автордың кітабын онлайн тегін оқу Каверномы ЦНС. cavernoma.net
Каверномы ЦНС
cavernoma.net
О. Б. Белоусова
А. Н. Коновалов
© О. Б. Белоусова, 2016
© А. Н. Коновалов, 2016
Создано в интеллектуальной издательской системе Ridero
Авторский коллектив
Белоусова Ольга Бенуановна – невролог, доктор медицинских наук, ведущий научный сотрудник отделения сосудистой нейрохирургии НИИ нейрохирургии им. Н. Н. Бурденко
Гаврюшин Андрей Владимирович – нейрохирург, кандидат медицинских наук, врач отделения нейроонкологии НИИ Нейрохирургии им. Н. Н. Бурденко
Голанов Андрей Владимирович – радиолог, доктор медицинских наук, профессор, заведующий отделением радиологии и радиохирургии НИИ нейрохирургии им. Н. Н. Бурденко
Козлова Антонина Борисовна – нейрофизиолог, кандидат медицинских наук, научный сотрудник лаборатории нейрофизиологии НИИ нейрохирургии им. Н. Н. Бурденко
Коновалов Александр Николаевич – нейрохирург, доктор медицинских наук, профессор, академик РАН, НИИ нейрохирургии им. Н. Н. Бурденко
Кушель Юрий Вадимович – нейрохирург, доктор медицинских наук, ведущий научный сотрудник НИИ Нейрохирургии им. Н. Н. Бурденко
Окишев Дмитрий Николаевич – нейрохирург, кандидат медицинских наук, научный сотрудник отделения сосудистой нейрохирургии НИИ нейрохирургии им. Н. Н. Бурденко
Пронин Игорь Николаевич – нейрорадиолог, доктор медицинских наук, профессор, главный научный сотрудник отделения нейрорентгенологии, заместитель директора НИИ нейрохирургии им. Н. Н. Бурденко
Хухлаева Елена Анатольевна – невролог, кандидат медицинских наук, старший научный сотрудник детского нейрохирургического отделения НИИ нейрохирургии им. Н. Н. Бурденко
Шишкина Людмила Валентиновна – патоморфолог, кандидат медицинских наук, заведующая лабораторией патоморфологии НИИ нейрохирургии им. Н. Н. Бурденко
Список сокращений
АВМ – артериовензная мальформация
АГ – ангиография
АМГЭ – амигдалогиппокампэктомия
БЖ – боковой желудочек
ВА (ВМ) – венозная ангиома (венозная мальформация)
ВВБ – вертебро-базилярный бассейн
ВПШ – вентрикулоперитонеальное шунтирование
ВСС – верхний сагиттальный синус
ВЧГ – внутричерепная гипертензия
ГЭБ – гематоэнцефалический барьер
ЗН – зрительный нерв
КМ – кавернозная мальформация
КТ – компьютерная томография
МРТ – магнитно-резонансная томография
МРТ-АГ – магнитно-резонансная ангиография
НКМ – наследственные кавернзные мальформации
ПМА – передняя мозговая артерия
РХ – радиохирургия
СКТ-АГ – спиральная компьютерная ангиография
СМА – средняя мозговая артерия
ТА – телеангиэктазия
ТМО – твердая мозговая оболочка
ХСО – хиазмально-селлярная область
ЭЭГ – электроэнцефалография
МЭГ – магнитоэнцефалография
Введение
Кавернозные мальформации (КМ, каверномы, кавернозные ангиомы) центральной нервной системы представляют собой один из вариантов сосудистых мальформаций, которые могут формироваться в различных отделах головного и спинного мозга. Спектр клинических проявлений этой патологии достаточно широк – от бессимптомного носительства до тяжелых повторных кровоизлияний, приводящих к стойкой инвалидности или смерти больного. Благодаря повсеместному распространению и техническому совершенствованию современных методов нейровизуализации, кавернозные мальформации различных отделов ЦНС обнаруживают все чаще, и поток больных, обращающихся к неврологам и нейрохирургам с этим диагнозом, постоянно возрастает. Тем не менее, каверномы остаются редким заболеванием, что, с учетом разнообразия его клинических проявлений и течения, затрудняет правильный выбор по ведению больного, особенно в небольших нейрохирургических отделениях, не обладающих достаточным опытом по лечению этой патологии.
В предлагаемой книге представлен опыт НИИ нейрохирургии им. акад. Н. Н. Бурденко по хирургическому и консервативному лечению более 1500 больных с каверномами головного и спинного мозга, а также основные сведения о каверномах, содержащиеся в мировой литературе.
Книга позволит широкому кругу нейрохирургов и неврологов получить представление об особенностях этого заболевания и принятых в настоящее время принципах его лечения.
