автордың кітабын онлайн тегін оқу Хроническая боль. Эффективная терапия, которая поможет отключить болевые ощущения
Алан Гордон, Алон Зив
Хроническая боль
Эффективная терапия, которая поможет отключить болевые ощущения
Alan Gordon and Alon Ziv
THE WAY OUT
Copyright © 2021 by Alon Ziv and Alan Gordon
All rights reserved including the right of reproduction in whole or in part in any form. This edition published by arrangement with Avery, an imprint of Penguin Publishing Group, a division of Penguin Random House LLC.
© Чорный Иван, перевод на русский язык, 2022
© Оформление. ООО «Издательство «Эксмо», 2023
* * *
Посвящается Кристи.
Спасибо за твою дружбу, сотрудничество
и бесчисленные фотографии твоей собаки,
спящей в ботинке.
А. Г.
Посвящается Кристал.
Пока мы вместе, жизнь всегда
будет прекрасной.
А. З.
Предисловие
Поначалу я не верил. Подобно многим людям, я не был уверен, насколько сильное влияние психосоматическое вмешательство может оказать на течение хронической боли и кому оно может помочь. По своей природе я скептик. Но я также хочу разобраться, так что инстинктивно начинаю собирать научные данные.
Бóльшую часть карьеры я посвятил изучению того, можно ли, воздействуя на свое сознание, повлиять на мозг и тело.![]()
И если это возможно, то каких именно изменений таким путем можно добиться, а каких – нельзя? Какие условия необходимы для этих изменений? Если наши мысли действительно влияют на наше тело, насколько значимым и долгосрочным может быть это влияние?
Когда я впервые встретил Алана Гордона, он как раз и произвел на меня впечатление человека, который действительно верит. Будучи человеком, излечившимся от мучившей его хронической боли, он убежден, что от изнурительной боли можно избавиться без лекарств и хирургического вмешательства. Он демонстрирует на деле эту веру с заразительным энтузиазмом и стремлением помочь каждому человеку, с которым работает. За последние два года мои убеждения тоже пережили трансформацию.
Я пришел к выводу, что правильное представление о хронической боли, реализованное на практике с помощью психосоматической терапии, может принести значительную пользу многим или даже большинству людей – даже после реальных травм, которые вызывают реальную боль.
Нас с Аланом свел случай. Я несколько раз встречался с коллегой Алана, доктором Говардом Шубинером, на научных собраниях. Я невролог и с помощью функциональной магнитно-резонансной томографии (фМРТ) изучаю механизмы возникновения боли. Помню, как Говард сказал мне: «У нас есть метод лечения, который действительно работает. Мы годами помогаем людям избавляться от хронических болей – вам нужно изучить это!» Я не понял, что он имеет в виду. Меня интригуют психосоматические вмешательства, однако мы тогда изучали простейшие нейронные контуры мозга, не имея ни финансирования, ни инфраструктуры для проведения исследований на пациентах.
Мы с моим аспирантом Йони Ашар подбирали тему для его кандидатской диссертации. Йони несколько лет страдал от хронической боли в спине, а потому был лично заинтересован в проведении исследований в этой области. Тут-то в дело и вмешался счастливый случай. Говард снова связался со мной, чтобы поделиться со мной результатами фМРТ пациента, продемонстрировавшего значительные улучшения после лечения у Алана. Результаты были заманчивыми. Снимки показали изменения в медиальной префронтальной коре и передней островковой доле. Эти участки мозга связаны между собой и являются частью сети, которая интерпретирует поступающие от тела сигналы. Именно эти области часто дают о себе знать в исследованиях хронических болей.
Похоже, проблема многих людей, страдающих от хронических болей, отчасти заключается в том, какое значение мозг придает боли и ее возможным причинам.![]()
Мы решили заняться этим вопросом и изучить, как именно лечение по методу Алана воздействует на людей с хроническими болями.
Поначалу мы поставили перед собой довольно скромные цели. Мы планировали сделать фМРТ всего нескольким пациентам, проходящим лечение. Но как-то на выходных Йони прошел учебный курс Алана и Говарда и увидел методику в действии. Тем временем Алан начал краудфандинговую кампанию[1], которая принесла деньги на исследование и, что еще важнее, вызвала воодушевление у людей, которые действительно хотели, чтобы оно было проведено. Я выбил дополнительные гранты, и мы еще больше расширили наше исследование.
В конечном счете мы провели одно из самых масштабных на сегодняшний день исследований боли в спине с применением фМРТ. Мы потратили примерно четверть суммы, которая обычно уходит на такие исследования, потому что каждый: Йони, Алан, Говард, наши невероятные ассистенты Лори Полиски, Зак Андерсон и другие – поверил в важность этого проекта и вложил в него душу.
