ну ладно, огонь уже был, но готовить особо не умели). Его челюсти работают по 5—6 часов в день. Зубы стираются. К 20 годам моляры уже прилично изношены. И тут — сюрприз! — прорезаются дополнительные жевательные зубы. Свеженькие, крепкие, готовые к работе. Зубы мудрости были запасным комплектом. Как зимняя резина в багажнике. Летом не нужна, но зимой — спасение.


Что пошло не так?

Чуть позже человечество открыло огонь (мясо стало мягким, стало легче жевать), развило сельское хозяйство (появилась каша, хлеб), усовершенствовали обработку пищи (пошли в ход нож, а потом тёрка, мясорубка), открыли термическую обработку пищи (варка, жарка, запекание). Таким образом, жевательная нагрузка резко снизилась. Зубы перестали так быстро стираться. 28 зубов стало вполне достаточно для комфортной жизни. Но зубы мудрости никто не отменил. Они продолжают прорезываться по старой программе, написанной природой сотни тысяч лет назад. Эволюция не успела за образом жизни. И теперь у нас во рту пытаются прорезаться зубы, для которых просто нет места.

Почему челюсть стала меньше?

Теория 1: «Use it or lose it» (используй или потеряй)

Челюсти формируются под нагрузкой. Наши предки с детства жевали жёсткую пищу — челюсти развивались мощными и широкими. Современные дети едят пюре, котлеты, мягкий хлеб — челюсти развиваются более узкими.

Теория 2: Генетика

Размер челюсти определяется генами. За тысячи лет естественный отбор работал в пользу более компактных челюстей — они требуют меньше энергии на формирование.

Теория 3: Эпигенетика

Условия развития (питание матери, грудное вскармливание, ранний прикорм) влияют на формирование челюстей. Правда, скорее всего, где-то посередине — комбинация всех трёх факторов.


Итог один: челюсть стала меньше, а зубов по-прежнему 32. Представьте, что вы пытаетесь запихнуть в гараж на две машины три автомобиля. Примерно это и происходит, когда прорезаются зубы мудрости.


У 35% людей зубы мудрости вообще не закладываются генетически. Ещё у 25% они закладываются, но не прорезываются. И только у 40% они прорезываются полностью. Но даже когда они прорезались — они не нужны для жевания. 28 зубов справляются прекрасно. Вывод: через несколько тысяч лет эволюция, скорее всего, уберёт зубы мудрости совсем. Но нам с вами повезло родиться в переходный период. Спасибо, эволюция. Очень удобно.

Удалять или оставить — вот в чём вопрос

Это самый частый вопрос про зубы мудрости. И у стоматологов на него нет однозначного ответа. Потому что всё зависит от конкретной ситуации.

Когда зубы мудрости можно оставить?

Если выполняются ВСЕ эти условия:

✓ Прорезались полностью — не торчат только наполовину из десны

✓Растут ровно — не упираются в соседний зуб, не разворачиваются боком

✓ Есть место в челюсти — они влезли без скученности остальных зубов

✓Участвуют в жевании — есть зуб-антагонист на противоположной челюсти (иначе они бесполезны)

✓ Вы можете их чистить — дотягиваетесь щёткой, флоссом, они не покрыты «капюшоном» из десны

✓ На них нет кариеса — и вероятность его появления низкая

Если все пункты сошлись — поздравляю, вы счастливчик! Ваши зубы мудрости могут жить долго и счастливо. Таких счастливчиков около 15—20%.


Когда зубы мудрости ОБЯЗАТЕЛЬНО нужно удалять?

1. Дистопия (растёт неправильно) — боком (горизонтально), под углом, в сторону щеки, в сторону соседнего зуба. И если его не удалить, то он разрушит корень соседнего зуба, либо сместит весь зубной ряд (испортит прикус), может повредить нерв в челюсти или будет постоянно травмировать щёку/язык.

2. Ретенция (застрял в десне/кости)

Зуб в заложниках, он не может прорезаться — мешает соседний зуб, кость или просто нет места. Он сидит внутри, как бомба замедленного действия. Дело втом, что киста вокруг непрорезавшегося зуба образуется полость с жидкостью, которая разрушает кость, возникает воспаление.

3. Перикоронарит (воспаление «капюшона») — зуб прорезался наполовину, над ним нависает складка десны — «капюшон». Под него забивается еда, размножаются бактерии, начинается воспаление со следующими симптомами: боль при жевании, отёчность десны, болезненное открывание рта, неприятный запах изо рта и даже температура.