1. История изучения кавернозных мальформаций
1.1. Формирование представлений о КМ и их морфологической принадлежности
Первые описания сосудистых мальформаций ЦНС, согласно сведениям, приведенным в монографии H. Olivecrona and J. Ladenheim (265), появились около 300 лет назад. Они принадлежат W. Hunter, опубликовавшему в 1757 г. работу «Observation on arteriovenous malformations». Достоверные научные данные об этой патологии относятся к концу XIX века – периоду, когда началось интенсивное изучение патоморфологии нервной системы, связанное, в первую очередь, с именем крупнейшего немецкого ученого R. Virchov. В 6-ом томе Вирховского Архива за 1854 г. H. Luschka и R. Virchov обобщили накопленные к тому времени сведения о сосудистых опухолях и сосудистых аномалиях головного мозга. Отличительной особенностью некоторых из этих образований являлось наличие отграниченных от мозга полостей, или «каверн», заполненных кровью, поэтому авторы предложили называть их каверномами, или кавернозными ангиомами. Каверномы были первоначально отнесены к опухолям, но при дальнейшем анализе R. Virchov приходит к выводу, что эти образования представляют собой порок развития сосудистой системы мозга, а в последующих исследованиях выделяет несколько вариантов этих пороков. В публикации 1863 года он разделяет все сосудистые мальформации на простые ангиомы (в эту группу отнесены также телеангиоэктазии), кавернозные ангиомы, группу рацемозных ангиом (артериальный, венозный и артериовенозный варианты) и лимфангиомы (339). Несмотря на достаточно определенные заключения, сделанные R. Virchov, на протяжении всей первой половины XX века клиницисты и морфологи продолжали обсуждать вопрос о происхождении различных патологических сосудистых образований ЦНС, полностью не исключая принадлежность некоторых из них, особенно каверном, к сосудистым неоплазмам (226, 257, 285, 351, 365). Это представление основывалось на наблюдениях, доказывающих возможность истинного роста некоторых сосудистых образований (365). Большой вклад в изучение вопроса о морфологической принадлежности кавернозных ангиом внесли патоморфологи D. Russell, L. Rubinstein (300), которые в обширном исследовании закрепили представление об этих образованиях, как о пороках развития сосудистой системы мозга, отметив при этом, что каверномы не всегда являются статичными и способны к структурным изменениям.
В настоящее время представление о каверномах как о пороках развития сосудистой системы мозга является общепринятым.
1.2. Классификация и терминология
Изучение макро- и микроструктуры различных пороков развития сосудистой системы мозга (сосудистых мальформаций) показало, с одной стороны, их многообразие, с другой – существование определенных групп патологических образований, имеющих общие морфологические характеристики. Выделение этих групп послужило основанием для создания классификаций сосудистых мальформаций (119, 257, 265, 300, 339). Базовые принципы этих классификаций сходны. В клинической практике наибольшее распространение получила классификация американского патоморфолога W. McCormick, опубликованная в 1966 году. На достаточно большом для того времени морфологическом материале (70 случаев) он убедительно показал, что патологические сосудистые образования мозга могут быть разделены на 5 групп (233). Приводим эту классификацию в том виде, в котором она была впервые опубликована:
1. Телеангиоэктазия (включая некоторые случаи синдрома Штурге – Вебера)
2. Варикс (включая некоторые мальформации вены Галена)
3. Кавернозная мальформация («ангиома»)
4. Артериовенозная мальформация («ангиома»)
5. Венозная мальформация («ангиома»)
(включая некоторые случаи синдрома Штурге-Вебера).
Приведенная в первоначальном виде, классификация позволяет понять, почему в дальнейшем для обозначения какого-либо одного типа сосудистой мальформации могли быть использованы различные термины. В частности, синонимами «кавернозной мальформации» следует считать термины «кавернозная ангиома» и «кавернома», хотя первый из этих терминов наиболее точно характеризует тип патологии.
W. McCormick детально описал макро- и микроструктуру мальформаций каждого типа и признаки, которые отличают один тип от другого (236). Он также показал, что описанные ранее в литературе сосудистые мальформации легко «укладываются» в эту классификацию. В то же время, им отмечено, что существуют мальформации, в микроструктуре которых содержатся элементы, характерные для разных типов, что не позволяет однозначно отнести их к какой-либо из описанных групп. В качестве примера автор приводит сочетание телеангиоэктазий с кавернозными ангиомами. Такие мальформации стали называть смешанными.
Смешанные мальформации, а также мальформации, которые невозможно отнести к какому-либо варианту и часто обозначаемые, как «не классифицируемые», описаны в дальнейшем и другими авторами (39, 43, 282). На основании существования таких форм, а также отсутствия четких различий в клинических проявлениях различных мальформаций, некоторые исследователи и в 60-е годы, и в последующем (218, 235), считали, что предложенная McCormick классификация имеет лишь концептуальное, но не практическое значение. Однако анализ последующих публикаций опровергает это мнение. Классификация, с незначительными вариантами, касающимися, главным образом, дифференцировки венозных ангиом, до настоящего времени является основной при определении типа сосудистой мальформации на основании гистологического исследования, и широко используется при изучении сосудистых мальформаций ЦНС, в том числе, и в исследованиях по дифференцированному лечению мальформаций различных типов.
1.3. Диагностика
До появления КТ и МРТ достоверный диагноз каверномы можно было поставить либо по результатам нейрохирургического вмешательства с последующим морфологическим исследованием удаленной ткани, либо на аутопсии. Предоперационное обследование больного, включая ангиографию, позволяло лишь предположить наличие сосудистой мальформации, отличающейся от АВМ или венозной ангиомы. Такое предположение могло быть высказано, если у больных с типичным для сосудистой мальформации клиническим течением заболевания ангиография не выявляла сосудистой патологии, либо обнаруживала неопределенные изменения сосудистой системы в виде отдельных патологических вен или не имеющей специфических черт сосудистой сети. В 1956г J. Crawford, D. Russell предложили называть небольшие мальформации (менее 2см), которые было сложно обнаружить при обследовании, «скрытыми сосудистыми мальформациями» (92). Это понятие, наряду с предложенным позже и аналогичным по смыслу понятием «ангиографически скрытые сосудистые мальформации», получило широкое распространение и использовалось в клинической практике на протяжении нескольких десятилетий, вплоть до появления КТ и МРТ. При морфологическом исследовании «скрытые сосудистые мальформации» чаще всего оказывались каверномами, реже – другими вариантами мальформаций: микро АВМ; тромбированными, и потому не контрастируемыми при ангиографии, АВМ; телеангиоэктазиями; осумкованными хроническими внутримозговыми гематомами без признаков мальформации. Дискуссия о природе образований, обозначаемых этими терминами, отражена в большом числе публикаций (59, 113, 143, 177, 188, 218, 295, 312, 320, 332, 333).