Именно результаты нашего исследования заставили меня поверить.
Большинство пациентов, страдавших от хронической боли в среднем 11 лет, избавились или почти избавились от нее уже через месяц после начала лечения, и, судя по всему, боль не вернулась к ним по сей день.
Позвольте мне уточнить, что нам еще предстоит получить ответы на многие вопросы. При каких видах боли и у каких людей подобные результаты возможны? Что представляют собой «активные ингредиенты» и насколько эффективность лечения зависит от того, кто именно его проводит? Насколько сильно результат зависит от готовности пациента к «исцелению»?
Хронические боли имеют множество причин, связанных как с мозгом, так и с телом.
Мы еще не до конца их понимаем, и мы попросту не умеем проводить достаточно подробную диагностику, чтобы подбирать оптимальное лечение для каждого отдельного пациента. Тем не менее мы приложили все усилия, чтобы наше исследование помогло дать максимально объективную оценку эффективности метода Алана, – и полученные нами данные однозначно показали, что людям действительно становится лучше.
Еще любопытнее то, что это и другие исследования говорят нам о хронической боли.
Сейчас потрясающее время для нейробиологии боли: одно за другим исследования демонстрируют, что физическое повреждение вызывает изменения в нервной системе на разных уровнях – в теле, в спинном и головном мозге.![]()
Центры мозга более высокого уровня, отвечающие за настроение, память и долгосрочное планирование, могут блокировать боль или усиливать ее, способствовать избавлению от боли или сделать ее хронической. У людей эти центры мозга отвечают за личность, эмоции и восприятие себя и своего места в мире. Таким образом, хроническая боль в самом настоящем смысле связана с нашим пониманием того, что эта боль значит для нас и наших перспектив на будущее. Это вовсе не означает, что эта боль не является «реальной». Боль, у которой есть реальные причины в теле, спинном или головном мозге, тоже поддается лечению психосоматическими методами, потому что все эти уровни нервной системы связаны между собой.
Нейробиология боли продемонстрировала, что причины хронической боли могут отличаться от причин острой боли после травмы и что во многих случаях они кроются в головном мозге.
Психосоматическое лечение может помочь нам понять, какие именно движения и действия мы можем выполнять даже при наличии боли, что, в свою очередь, помогает «отучить» мозг от хронической боли.
Примечательнее всего в методе Алана то, что значительную его часть составляет информация. Новая информация способна менять наши убеждения насчет причин боли и наши установки насчет нее. Эти изменения часто требуют работы и практики, однако они могут произойти и внезапно, словно вспышка озарения. Мне лично доводилось такое видеть.
У одного из сотрудников моей лаборатории несколько лет болело плечо, и, судя по всему, он избавился от боли, когда узнал об этой методике. Другая подруга и коллега, пообщавшись с Йони на тему наших исследований, также изменила представление о своей хронической боли. Она невероятным образом исцелилась, и, по ее словам, эта трансформация спасла ей жизнь.
В книге «Как познать Бога» Свами Прабхавананда и Кристофер Ишервуд проводят различие между разными типами убеждений. Один тип убеждений – это такая вера, когда мы продолжаем верить вопреки тому, что говорят нам органы чувств. Второй тип – это временная вера. Когда человек учится медитировать, отмечают они, ему нужно верить в пользу медитации ровно настолько, чтобы ее попробовать. Именно к этому второму типу веры я вас и призываю. Вам не нужно свято верить в то, что хроническую боль можно излечить, – я прошу вас просто допустить, что идеи, представленные в этой книге, действительно работают, и отнестись к ним без предвзятости. Просто попробуйте, а дальше будет видно.
Тор Вагер,заслуженный профессор неврологии Дартмутского колледжа
Краудфандинг – привлечение небольших сумм, вносимых большим количеством людей. – Прим. ред.
Глава первая
Мозг этого парня может изменить мир
– Ему ужасно больно. Его родители в отчаянии. Думаете, сможете ему помочь?
Это был декабрь 2016 года, и мне только что позвонил продюсер передачи «Врачи» – медицинского ток-шоу, которое выходит на канале CBS уже многие годы[2]. В этом конкретном выпуске они пытались помочь Кейси, 16-летнему подростку с хроническими болями в животе, настолько сильными, что из-за них он постоянно терял сознание. Врачи не понимали, что с Кейси происходит.
Будучи директором Центра психологии боли в Лос-Анджелесе, я специализируюсь на лечении хронических болей и других физических симптомов. Позвонивший мне продюсер хотел узнать, сможем ли мы с коллегами помочь бедному Кейси справиться с болью.