Перикоронарит

4. Ортодонтические показания

Если вы носите брекеты или планируете их поставить, ортодонт может попросить удалить зубы мудрости. Потому что они давят на соседние зубы, и это давление передаётся по цепочке на весь ряд. После снятия брекетов зубы могут вернуться на место из-за этого давления. Поэтому многие ортодонты перестраховываются: удаляют зубы мудрости до или во время лечения.

5. «Профилактическое» удаление

Зуб не болит, не мешает, но на рентгене видно: он растёт неправильно и рано или поздно создаст проблемы. Врач может предложить удалить его заранее, пока он не начал разрушать соседний зуб или не вызвал воспаление. Логика простая: в 20—25 лет удаление проходит легче (кость мягче, корни не до конца сформированы, заживление быстрее), в 40—50 лет — сложнее, дольше заживает, выше риск осложнений. Но это спорный вопрос. Американская стоматология склоняется к профилактическому удалению, а европейская и российская — к выжидательной тактике («пока не болит — не трогаем»).


Моё мнение:

Если на рентгене видно, что зуб растёт горизонтально и упирается в соседний — лучше удалить сейчас, не дожидаясь проблем.

Если растёт нормально, но места маловато — можно подождать и наблюдать.

Зуб прорезался ровно, не мешает, нет кариеса → оставить

Зуб непрорезавшийся, но лежит глубоко, не давит на соседей, вам 50+ лет → оставить и наблюдать

Беременность, острое воспаление, плохая свёртываемость крови → отложить до стабилизации состояния.

Истории из практики: самые странные зубы мудрости

За годы работы я видел такое, что хватит на отдельную книгу. Но вот несколько хитов.

История 1: «Горизонтальный лежебока»

Пациент Виталий, 28 лет, пришёл с жалобой на боль в нижней челюсти справа. Делаю рентген — и застываю на месте: зуб мудрости лежит строго горизонтально, как бревно. Коронкой упёрся в корень соседнего зуба (семёрки), корни торчат куда-то в сторону угла челюсти.

— Скажите, Виталий, это давно так?

— Ну, лет пять, наверное. Иногда ныло, но терпимо.

— А сейчас почему только пришли?

— Да… Дело в том, что соседний зуб разболелся. Нет сил терпеть.

Смотрю — а семёрка уже наполовину разрушена. Зуб мудрости прорастал, как дерево сквозь асфальт, и корнями разрушил корень соседа. Итог: удалили и зуб мудрости, и семёрку. Две лунки, отёк на неделю, антибиотики. А ведь можно было удалить один зуб мудрости пять лет назад и спасти семёрку.

Мораль: если рентген показывает, что зуб растёт горизонтально — не ждите. Он не развернётся и не встанет ровно. Он будет разрушать соседа.


История 2: «Четыре по цене одной операции»

Пациентка Алина, 22 года, студентка. Пришла с направлением от ортодонта: «Удалить все четыре зуба мудрости перед установкой брекетов». На рентгене: все четыре ретинированы (не прорезались), два лежат горизонтально, один вообще вверх корнями развернулся.

— Доктор, а можно как-то… по одному? Или вообще не надо?

— Можно по одному. Будете четыре раза мучиться, четыре раза отёк, четыре раза больничный. Или один раз, но серьёзно.

Алина решилась на все четыре сразу. Операция длилась 2,5 часа. Общий наркоз. Высверливали из кости, пилили на части, зашивали. Неделя на антибиотиках и обезболивающих. Лицо как у хомяка. Питание через трубочку. Но через две недели — красавица, и можно ставить брекеты.

Мораль: удаление четырёх зубов мудрости сразу — это хардкор. Но иногда оправдано. Главное — делать у опытного хирурга и под адекватной анестезией/седацией.


История 3: «Сюрприз на рентгене»

Пациент Николай, 35 лет. Пришёл лечить обычный кариес на шестёрке. Сделали панорамный снимок для общей оценки. И тут я вижу: в верхней челюсти слева, в гайморовой пазухе, болтается зуб.

— Николай, а у вас тут зуб в пазухе.

— …что?

— Зуб мудрости. Он не вниз прорезался, а вверх. И пророс в гайморову пазуху.

— И что теперь?

— Ничего. Если не беспокоит — оставляем. Если будут частые гаймориты — удаляем, но это уже челюстно-лицевой хирург будет делать, не я.

Николай был в шоке. Прожил 35 лет и не знал, что у него зуб не на месте растёт.

Мораль: зубы мудрости могут расти куда угодно. В пазуху, в сторону нерва, назад к углу челюсти. Природа любит разнообразие.