Появление КТ, а затем и МРТ, привело к кардинальным изменениям в диагностике патологии мозга, в том числе, каверном: КТ позволила «увидеть» не обнаруживаемые при ангиографии образования у больных с типичной клинической картиной сосудистого заболевания мозга, а МРТ дала возможность с высокой степенью точности определять структуру этих образований и ставить дооперационный прижизненный диагноз каверномы (18, 314, 358). Тем не менее, и после внедрения МРТ в клиническую практику термин «скрытые сосудистые мальформации» можно было встретить в литературе вплоть до конца 90-х годов прошлого века. В настоящее время понятия «скрытые сосудистые мальформации» и «ангиографически скрытые сосудистые мальформации» используются крайне редко. По мнению С. Mottolesse c соавт., (254) в эру МРТ каверномы нельзя считать «скрытой» патологией. Тем не менее, следует признать, что в ряде случаев гистологический тип мальформации, несмотря на тщательные инструментальные и морфологические исследования, остается не идентифицированным. В наибольшей степени это относится к не удаленным образованиям и к мелким образованиям, которые разрушаются во время кровоизлияния.
1.4. Развитие клинических представлений и методов лечения
В связи со сложной диагностикой, не всегда очевидными показаниями к операции, а также редкими летальными исходами, накопление различных сведений о каверномах происходило достаточно медленно. По данным K. Voigt, M. Yaşargil, к 1976 году в литературе были представлены 163 клинических наблюдения каверном (341). К 90-м годам XX века эта цифра выросла до нескольких сотен больных. В этот период серии, представляемые отдельными клиниками, включали не более 2—3-х десятков случаев. Изменение диагностических возможностей в связи с внедрением в широкую клиническую практику КТ и, в особенности, МРТ, привело к быстрому росту числа выявляемых кавернозных мальформаций. Это позволило существенно расширить представления о клинических проявлениях патологии, методах и результатах лечения больных.
Совершенно новое направление приобрело изучение каверном после открытия генов, ответственных за развитие наследственных (семейных) форм болезни. О существовании семейных случаев каверном было известно уже в первой половине 20-го века. H. Olivecrona, анализируя историю вопроса, ссылается на работу H. Kufs, опубликованную в 1928г, в которой впервые описан такой вариант заболевания (194, 265). Аналогичное наблюдение приводят H. Kidd, J. Cumings в публикации 1947г (178). Примерно с 70-х годов стало появляться все больше сообщений о семьях, в которых каверномы обнаруживали у двух и более кровных родственников (55, 80, 86, 131, 156, 229, 245, 262, 358). В исследовании L. Hayman с соавт. впервые на клиническом уровне был доказан аутосомно-доминантный тип наследования заболевания (156). С начала 90-х годов началась эра генетических исследований с идентификацией генов, обусловливающих формирование каверном (36, 45, 62, 75, 91, 93, 98, 107, 142, 144, 149, 166, 167, 193, 200, 212, 216, 258, 268).
Об удалении каверномы впервые сообщено Bermer и Carson в 1890 году (по Penfield W, Ward A., 274) Первая обзорная работа по хирургическому лечению каверном, опубликованная в 1928г, принадлежит W. Dandy (97). В ней автор описал 5 собственных наблюдений и 44 случая, представленных в литературе. Спустя 8 лет A. Bergstrand с соавт. обобщили сведения по хирургическому лечению каверном в публикации, посвященной результатам лечения нейроваскулярной патологии в Каролинском медицинском госпитале Стокгольма (52). В последующие годы число публикаций по удалению каверном различной локализации стало быстро увеличиваться. По мере совершенствования предоперационной диагностики, нейрохирурги все лучше представляли, какое патологическое образование предстоит удалить, что, в сочетании с клиническими данными, позволило сформулировать показания и противопоказания к операции именно при этой патологии (264).
К настоящему времени операции удаления каверном получили широкое распространение и выполняются во многих нейрохирургических клиниках. Результаты вмешательств показывают, что при полном удалении этих патологических образований операция служит гарантией прекращения кровоизлияний и достаточно эффективна в отношении эпилептического синдрома, являющегося самым частым проявлением патологии (2, 23, 46, 65, 68, 82, 115, 127, 184). В то же время, хирургические вмешательства при каверномах, расположенных в функционально значимых зонах больших полушарий и в глубинных отделах мозга (базальные ганглии, зрительный бугор, срединные структуры), выполняются в ограниченном числе клиник. Показания к таким операциям и методы их выполнения остаются предметом постоянного обсуждения (53, 54, 147). Исключительную сложность для нейрохирурга представляет удаление каверном ствола головного мозга. Такие операции до настоящего времени выполняются преимущественно в наиболее крупных клиниках (29, 148, 342).
В последние десятилетия изучаются возможности радиохирургического лечения каверном. Это, прежде всего, касается каверном, прямое удаление которых сопряжено с высокой степенью риска развития осложнений. Полученные к настоящему времени данные об эффективности метода противоречивы, тем не менее, существует достаточно четкое мнение о том, что радиохирургия может быть методом выбора в ряде клинических ситуаций (152, 162, 183, 188, 190, 213, 243, 275).
