автордың кітабын онлайн тегін оқу Гастропротекция. Руководство для практических врачей
Аркадий Вёрткин, Елена Вовк
Гастропротекция: руководство для практических врачей
© Вовк Е. И., Верткин А. Л., текст, 2017
© ООО «Издательство «Э», 2017
* * *
Введение
Среди обращающихся за медицинской помощью в поликлинику большую часть составляют пожилые пациенты с коморбидной сердечно-сосудистой патологией вследствие мультифокального атеросклероза. Частным проявлением атеросклероза артерий брюшной полости является хроническая ишемия верхних отделов желудочно-кишечного тракта с формированием гиперацидности и неизбежным развитием кислотозависимых повреждений – снижения регенераторной способности слизистой оболочки, образования язв и эрозий с развитием желудочно-кишечного кровотечения. Клиническое течение кислотозависимой патологии у коморбидных «сосудистых» пациентов утяжеляет плохо контролируемая артериальная гипертензия, анемия, сахарный диабет, хроническая болезнь почек, легочное сердце, болезни суставов и др. Однако важнейшим предиктором развития и негативного прогноза кислотозависимой патологии желудочно-кишечного тракта у коморбидного пациента является ятрогенное воздействие – более или менее масштабный прием незаменимых неселективных нестероидных противовоспалительных препаратов для лечения болевых синдромов и антитромботических препаратов. Высокий риск развития кислотозависимой патологии у коморбидных «сосудистых» пациентов требует разработки и проведения рациональной гастропротекции у каждого такого пациента до развития угрожающих жизни кровотечений и анемии.
Гастропротекция – метод патогенетического фармакологического лечения, направленного на уменьшение или предотвращение повреждения слизистой оболочки желудка, двенадцатиперстной кишки (ДПК) и пищевода у пациентов с высоким риском развития гастродуоденальных поражений.
В данном руководстве мы попытались структурировать и изложить основные причины гиперацидности, лабораторные и инструментальные приемы, имеющие высокое диагностическое значение. Отдельно проанализированы стандартные ошибки при ведении больных на этапе поликлиники. Предложены алгоритм применения гастропротекции и наиболее эффективный выбор лекарственных препаратов. Мы надеемся, что наша книга поможет участковым терапевтам и врачам общей практики в повседневной работе с данной категорией больных.
Авторы приносят благодарность заведующей патологоанатомическим отделением О. И. Астаховой и всем врачам терапевтических отделений ГКБ им. С. И. Спасокукоцкого Департамента здравоохранения Москвы за неоценимую помощь в подготовке данной книги.
Рецензия
«Думаю, что омепразол попадет в «вечные» препараты – как аспирин». Эти слова принадлежат известному фармакологу Каревой Е. Н., которая привлекает внимание врачей не только к проблеме выбора гастропротектора, но и к вопросу о значении гиперацидности в клинике внутренних болезней. Эта проблема становится все более актуальной в условиях современной медицинской практики и непосредственно влияет на практику амбулаторной помощи. В самом деле мы являемся свидетелями роста числа пожилых больных, сопряженным с этим патоморфозом заболеваний, коморбидностью и высоким риском развития гиперацидности верхних отделов желудочно-кишечного тракта. Лечение подобных пациентов также неизбежно сопряжено с полипрагмазией, которая еще более увеличивает этот риск и приводит к развитию летальных осложнений.
Таким образом, именно на амбулаторном приеме, в условиях дефицита времени для тщательного опроса, осмотра и анализа особенностей заболевания важно, чтобы врач был вооружен современным эффективным и экономически обоснованным алгоритмом предотвращения потенциально летальных осложнений гиперацидности – желудочно-кишечных кровотечений и микроцитарной анемии.
Представленная вашему вниманию книга – уже 15-я в серии «Амбулаторный прием». Она является результатом совместного труда сотрудников кафедры терапии, клинической фармакологии и скорой медицинской помощи МГМСУ им. А. И. Евдокимова под руководством профессора А. Л. Верткина. Как и в других книгах данной серии, посвященных социально значимым болезням, в настоящем руководстве представлены алгоритмы и пошаговые рекомендации к проведению диагностических процедур в установке диагноза и назначении обоснованной терапии.
Мы надеемся, что эта книга займет достойное место среди руководств для непрерывного медицинского образования врачей как первичного звена, так и стационаров, а также интернов, ординаторов, аспирантов, студентов и преподавателей медицинских учебных заведений.