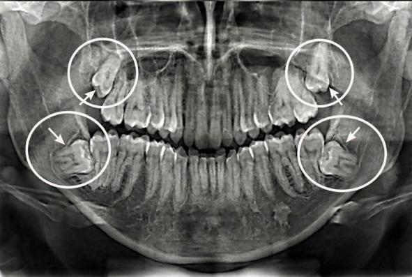
Ретенированные зубы: 1.8, 2.8, 3.8 и 4.8. Джекпот!

История 4: «Капюшон-убийца»

Пациентка Марина, 26 лет. Пришла в ужасном состоянии: лицо опухло, температура 38,5, больно глотать, открывает рот на сантиметр.

— Что случилось?

— Зуб мудрости… неделю болел… думала, само пройдёт…

Смотрю — классический перикоронарит, но запущенный. Под капюшоном десны — гной. Воспаление пошло на жевательную мышцу (поэтому рот не открывается) и на горло (поэтому больно глотать). Такое состояние называется флегмона — разлитое гнойное воспаление. Ещё немного — и госпитализация с внутривенными антибиотиками. Как итог, вскрыли гнойник, поставили дренаж. Назначены антибиотики по классической схеме + болеутоляющие. Через 3 дня, когда воспаление спало — удалили зуб. Марина провела неделю в аду и ещё две недели восстанавливалась.

Мораль: если зуб мудрости болит, десна опухла — идите к врачу сразу. Перикоронарит сам не проходит, он только разрастается. Может на какое-то время затихнуть, но непременно вернётся и заболит ещё сильнее.


История 5: «Зуб-мутант»

Пациент Константин, 40 лет. Удаляем зуб мудрости. На рентгене было видно два корня. Обычное дело. Удаляем — а там пять корней. ПЯТЬ! Три тонких, как спагетти, сплетённых между собой. Один толстый, изогнутый крючком. Один вообще куда-то в сторону направлен. Удаление вместо 15 минут заняло 40 минут. Пришлось распиливать зуб на части и вытаскивать по кусочкам. Олег потом шутил: «У меня даже зубы мудрости не как у людей».

Мораль: зубы мудрости — это лотерея. Количество корней и их форма могут быть любыми. Поэтому удаление может занять от 10 минут до часа.

К такому бы зубу леску привязать и на тунца можно идти!

Почему они растут, когда нам уже за 18 лет?

Отличный вопрос. Все остальные постоянные зубы прорезываются в 6—13 лет. Зубы мудрости — в 18—25 лет (а иногда и позже).

Почему такая задержка?

Причина 1: Им нужно место

Челюсть растёт до 16—18 лет.

Зубы мудрости прорезываются последними, потому что они самые дальние. Им нужно, чтобы челюсть выросла до конечного размера, чтобы было куда встать. У наших предков челюсти были большие, места хватало. У современных людей — не всегда.


Причина 2: Они формируются позже

Зачатки зубов мудрости формируются в 4—5 лет (позже остальных постоянных зубов). Потом они очень медленно развиваются: Коронка формируется к 10—12 годам. Корни начинают расти к 16 годам, но полностью формируются к 25 годам, поэтому прорезывание происходит поздно.


Причина 3: Эволюционная программа

Есть теория, что зубы мудрости прорезываются в возрасте, когда человек достигает социальной зрелости. В древних обществах 18—20 лет — это возраст воина, охотника, полноценного члена племени. Прорезывание зубов мудрости было символом взросления, перехода из подростка в полноправного взрослого. Отсюда и название — «зубы мудрости» («wisdom teeth» в английском, «dentes sapientiae» в латыни). Не потому, что они делают вас умнее, а потому что появляются в возрасте, когда «приходит мудрость».


Причина 4: А может, и не вырастут

У 35% людей зубы мудрости вообще не закладываются. Зачатков нет, и не будет. Это генетическая особенность. Чаще всего это встречается у представителей монголоидной расы (азиаты, коренные американцы) — у них в 40—50% случаев нет зачатков зубов мудрости. У европеоидов — реже, около 25%. Это эволюция в действии. Природа постепенно отказывается от ненужного органа. Через несколько тысяч лет, возможно, зубов мудрости не будет ни у кого.

ГЛАВА 3. МОЛОЧНЫЕ ЗУБЫ: ЗАЧЕМ ПРИРОДА ИЗОБРЕЛА ВТОРОЙ КОМПЛЕКТ?

— Доктор, а зачем лечить молочные зубы? Они же всё равно выпадут!