К настоящему времени в литературе достаточно полно освещены самые разные вопросы, касающиеся этиологии, патогенеза, клинического течения, диагностики, методов и результатов лечения каверном ЦНС. Число представленных случаев исчисляется сотнями. Несмотря на накопленный за многие десятилетия большой объем разнообразных сведений, интерес к изучению этой патологии остается устойчивым. Ежегодно в крупных нейрохирургических и неврологических журналах появляется не менее 20 публикаций по различным аспектам проблемы, публикуются монографии и сборники с работами нейрохирургов и специалистов смежных областей.
Анализ литературы позволяет проследить, как менялись приоритеты исследований по проблеме каверном. Постепенно уменьшилось количество морфологических исследований и работ, посвященных вариантам клинического течения заболевания; на второй план отошли вопросы дифференциальной диагностики каверном; практически перестал быть предметом дискуссии вопрос о показаниях к операциям при каверномах, расположенных в доступных и функционально менее значимых областях мозга. Наряду с этим, значительно большее внимание стало уделяться проблеме лечения каверном глубинных отделов больших полушарий и ствола мозга, являющихся наиболее сложными для нейрохирургического вмешательства (5, 16, 29, 147, 148). Помимо совершенствования микрохирургической техники, при выполнении таких вмешательств предложен целый ряд вспомогательных методик, облегчающих доступ к каверномам и обеспечивающих максимально возможную сохранность окружающих структур. К ним относятся предоперационная функциональная МРТ и МРТ-трактография, ультразвуковое интраоперационное сканирование, интраоперационная МР-навигация, интраоперационная стимуляция мозга (16, 27, 56, 109, 136, 145, 164, 165, 168, 222, 254, 271, 277, 280, 325, 330, 335, 347, 350, 352). Продолжается обсуждение эффективности операций в отношении эпилептического синдрома (117, 185). В центре внимания остается вопрос о возможностях радиохирургии в лечении каверном (222, 258). В последнее десятилетие наибольшее число публикаций посвящено изучению генетики каверном, основным материалом для которого служат случаи наследственной формы заболевания. К настоящему времени определены гены, связанные с формированием каверном, выявлен целый ряд их мутаций, начата «расшифровка» молекулярной цепи, лежащей в основе нарушения ангиогенеза (36, 58, 75, 123, 167, 201, 210, 216, 237). Эти исследования позволяют предположить, что в будущем будет возможно предотвращение развития болезни на основе генной и молекулярной терапии.
2. Характеристика материала института нейрохирургии
2.1. Общие сведения
Сведения о кавернозных мальформациях ЦНС и их лечении, представляемые в книге, в значительной степени основаны на многолетнем опыте НИИ нейрохирургии. Данная глава дает общее представление о больных с кавернозными мальформациями ЦНС, оперированных или амбулаторно обследованных в институте. Более детальные сведения по различным аспектам заболевания и его лечения приведены в соответствующих разделах.
В НИИ нейрохирургии с проблемой диагностики и лечения каверном впервые столкнулись около 50 лет назад, когда в сосудистом отделении института стала активно развиваться хирургия артерио-венозных мальформаций (25). Первое документированное удаление каверномы мозжечка было произведено в 1966г. Первый анализ клинических сведений и результатов хирургического лечения 50 больных с КМ головного мозга представлен в 1993г в работе Н. Ш. Амиридзе (1). Большинство больных этой серии обследованы до появления компьютерной томографии, поэтому исследование отражает представления о патологии, которые можно было получить при существовавших в то время диагностических возможностях.
С конца 80-х – начала 90-х годов в институте ведется регистрация практически всех стационарных и амбулаторных больных с каверномами ЦНС. На разных этапах работы проводился анализ результатов обследования и лечения больных с супратенториальными каверномами (2, 23) и с каверномами ствола мозга (5, 11, 12).
В настоящем издании представлены результаты лечения около 1500 больных с КМ головного и спинного мозга. Из них более 750 оперированы, в том числе, 70 больных с глубинными каверномами больших полушарий и 220 больных с каверномами ствола мозга. Основные статистические сведения получены при обработке данных по 1272 больным. Наиболее интересные случаи, не вошедшие в этот анализ, приводятся в виде отдельных наблюдений (больные, поступившие после 2011 г.).
К настоящему времени каверномы ЦНС из редко встречающейся патологии стали для врачей института практически рутинным заболеванием. Увеличение количества больных стало особенно заметным с начала 2000-х годов, и число обращений продолжает ежегодно возрастать. Так, в 2011 г. количество обследованных в институте превысило 200 человек, что в 5 раз больше, чем в 2000 г. В последние годы практически все больные обращаются в институт с уже верифицированным с помощью МРТ диагнозом. Параллельно с этим все короче становится период от начала заболевания до консультации нейрохирурга. Эти факты служат показателем принципиального изменения диагностических возможностей различных медицинских учреждений в последние годы, и их адекватного использования в масштабах страны. Тем не менее, и в настоящее время встречаются больные, которым диагноз поставлен через много лет от начала болезни.
Среди обратившихся в институт больных женщины составили 56%, мужчины – 44%.
Средний возраст к моменту первых проявлений заболевания составил 23,0 года, к моменту поступления – 26,4 лет.
У подавляющего большинства больных каверномы имели типичные для этой патологии клинические симптомы и течение. В 44 наблюдениях каверномы явились случайной находкой (около 5% случаев). Поводом для проведения КТ или МРТ у этих больных служили какие-либо другие заболевания, различные неспецифические субъективные симптомы, чаще всего, головные боли, либо профилактическое обследование.