Президент Российского научного медицинского общества терапевтов
академик РАНА. И. Мартынов
Ключевые слова и список сокращений
АСК – ацетилсалициловая кислота
АТХ – анатомо-терапевтическо-химическая классификация
ГЭРБ – гастроэзофагеальная рефлюксная болезнь
ДПК – двенадцатиперстная кишка
ЖКК – желудочно-кишечное кровотечение
ЖКТ – желудочно-кишечный тракт
ИПП – ингибиторы протонной помпы
КЗЗ – кислотозависимые заболевания
НДА – низкие дозы аспирина
НПВП – нестероидные противовоспалительные препараты
H+ – ионы водорода
HP – helicobacter pylori
HCl – соляная кислота
СМП – скорая медицинская помощь
СУР 450 – цитохром Р 450
ЭЯП – эрозивно-язвенные поражения
ХСН – хроническая сердечная недостаточность
Вместо предисловия:
Клинико-морфологическая демонстрация
Больная Ч-ва, 87 лет, госпитализирована по каналу СМП с гипотонией и болями в области сердца с диагнозом вероятного ЖКК. Накануне однократно был жидкий черный стул. На этапе СМП больной введено 500 мл физиологического раствора и 500 мг дицинона. В приемном отделении стационара состояние тяжелое, сознание сохранено. АД – 90/50 мм рт. ст., ЧСС – 130 в мин. Больная осмотрена дежурным хирургом: у больной признаки состоявшегося желудочно-кишечного кровотечения (ЖКК). Консультация терапевта: больная однократно отметила черный полуоформленный стул.
Из анамнеза известно, что около года назад (в июне 2014 года) перенесла оперативное лечение по поводу перелома шейки левого бедра, в течение 40 лет страдает АГ, постоянно принимает энап, низкие дозы аспирина, при болях в правом бедре эпизодически принимает 1–2 таблетки диклофенака.
При осмотре: пониженного питания, отеков нет. Частота дыхания – 32 в мин., АД – 90/50, ЧСС – 130 в мин. При перкуссии легких звук притуплен. При аускультации дыхание равномерно диффузно ослаблено, хрипов нет. При аускультации сердца ритм сердца правильный, тоны глухие, систолический шум над всей областью сердца. Живот мягкий, умеренно болезненный в проекции толстой кишки. Печень у края реберной дуги. Стул в день госпитализации был двукратно, жидкий, в небольшом количестве, темного цвета. Не мочилась. На ЭКГ: ритм синусовый, гипертрофия левого желудочка, подъем сегмента ST и отсутствие зубца R во II, III, AVF, V5-V6. При ЭГДС: пищевод свободно проходим. Кардия тонична. В проекции всей большой кривизны – большой плотный сгусток крови. Складки желудка продольные, слизистая – мелкопятнистая. В верхней трети тела желудка с переходом на малую кривизну определяется изъязвление размером до 2 см, неправильной формы. Биопсия не взята. Признаков продолжающегося кровотечения нет.
Заключение: рак желудка с распадом, состоявшееся кровотечение. При лабораторном исследовании: Hb – 90 г/л, лейкоциты – 10,7Ѕ109; Эр – 3,2Ѕ1012, СОЭ – 14 мм/ч, тромбоциты – 153Ѕ109, билирубин – 17,4 мкмоль/л, мочевина – 13,2 ммоль/л, креатинин – 153 ммоль/л, глюкоза – 6,3 ммоль/л, АЛТ – 35 Е/л, АСТ – 23 Е/л, общий белок – 67 г/л.
Больная направлена в отделение реанимации с диагнозом:
1. ИБС, острый трансмуральный инфаркт миокарда в заднебоковой стенке левого желудочка на фоне артериальной гипертензии.
2. Рак желудка с распадом. Состоявшееся ЖКК. Больной проведена гемотрансфузия, терапия допамином. Однако в течение двух суток у больной прогрессировала гипотония, и она скончалась.
ПАТОЛОГОАНАТОМИЧЕСКИЙ ДИАГНОЗ:
Комбинированное основное заболевание
1. Основное заболевание: мелкоочаговый и диффузный кардиосклероз. Стенозирующий атеросклероз коронарных артерий сердца (стеноз до 50 %, кальциноз).
2. Фоновое заболевание: Артериальная гипертензия. Эксцентрическая гипертрофия левого желудочка (масса сердца – 450 г, толщина стенки левого желудочка – 1,7 см). Атероартериолосклеротический нефросклероз.
Осложнения: острая язва желудка в области малой кривизны с аррозией сосуда дна язвы. Рецидивирующее желудочное кровотечение (в полости желудка и тонкой кишке около 1500 мл крови). Острое общее малокровие. Отек легких, отек головного мозга.
Сопутствующие заболевания: атеросклероз церебральных сосудов. Хроническая ишемия мозга. Состояние после оперативного лечения рака шейки матки, химио- и лучевой терапии в 70-х гг. Перелом шейки бедра слева, остеосинтез (2014 г.)
Рисунки 1–3 на вклейке показывают, что смерть пожилой больной с сердечно-сосудистой коморбидностью наступила от остановки сердца в результате прогрессирующей анемии в результате ЖКК из язвенного дефекта. Дополнительными факторами риска явились прием антиагрегантов и НПВП.
Гастропротекция: что мы знаем сегодня
Итак, главная цель гастропротекции – предотвращение угрожающих жизни осложнений вследствие повреждения слизистой оболочки желудка, ДПК и пищевода: ЖКК, перфорации, развития в исходе повреждения рубцовых деформаций и непроходимости и в отдаленной перспективе – малигнизации.