Всего за два года до этого Кейси был ничем не примечательным девятиклассником в средней школе Джона Берроуза в Бербанке, штат Калифорния. Он любил бейсбол и «Звездные войны», ненавидел алгебру и химию. Учебный год не предвещал ничего необычного – пока где-то через три месяца после его начала у Кейси резко не закололо в животе.
Решив, что это может быть аппендицит, родители спешно отвели мальчика в больницу, однако врачам не удалось обнаружить никаких проблем. Шли месяцы, а боль не утихала. Какие только методы диагностики не пробовали – МРТ, КТ, диагностические операции, – однако все результаты были отрицательными.
Кейси тем временем приходилось все тяжелее. Он ушел из бейсбольной команды и был вынужден бросить школу. Долгий мучительный путь наконец привел Кейси на передачу «Врачи», продюсеры которой связались со мной.
– Нам нужно ознакомиться с его медкартой, – сказал я, – но, думаю, велика вероятность, что мы сможем помочь.
– Отлично, – сказал продюсер. – И еще один момент: как мы могли бы показать на экране эффект избавления от боли?
Хороший вопрос. Они собирались показывать это по телевидению. Требовалось что-то наглядное для зрителей, которые будут смотреть передачу у себя дома[3]. Как мы могли показать им боль Кейси, его внутренние ощущения?
Подумав немного, я ответил:
– Почему бы не сделать фМРТ его мозга до и после лечения?
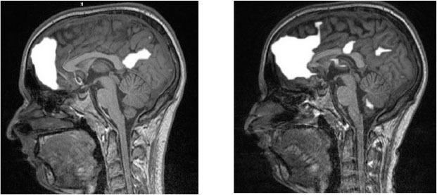
Функциональная магнитно-резонансная томография, или фМРТ, – это томография, которая показывает активность головного мозга[4]. Я подумал, что было бы интересно посмотреть, как изменится мозг Кейси, когда он избавится от боли. Тогда я еще не знал, что это случайное предложение приведет к одному из самых революционных исследований в истории боли.
Однако, чтобы полностью рассказать вам историю боли Кейси, мне нужно сначала поделиться с вами своей собственной.
Я, мой стул и моя мама
В 25 моя жизнь была хороша. Я учился в аспирантуре на кафедре психотерапии в Университете Южной Калифорнии. Я был общительным и активным. Я проводил время с друзьями, ходил на игры «Доджерс», играл в кикбольной лиге (моя команда даже вышла на национальное первенство!). На второй год аспирантуры, однако, все изменилось. У меня начались сильнейшие боли в пояснице, которые совершенно выбили меня из колеи.
Даже такие простые задачи, как просидеть двухчасовой сеанс в кино, превратились для меня в пытку. О матчах «Доджерс» не могло быть и речи. Я был не в состоянии наблюдать за спортивными соревнованиями, не говоря уже о том, чтобы самому в них участвовать. Жесткие сиденья в университетских аудиториях причиняли мне такую боль, что пришлось купить мягкий стул с откидной спинкой и перекатывать его между аудиториями. Чтобы вы понимали: когда повсюду таскаешь за собой огромный стул, это не особенно хорошо сказывается на твоей социальной жизни.
Я показался трем ведущим специалистам по спине в Лос-Анджелесе. Один из них сказал, что моя боль вызвана грыжей межпозвоночного диска. Другой заявил, что причина моих симптомов – дегенерация межпозвоночного диска. Наконец, третий сказал, что у меня болит спина, потому что я слишком высокий.
Ниже я сделаться не мог, но я перепробовал все возможные методы лечения: физиотерапию, биологическую обратную связь, акупунктуру, акупрессуру. Ничего не помогало. Я сделал столько МРТ позвоночника! Друзья шутили, что мой позвоночник превратился в магнит.
Примерно через шесть месяцев мне сделали эпидуральную инъекцию. Это не вылечило меня, но боль снизилась вдвое. Жизнь снова стала сносной… примерно на восемь дней. Пока однажды утром я внезапно не почувствовал, как в моей голове словно разорвалась граната. Это была самая невыносимая головная боль в моей жизни.
И она никуда не делась.
Хроническая ежедневная головная боль, сказал мне интернет, не имеет ни известной причины, ни известного лечения.![]()
Посетив еще больше врачей, я нашел специалиста по головной боли, который поставил мне диагноз «повышенное давление спинномозговой жидкости» (СМЖ). Он прописал мне несколько лекарств, но они не помогли.
Вот один факт о головной боли из-за высокого давления СМЖ: боль усиливается, когда ложишься. Таким образом, я не мог ни сидеть, потому что болела спина, ни лежать, потому что болела голова.
Мой отец, человек невероятно практичный, предложил мне поискать способ жить под углом 45 градусов. Спасибо, папа.