У большинства больных каверномы были одиночными. Множественные каверномы выявлены у 122 больных, что составило 9,6% всех наблюдений. Среди них были больные как только с супратенториальными каверномами, так и с супра- и субтенториальными образованиями. В единичных наблюдениях множественные каверномы располагались только субтенториально. У нескольких больных интракраниальные каверномы сочетались с каверномами спинного мозга. Следует отметить, что больным с каверномами головного мозга МРТ спинного мозга выполняли, как правило, только при наличии соответствующей симптоматики. МРТ головы при обнаружении спинальной каверномы также проводили лишь в некоторых случаях, поэтому точность сведений о сочетании интракраниальных и спинальных каверном низкая.
Распределение КМ по локализации представлено в табл I. Необходимо отметить, что для ряда КМ, особенно глубинного расположения и каверном крупных размеров, принадлежность к той или иной группе достаточно условна. Так например, большинство каверном III желудочка могут быть классифицированы как каверномы гипоталамической области, каверномы зрительного бугра нередко распространяются в средний мозг и т. д. Более детально локализация КМ в определенных отделах мозга представлена в соответствующих разделах книги.
Не оперированные каверномы выделены в отдельную группу, так как их гистологическая верификация отсутствует.
В целом у 1272 больных было выявлено 1430 кавернозных мальформаций. 69,3% каверном располагались супратенториально, 28,5% – субтенториально, 2,2% – в спинном мозге.
Размеры каверном составляли от нескольких миллиметров до нескольких сантиметров в диаметре. Преобладали образования небольших и средних размеров (1,5—3 см в диаметре), но в ряде случаев каверномы достигали крупных и гигантских размеров (более 4 см в диаметре).
Табл. I. Распределение кавернозных мальформаций по локализации у 1272 больных, 1993—2011 гг.*
2.2. Сочетание КМ ЦНС с другой патологией
Сочетание кавернозных мальформаций с другой патологией ЦНС, а также с патологией других органов и систем установлено у 80 больных, что составило около 8% всех больных с каверномами. В эту группу не включали такие широко распространенные заболевания, как гипертоническая болезнь, атеросклероз, ИБС, сахарный диабет. Выявленные заболевания суммированы в табл. II.
Среди больных с сочетанной патологией в 20% случаев клинически проявилась только кавернома. У 44% больных клинически проявились как кавернома, так и другое заболевание. При этом симптомы каверномы и другого заболевания развивались в разной последовательности и с различными временными интервалами – от нескольких месяцев до нескольких десятков лет. В 28% случаев кавернома явилась случайной находкой. В 8% случаев установить, какое заболевание явилось причиной клинических проявлений, не представлялось возможным.
Табл. II. Сочетание кавернозных мальформаций головного мозга с другой патологией
* ВА, расположенные в непосредственной близости от каверномы, не учитывались. ** У одного больного могло быть несколько заболеваний
У 50-ти больных (64%) кавернозные мальформации ЦНС сочетались с другими заболеваниями нервной системы.
В 8 случаях это были сосудистые мальформации другого типа: АВМ или венозные ангиомы. Необходимо уточнить, что под «сочетанием» мы подразумевали наличие мальформации, структурно не связаной с каверномой. Случаи, когда при гистологическом исследовании удаленного образования обнаруживали ткань каверномы и другой сосудистой мальформации, отнесены в группу мальформаций смешанного типа и подробно обсуждаются в разделе «Морфология кавернзных мальформаций».
Сочетание каверномы с АВМ выявлено у двух больных, причем в обоих случаях клинические проявления заболевания были обусловлены АВМ, а кавернома явилась случайной находкой (рис. 1).
У 6 больных каверномы сочетались с венозными ангиомами и аномалиями венозной системы. Крупные патологические вены, расположенные в непосредственной близости к КМ, часто обнаруживают при МРТ или на операции, в связи с чем многие авторы рассматривают их как единую патологию (28, 93, 154, 351, 357). Тем не менее, в ряде случаев кавернозные и венозные мальформации можно четко дифференцировать как самостоятельные образования, особенно если они находятся в разных отделах мозга. У двух больных патология венозной системы представляла собой аномалию сразу нескольких крупных венозных коллекторов головного мозга (рис. 2).
Во всех случаях сочетания кавернозной и венозной ангиом клинические симптомы были обусловлены каверномами.
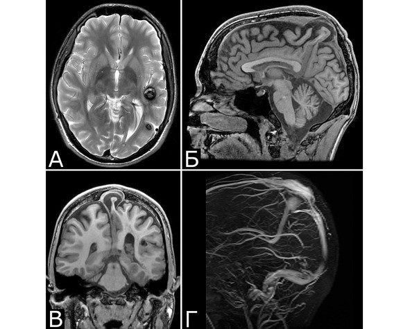
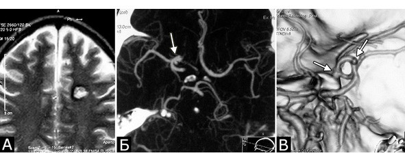
У 5-х больных с клинически проявившимися каверномами в ходе обследования выявлены бессимптомные артериальные аневризмы передних отделов вилизиева круга (рис. 3). Обращал на себя внимание тот факт, что в 4-х случаях аневризмы были множественными.
Довольно большую группу составили больные, у которых кавернома сочеталась с различными опухолями ЦНС. Чаще всего это были одиночные или множественные менингиомы различной локализации (3 наблюдения), опухоли пинеальной области (3 наблюдения), аденомы гипофиза (3 наблюдения), глиомы зрительного нерва (3 наблюдения).