Методы гастропротекции:
✓ уменьшение повреждающего действия основного эндогенного фактора агрессии для слизистой оболочки желудка, ДПК и пищевода – соляной кислоты (HCl) у пациентов с высоким риском развития кислотозависимых заболеваний;
✓ восстановление нарушенных механизмов физиологической самозащиты и регенерации гастродуоденальной слизистой или их стимуляция;
✓ физическая защита слизистой оболочки верхних отделов ЖКТ от повреждающего действия экзогенных и/или эндогенных факторов физической и химической агрессии.
Структурные и функциональные основы физиологической гастропротекции
Железы слизистой оболочки желудка в сутки секретируют 1–2,5 литра желудочного сока. Железы располагаются в глубине желудочных ямок (рис. 2). Количество желез в желудке достигает 15 млн. В зависимости от расположения железы подразделяют на кардиальные, собственные (фундальные), пилорические и железы дна желудка (рис. 3).
Кардиальные железы в основном содержат слизистые клетки, которые вырабатывают муцин, бикарбонаты и хлориды калия и натрия.
Собственные (фундальные) железы, самые многочисленные, расположены в теле и дне желудка. Состоят из 5 типов клеток: главных, париетальных (обкладочных), шеечных, добавочных слизистых и эндокринных клеток. Главные клетки секретируют пепсиноген, который в просвете желудка под влиянием соляной кислоты превращается в активный пепсин – главный фермент для переваривания белка. Париетальные (обкладочные) клетки секретируют HCl и внутренний антианемический фактор (фактор Кастла), необходимый для всасывания витамина В12 в кишечнике (рис. 4). Синтез и секрецию фактора Кастла, как и секрецию HCl, в желудке стимулируют гистамин, гастрин, а системно – стимуляция активности блуждающего нерва (ацетилхолин). Слизистые шеечные клетки являются предшественниками эпителиоцитов желудка. Вырабатывают муцин, который предохраняет их от повреждения. Добавочные (слизистые) клетки секретируют муцин и гидрокарбонат. Эндокринные клетки относятся к диффузной эндокринной системе (ДЭС или APUD-система), которая в своем гастроэнтеропанкреатическом отделе вырабатывает гормоны, регулирующие секрецию и моторику пищеварительного тракта.
Рисунок 1. Функциональная анатомия желудка.
Пилорические железы также в основном содержат эндокринные и слизистые клетки.
Рисунок 2. Строение слизистой оболочки желудка.
Рисунок 3. Структура и клеточный состав желез желудка.
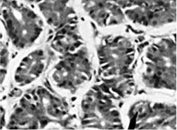
Рисунок 4. Париетальные клетки человека (гематоксилин-эозин, х200).
Эндокринные клетки слизистой оболочки желудка секретируют гастроинтестинальные пептиды и гормоны.
✓ ECL клетки расположены в теле желудка и секретируют гистамин, который стимулирует секрецию HCl;
✓ D-клетки расположены в теле и пилорическом отделе, секретируют соматостатин, стимулирующий секрецию желудочного ингибиторного пептида и угнетающий секрецию гистамина и НCl;
✓ EC-клетки расположены в теле и пилорическом отделе, секретируют серотонин, мотилин, вещество Р, активирующие моторику ЖКТ;
✓ G-клетки расположены в пилорическом отделе, секретируют гастрин, активирующий секрецию HCl и пепсиногена (см. рис. 3).
Соляная кислота определяет кислую реакцию желудочного сока
Соляная кислота (HCl) синтезируется в париетальных клетках желез тела желудка внутри специфических структур – туболовезикул, где ее концентрация очень высокая. В просвет железы HCl проникает против градиента концентрации 1:1000000 путем активного транспорта через апикальные мембраны париетальных клеток (секреторная поверхность клетки), в которых находятся специальные канальцы при участии специфического белка. Процесс выхода ионов водорода в канальцы является энергозависимым и происходит при участии фермента-переносчика Н+/К+-АТФазы (протоновый насос), которая обеспечивает перенос Н+из цитоплазмы в канальцы париетальной клетки. В секреции также задействованы: переносчик ионов K+/Cl– по типу симпорта, переносчик ионов НСО3-/Cl– по типу антипорта и фермент карбоангидраза, обеспечивающий синтез Н2СО3 из углекислого газа и воды (рис. 5).
Рисунок 5. Секреция соляной кислоты париетальной клеткой желудка. Основные транспортные системы, роль H+/K+-АТФазы (1).
Синтез и секрецию HCl в париетальных клетках стимулируют ацетилхолин, гастрин и гистамин, которые активируют свои специфические рецепторы (М3, G и Н2) на мембране клеток и непосредственно на тубуловезикулах, содержащих Н+/К+-АТФазы. Ингибируют синтез и секрецию HCl простагландины и соматостатин. Несмотря на постоянное функционирование нескольких путей и уровней регуляции, секреция HCl четко интегрируется в соответствии с необходимыми для оптимального пищеварения уровнями кислотности, который определяют хеморецепторы желудка и который зависит 1) от состава пищи и 2) от способности желез желудка к ощелачиванию.