Если бы мне давали рубль каждый раз, когда я слышу этот вопрос, я бы уже открыл сеть стоматологий по всей стране. Это самое распространённое заблуждение о детских зубах. И самое опасное.

Потому что из-за этой логики дети теряют зубы раньше времени, получают проблемы с прикусом и приходят ко мне в 25 лет с вопросом: «Доктор, а почему у меня все зубы кривые и на них кариес?»

Давайте разберёмся, зачем природа вообще придумала эту систему «два комплекта зубов», и почему молочные зубы — не просто «пробная версия».


Теория 1: Размер имеет значение

У новорождённого ребёнка крошечная челюсть. Если бы сразу закладывались постоянные зубы, то они бы просто не влезли. Челюсть младенца — это как гараж для велосипеда, а постоянные зубы — это внедорожник. Поэтому природа придумала компромисс:

Молочные зубы (20 штук) — они меньше по размеру, корни короче, отлично помещаются в детской челюсти и служат временно (6—12 лет)

Постоянные зубы (32 штуки) — заметно больше по размеру, корни длиннее. Прорезываются, когда челюсть выросла. Служат всю жизнь (если повезёт)


Теория 2: Эволюционный апгрейд

В процессе взросления меняется тип питания:

— 0—6 месяцев: молоко (зубы не нужны)

— 6 месяцев — 2 года: мягкая пища, каши, пюре (нужны первые зубы, но нагрузка небольшая)

— 2—6 лет: более твёрдая пища, но всё ещё детская (молочные зубы справляются)

— 6+ лет: полноценная «взрослая» еда (нужны крепкие постоянные зубы)

Молочные зубы — это стартовый набор. Они работают в период, когда ребёнок учится жевать, а постоянные зубы в это время спокойно формируются в глубине челюсти.


Теория 3: Страховка от ошибок

Дети падают, бьются, сбивают зубы. Если бы постоянные зубы прорезались сразу, и ребёнок в 3 года разбил их на качелях — всё, ходил бы без зубов до конца жизни. С молочными зубами проще: что бы ни произошло с ними — ничего страшного, выпадут и вырастут новые. Природа дала нам запасной комплект на время, пока ребёнок учится координации и осторожности.

Так зачем же их лечить, если всё равно выпадут?

Причина первая: ОНИ ДЕРЖАТ МЕСТО ДЛЯ ПОСТОЯННЫХ ЗУБОВ

Молочные зубы — это не просто «временные затычки». Они резервируют место для постоянных зубов.

Представьте:

У ребёнка в 4 года разрушился молочный моляр (жевательный зуб). Родители решают: «Ну и ладно, он же всё равно выпадет лет в 10—11». Зуб удаляют. Дальше соседние зубы начинают сдвигаться на освободившееся место. Природа не терпит пустоты. К 10 годам, когда должен прорезаться постоянный зуб, места для него уже нет. Зуб либо прорезывается криво (над другими зубами, сзади, сбоку), выталкивает соседние зубы (и создаёт скученность), либо вообще не прорезывается (остаётся в кости).

Итог: кривые зубы, нарушение прикуса, необходимость в брекетах на несколько лет и 150—300 тысяч рублей. А можно было просто вылечить молочный зуб за 3—5 тысяч. Вот вам математика.


Причина вторая: ПОД МОЛОЧНЫМ ЗУБОМ ФОРМИРУЕТСЯ ПОСТОЯННЫЙ

Постоянные зубы не появляются из ниоткуда. Они формируются годами в глубине челюсти, прямо под молочными зубами. Если молочный зуб сгнил и в нём инфекция, она может повредить зачаток постоянного зуба.

Киста у верхушки корня молочного зуба. При разрыве оболочки возникает свищ

Что может случиться:

— Гипоплазия эмали — постоянный зуб прорежется с дефектами эмали (пятна, бороздки, ямки)

— Деформация коронки — зуб вырастет неправильной формы

— Изменение цвета — зуб может прорезаться тёмным, желтоватым

— Гибель зачатка — в самых тяжёлых случаях зачаток погибает, и постоянный зуб вообще не вырастет

Пример из практики:

Мальчик Саша, 5 лет. Родители не лечили кариес на молочном зубе, началось воспаление, гнойный процесс. Когда в 7 лет прорезался постоянный зуб на этом месте, он был коричневым, с дырками в эмали. Пришлось сразу ставить коронку.

Мораль: инфекция в молочном зубе — это бомба под постоянным зубом.