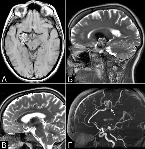
Рис. 1.Б-ная Г., 27 лет. Сочетанная сосудистая патология мозга: КМ передне-медиальных отделов височной доли справа (А – МРТ, режим Т1; Б – МРТ, режим Т2); АВМ медиальных отделов лобно-теменной области справа (В – МРТ, режим Т2;Г – МРТ-АГ). Клиническое течение: редкие вторично-генерализованные судорожные эпилептические припадки, начинающиеся с судорог в левых конечностях
Рис. 2.Б-ной П, 22 г. Сочетанная сосудистая патология мозга: Множественные КМ головного мозга. Аномалия развития венозной системы мозга. А – КМ височной, теменной и затылочной долей слева (МРТ, режим Т2, аксиальная проекция). Б, В – аномалия развития костей и оболочек мозга в виде локальной деформации внутренней костной пластинки и губчатого вещества теменных костей в области впадения патологической вены в ВСС. Расщепление аномального ВСС на две лакуны, пролабирование мозга в область дефекта (МРТ, режим Т1, сагиттальная и фронтальная проекции). Г – аномалия венозной системы в виде отсутствия прямого синуса, формирования крупной патологической вены, впадающей в заднюю треть ВСС (МРТ-АГ, сагиттальная проекция)
Рис. 3.Б-ной К-ов, 37 лет. Сочетанная сосудистая патология мозга: КМ глубинных отделов лобной доли слева (А – МРТ, режим Т2); две аневризмы ВСА справа (Б, В – СКТ-АГ, аневризмы указаны стрелками). Течение болезни:за 6 месяцев до поступления перенес два генерализованных судорожных припадка. При МРТ выявлена КМ лобной доли слева, которая послужила причиной припадков. При СКТ-АГ выявлены две аневризмы ВСА справа (случайная находка). Лечение:1-ая операция – клипирование двух аневризм ВСА справа. 2-ая операция – удаление каверномы левой лобной доли
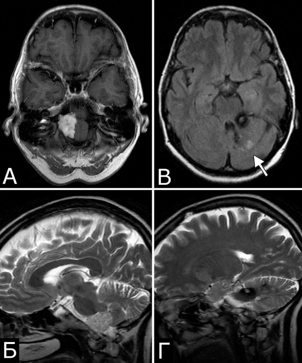
Рис. 4.I.Б-ная С-ва, 51 г. Сочетаннная патология мозга
2.3. Хирургическое лечение
Прямые хирургические вмешательства были выполнены 740 больным (58%). Подавляющее число операций заключалось в удалении каверномы. У больных с множественными каверномами удаляли одну или несколько каверном (однократное или повторное вмешательство). Нескольким больным выполнены повторные операции в связи с неполным удалением образований при первой операции. В отдельных случаях, при невозможности удалить каверному, вызывающую окклюзию ликворных путей, выполняли шунтирующие операции на ликворной системе. 55 больным было выполнено радиохирургическое лечение.
Показания и противопоказания к операциям, техника их выполнения и результаты подробно изложены в соответствующих главах.
2.4. Амбулаторное лечение и наблюдение
В случае отсутствия показаний к операции и отказа от нее больных оставляли под наблюдением. Многие их них получали консервативное лечение в виде постоянного приема антиконвульсантов. Повторные обследования включали проведение МРТ, ЭЭГ, коррекцию противосудорожной терапии. Некоторые наблюдавшиеся больные были в последующем оперированы, иногда спустя длительное время после первого обращения в институт.
Под наблюдением находились также оперированные больные. В этой группе дважды за последние 10 лет были проведены катамнестические обследования, направленные, главным образом, на оценку динамики эпилептического синдрома после операции (2, 23).
Таким образом, материал НИИ нейрохирургии представляет одну из самых больших серий кавернозных мальформаций ЦНС, представленных в литературе. Результаты морфологических исследований, клинических обследований больных, включая катамнестические исследования, опыт хирургических вмешательств, в особенности значительного числа операций по поводу глубинных КМ больших полушарий, КМ ствола мозга и спинного мозга, позволили составить представление по различным аспектам данной патологии.
3. Морфология кавернозных мальформаций
Классические описания макро- и микроскопического строения КМ принадлежат морфологам конца 19-го – первой половины 20-го века (233—236, 299, 230, 339). В России значительный вклад в изучение морфологии сосудистых мальформаций, в том числе, кавернозных, внесли исследования Ю. Медведева, Д. Мацко (20).
Существующие в НИИ нейрохирургии представления о морфологии кавернозных мальформаций основаны на анализе исследований материала, полученного во время удаления КМ (более 700 биопсий) интраоперационных данных, нескольких посмертных исследований мозга. Эти исследования, в целом полностью соответствуя мировым данным, позволили внести ряд дополнений, касающихся микроструктуры каверном и окружающих их тканей (2).
3.1. Макроскопическое строение
Кавернозные мальформации имеют характерный вид, который трудно спутать с каким-либо другим видом патологии. Они представляют собой округлые образования красно-синюшного или бурого цвета, с неровной, бугристой поверхностью, четко отграниченной от окружающей ткани (рис. 7).
Бугорки, образующие поверхность каверномы, представляют собой полости, заполненные кровью, которые либо плотно прилежат друг к другу, либо включены в строму каверномы в виде отдельных образований, легко отделяющихся от основного конгломерата и напоминающих горошину. Размеры венозных полостей, или «каверн», и их соотношение со стромой могут быть самыми различными. Некоторые каверномы состоят преимущественно из каверн с тонкими, быстро разрушающимися стенками. Размеры таких каверн могут быть достаточно крупными. При таком варианте строения в ходе хирургического вмешательства зачастую сложно обнаружить более или менее плотный участок, который может быть взят для гистологического исследования. Такие образования хирурги нередко характеризуют как «инкапсулированные гематомы».
Рис. 7. Вид каверномы на операции в процессе выделения (А) и после удаления единым блоком (Б)
На другом полюсе находятся «плотные» каверномы, состоящие преимущественно из тромбированных полостей и соединительной ткани. В некоторых из них можно обнаружить обызвествленные участки. Между этими крайними типами существует большое число различных вариантов. Эти особенности каверном хорошо определяются в ходе хирургического вмешательства, что позволило нам проанализировать частоту различных вариантов КМ при удалении мальформаций супратенториальной локализации (табл. III).
Наиболее часто встречались КМ, представленные множеством каверн, объединенных рыхлой соединительной тканью – более половины случаев. «Плотные» каверномы и каверномы, содержащие кальцификаты, встречались с одинаковой частотой. Такие КМ обнаруживали у больных самого разного возраста – от 1г до 56 лет. Тем не менее, при статистическом анализе установлено, что средний возраст больных с «плотными» и кальцифицированными каверномами был больше, чем средний возраст больных с мягкими каверномами (29,5 и 26,4 лет соответственно). Самыми молодыми (средний возраст 19,7 лет) были больные, у которых мальформации были представлены преимущественно гематомами с фрагментами мальформации. Эти данные косвенно указывают на то, что с течением времени структура КМ может становиться более плотной. Следует также отметить, что крупные мальформации чаще имели плотную структуру.
Табл. III. Характеристика структуры супратенториальных кавернозных мальформаций по данным хирургического вмешательства (179 случаев)
Ткани, окружающие каверному, чаще всего грубо изменены. Типична желтая окраска мозгового вещества, мозговых оболочек или нервов, свидетельствующая о перенесенных кровоизлияниях (рис. 8). Этот признак помогает обнаружить каверному в ходе хирургического вмешательства.
В небольшом числе случаев перифокальные изменения мозговой ткани отсутствуют (рис. 9).
При локализации каверномы в веществе мозга по ее границе в ходе операции можно видеть множество мелких артериальных сосудов, а в непосредственной близости нередко располагаются одна, реже несколько крупных патологических вен. Тем не менее, в отличие от АВМ, явные признаки шунтирования крови в каверноме отсутствуют, хотя доказательств того, что кавернозные полости полностью изолированы от кровеносной системы мозга, не существует. На этом основании некоторые авторы называют каверномы мальформациями с «медленным» типом шунтирования (low-flow malformations) (43, 146, 214). В ряде случаев патологические вены, расположенные в непосредственной близости от каверномы, имеют вид типичной венозной ангиомы по типу «головы медузы» (рис. 10, I – II). По разным данным, частота сопутствующих каверномам венозных ангиом колеблется от 0,7% до 48% (353). По сообщению R. Porter с соавт., венозные ангиомы сопутствовали КМ ствола мозга в 100% случаев (279).
Рис. 8.Б-ной И-юн, 13 лет. Кавернозная мальформация и гематома оперкулярной зоны слева. Повторные кровоизлияния. А, Б – МРТ, режим Т1, аксиальная и сагиттальная проекции. 4-е сутки после 2-го кровоизлияния. Видна ткань КМ в виде гетерогенного сигнала, и гематома в виде гиперинтенсивного сигнала, расположенная кзади от КМ. В – интраоперационное фото после вскрытия ТМО, 2 месяца после 2-го кровоизлияния. Виднаи желтая окраска окружающих тканей и отдельные каверны, выходящие на поверхность мозга
3.2. Микроскопическое строение
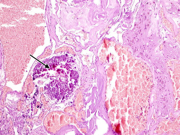
При рутинном исследовании в световом микроскопе (срезы толщиной 5 мкм, окраска гематоксилином и эозином, при необходимости – докрашивание по Ван-Гизон и Маллори) каверномы представляют собой конгломерат тонкостенных полостей разнообразной неправильной формы, выстланных эндотелием и разделенных соединительнотканными перегородками. Соединительная ткань перегородок может быть представлена как тонкими коллагеновыми волокнами, так и грубоволокнистой фиброзной тканью с различной степенью дистрофических изменений. Характерным признаком является отсутствие в стенах каверн гладкомышечных клеток и эластических волокон, а также мозговой ткани между кавернами (рис. 11) (2, 236, 299, 333).
Лишь в отдельных препаратах можно обнаружить незначительные прослойки мозговой ткани. Реактивно измененная мозговая ткань может быть также выявлена вокруг каверн, полностью отделенных, «отшнурованных», от основного конгломерата (рис. 12).
На основании этих признаков проводят дифференциальный диагноз каверном с другими сосудистыми мальформациями, прежде всего, с АВМ, при гистологическом исследовании которых выявляют сосуды артериального и венозного типа с относительно дифференцированными стенками и значительное количество мозговой ткани между ними.
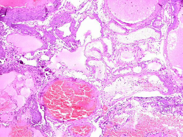
Полости, образующие каверному, могут быть заполнены жидкой кровью либо тромбами в различной стадии формирования (рис. 13).
В ткани КМ могут быть обнаружены участки кальцификации, гиалиноза стенок (рис. 14).