Причина третья: МОЛОЧНЫЕ ЗУБЫ НУЖНЫ ДЛЯ ЖЕВАНИЯ.

Ребёнок должен нормально питаться. Если у него болят или отсутствуют зубы, он:

— Жуёт на одной стороне → асимметрия челюстей, проблемы с суставом

— Глотает пищу кусками → проблемы с ЖКТ

— Отказывается от твёрдой пищи → дефицит питательных веществ

— Не жуёт вообще → челюсти не развиваются нормально

Жевание — это тренировка для челюстей. Если ребёнок ест только мягкую пищу (каши, пюре), челюсти развиваются узкими и недоразвитыми.

Результат: постоянным зубам не хватает места, они растут криво.


Причина четвёртая: МОЛОЧНЫЕ ЗУБЫ ВЛИЯЮТ НА РЕЧЬ

Передние молочные зубы (резцы) участвуют в формировании звуков. Особенно:

«С», «З», «Ц» (язык упирается в передние зубы)

«Ф», «В» (нижняя губа касается верхних зубов)

«Т», «Д» (язык касается зубов)

Если у ребёнка в 3—4 года нет передних зубов (разрушились, удалили), он не может правильно поставить язык. Тогда появляются дефекты речи (шепелявость, картавость) и как следствие проблемы с общением, комплексы.


Причина пятая: ПСИХОЛОГИЧЕСКИЙ ФАКТОР

Дети жестоки. Ребёнок без передних зубов в 5 лет — это объект насмешек в садике. «Беззубик», «Дырка», «Вампир» — как только не обзывают. Это влияет на самооценку, ребёнок замыкается, стесняется улыбаться. А ведь можно было просто вылечить зуб.

Когда прорезываются и выпадают молочные зубы

График прорезывания молочных зубов (в месяцах)

К 3 годам у ребёнка должно быть 20 молочных зубов.

Но это примерные сроки. У некоторых детей первый зуб прорезается в 4 месяца, у других — в год. Это нормально. Зависит от разных факторов: генетики (у родителей зубы прорезались поздно → у детей тоже), питания (недостаток кальция, витамина D) и общего здоровья.


График смены молочных зубов на постоянные

6—7 лет — Нижние центральные резцы + первые постоянные моляры («шестёрки»)

7—8 лет — Верхние центральные резцы

8—9 лет — Боковые резцы

9—11 лет — Первые премоляры (на месте молочных моляров)

10—12 лет — Клыки, вторые премоляры

11—13 лет — Вторые постоянные моляры («семёрки»)

17—25 лет — Зубы мудрости (если прорежутся)


Первые постоянные зубы — шестёрки (первые моляры) — прорезываются в 6 лет позади всех молочных зубов. Многие родители не замечают их появления и думают, что это молочные зубы. Но это постоянные зубы! Они НЕ выпадут и НЕ заменятся. И они очень уязвимы для кариеса, потому что прорезываются с незрелой эмалью.

Что делать:

✓ Как только прорезались шестёрки — герметизация фиссур (запечатывание бороздок специальным материалом)

✓ Тщательная чистка (дети в 6 лет плохо чистят дальние зубы)

✓ Профилактические осмотры раз в 3—4 месяца

Как правильно ухаживать за молочными зубами

Если коротко, то с рождения до первого зуба. Да, уход начинается до прорезывания зубов. Необходимо протирать дёсны мягкой марлей или специальной силиконовой щёткой-напальчником и убирать остатки молока после кормления для того, чтобы предотвратить размножение бактерий.

Когда появились первые зубы (6 месяцев — 2 года) пора чистить зубы 2 раза в день (утром и перед сном) пастой без фтора размером с рисовое зёрнышко, используя мягкую детскую щётку.

В возрасте с 2 до 6 лет уже необходимо чистить зубы 2 раза в день по 2 минуты пастой с фтором (концентрация не более 1000 ppm), размером с горошину. Родители чистят зубы ребёнку до 6—7 лет (дети не могут качественно чистить сами!). Желательно ограничить сладкое, особенно липкое (ириски, карамельки). Не давать сладкое между приёмами пищи.

С 6 до 12 лет (период активной смены зубов) ребёнок уже сам начинает чистить зубы 2 раза в день пастой со фтором 1500 ppm (как у взрослых), необходимо обучить его пользоваться зубной нитью (флоссом). Совет: у стоматолога непременно выполните процедуру герметизации фиссур на постоянных молярах. Периодически контролируйте прорезывание зубов у ортодонта (если зубы растут криво — раннее вмешательство эффективнее).