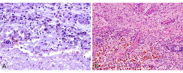
Довольно часто в строме встречаются признаки повторных кровоизлияний в виде остатков гематом различной давности. По периферии каверномы часто можно обнаружить фрагменты капсулы, типичной для хронической гематомы (рис. 15).
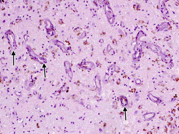
Характерной морфологической особенностью кавернозных мальформаций является наличие многочисленных мелких сосудов с кальцинированными стенками в окружающей мозговой ткани (рис. 16).
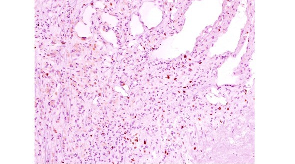
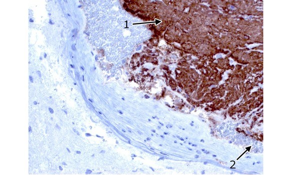
В последние годы проводятся иммуногистохимические исследования кавернозных мальформаций и окружающего мозгового вещества. Эти работы направлены на расшифровку механизмов формирования мальформации и ее биологического поведения (см. раздел «Этиология и патогенез). В исследованиях, выполненных в институте, при стандартном иммуногистохимическом исследовании КМ выявлена экспрессия мезенхимальных маркеров: виментина (Vim), гладкомышечного актина, и эндотелиальных маркеров CD31 и CD34 в стенках полостей мальформации (рис. 17 А, Б, В).
Рис. 11. Кавернозная мальформация «классического» типа —конгломерат сосудистых полостей различной формы и размеров, выполненных кровью.Ув. х 100
Рис. 12. Отшнуровавшиеся сосудистые полости (1) в ткани мозга с отложениями гемосидерина, гиперплазией глии (2).Ув. х 400
Экспрессия десмина (Des) в исследованных нами образцах отсутствует, пролиферативный индекс Ki-67 крайне низкий, исключая очаги капиллярной пролиферации и капсулы прилежащей гематомы (рис. 18).
Экспрессия фактора роста эндотелия сосудов VEGF, являющегося гликопротеином, влияющим на процессы ангиогенеза (рис. 19), а также эндоглина (СD105) и других факторов, участвующих в неоангиогенезе и сосудистой пролиферации, выявляется далеко не во всех кавернозных мальформациях.
Полученные в ходе иммуногистохимических исследований данные требуют дальнейшего углубленного изучения и сопоставления с особенностями биологического и клинического поведения каверном.
При изучении гистологической структуры различных сосудистых мальформаций было установлено, что, помимо мальформаций определенного гистологического строения, существуют сосудистые мальформации смешанного типа, в которых можно в разных сочетаниях выявить участки, соответствующие кавернозной ангиоме, АВМ, телеангиоэктазии (39, 90, 235, 281, 293, 299). Ю. Медведев, Д. Мацко предложили термин «промежуточные» мальформации для обозначения образований, сочетающих в себе черты как кавернозных, так и венозных мальформаций и/или телеангиоэктазий (20). Некоторые исследователи высказывают предположение, что КМ, ВМ и телеангиэктазии имеют общее происхождение и представляют собой лишь разные этапы формирования мальформации (293).
Рис. 13. Тромбоз и склероз сосудистых полостей в «классической» кавернозной мальформации.Ув. х 200
Рис. 14. Кальцификат (стрелка) и склеротические изменения в стенках сосудистых полостей. Ув. х 100
Рис. 15. А. Начальная стадия формирования стенки гематомы – скопления макрофагов, нагруженных гемосидерином. Ув. х 400. Б. Сформировавшаяся капсула гематомыс отложениями гемосидерина, лимфоплазмоцитарной инфильтрацией и новообразованными сосудами. Ув. х 200
Рис. 16. Кальциноз стенок капилляров в прилежащей к кавернозной мальформации ткани мозга (стрелки). Ув. х 200
Рис. 17. Иммуногистохимическое исследование кавернозных мальформаций. А. Экспрессия гладкомышечного актина (HHF 35) в стенках сосудистых полостей КМ (коричневое рашивание). ув. х 400. Б. Экспрессия эндотелиального маркера CD31 в эндотелии и тромбах, облитерирурющих сосудистые полости (коричневое окрашивание) Ув. х 200. В. Экспрессия эндотелиального маркера CD34 в эндотелии, выстилающем сосудистые полости (коричневое окрашивание). Ув. х 400
Рис. 18. Экспрессия пролиферативного маркера Ki-67 в КМ (коричневое ядерное окрашивание, индекс 5%) в формирующейся капсуле гематомы. Ув. х 200
Рис. 19. Экспрессия VEGF в формирующемся тромбе (1) и в эндотелии (2) сосудистой полости КМ (коричневое окрашивание). Ув. х 400
Морфологические исследования, выполненные в институте нейрохирургии, также показали разнообразие гистологического строения образований, объединяемых термином «кавернозная мальформация» (2). На основании этих исследований выделено три основных гистологических типа каверном:
I тип (классический) – кавернома, состоящая из плотно прилежащих друг к другу каверн, в стенках которых нет мышечных и эластических волокон. Прослойки мозговой ткани между кавернами отсутствуют. Кавернома имеет четкую границу с мозгом и капсулу (см. рис. 11). Этот вариант оказался наиболее распространенным и составил 93,7% всех каверном.
3.3. Локализация и размеры
Каверномы могут располагаться в любом отделе ЦНС. Распределение каверном по локализации в нашей серии представлено в табл. I.
...