В течение следующих нескольких лет у меня появились дополнительные симптомы:
• боль в верхней части спины;
• боль в шее;
• боль в плече;
• боль в колене;
• боль в пятке;
• боль в языке (такое вообще бывает?);
• глазная боль;
• зубная боль;
• боль в пальцах ног (в трех разных пальцах!);
• боль в бедре;
• боль в животе;
• боль в запястье;
• боль в стопе;
• боль в ноге;
• синдром височно-нижнечелюстного сустава;
• изжога;
• головокружение;
• шум в ушах;
• зуд;
• усталость.
Откровенно говоря, я был в полном раздрае. Врачи боялись меня. У меня было множество диагнозов, поставленных на основе этих симптомов: протрузия межпозвоночных дисков, частичный разрыв вращательной манжеты плечевого сустава, травма от повторяющихся нагрузок и так далее. Вот только ни одно медицинское вмешательство мне не помогало.
Боль завладела моей жизнью. Мне было слишком трудно притворяться счастливым перед друзьями, поэтому я замкнулся в себе. Я не мог работать. Я полностью заморозил свою жизнь, чтобы попытаться справиться с болью. Я даже переехал обратно домой к родителям.
Однажды мама дала мне книгу о психосоматическом подходе к лечению боли. Она сказала, что сын ее подруги прочитал эту книгу и смог избавиться от боли в спине. Моя любящая мама искренне пыталась помочь мне. Поэтому я поступил так, как поступил бы любой здравомыслящий человек, страдающий от хронической боли. Я швырнул книгу через всю комнату.
– Книга мне не поможет, мама. Боль не в моей голове. Врачи поставили мне кучу диагнозов.
Она пожала плечами и вышла из комнаты. Не стоит спорить с человеком, страдающим от хронической боли.
Год спустя я все же прочитал книгу и поговорил с сыном маминой подруги. Та книга не избавила меня от боли, но помогла моему разуму допустить, что я могу ее победить. Это был важный первый шаг.![]()
Я решил узнать о боли все, что можно.
Я стал изучать нейробиологию боли. Я узнал, что боль затрагивает как тело, так и мозг. В норме мозг получает сигналы от всего тела и обрабатывает их. Если тело получает повреждение, мозг создает ощущение боли.
Проблема в том, что иногда эта система дает сбой. Иногда «переключатель боли» в нашем мозге может застрять во включенном положении, вызывая хроническую боль.
Мы называем это нейропатической болью. Обычная боль вызвана каким-то повреждением организма, в то время как боль, которая сохраняется после заживления повреждения, или боль, не имеющая четкой физической причины, обычно является нейропатической. Во второй главе я объясню, почему развивается нейропатическая боль и как определить, есть ли она у вас.
Я понял, что страдаю от нейропатической боли. Я сосредоточился на лечении тела, но, чтобы избавиться от боли, мне нужно было заняться мозгом. Психосоматический подход к хронической боли был относительно новым, и методы лечения на его основе только начинали разрабатывать, так что я создал новые методики, чтобы перепрограммировать свой мозг и восстановить естественный порядок вещей.
У меня до сих пор имеется протрузия межпозвоночных дисков. У меня по-прежнему повышенное давление спинномозговой жидкости. Возможно, у меня все еще частично разорвана вращательная манжета. Но у меня ничего не болит. Я устранил все 22 своих симптома.
Попутно я понял, что не одинок.
Лечение хронической боли стало делом моей жизни. Я основал Центр психологии боли и начал помогать другим страдальцам. По моему опыту, большинство хронических болей – это нейропатические боли. За годы работы мы усовершенствовали наши методики, создали эффективную систему – терапию переработки боли – и помогли людям преодолеть все формы боли, которые только можно себе представить.
И каждый пациент, которого мы с моей командой лечим, независимо от того, что у него болит и как долго он терпит эту боль, задает один и тот же вопрос.
…томография, которая показывает активность головного мозга. – Функциональная магнитно-резонансная томография (фМРТ) регистрирует изменения кровотока в мозге. Когда какая-то часть мозга напряженно работает, к этой области приливает больше крови, и фМРТ показывает, какие участки мозга активны. Мы надеялись, что увидим другую картину активности в мозге Кейси, когда он избавится от хронической боли.
Требовалось что-то наглядное для зрителей… – Мы с Кейси появились в 74-м эпизоде девятого сезона передачи «Врачи», который вышел в эфир в январе 2017 года.
По всему миру их число оценивается в 1,2 миллиарда! – Мировые оценки хронической боли сильно разнятся. Всемирная организация здравоохранения (ВОЗ) провела опрос пациентов в 15 регионах Азии, Африки, Европы и Америки. Обнаружилось, что в среднем 22 процента взрослых пациентов страдали от так называемой постоянной боли, то есть боли, которая «присутствовала большую часть времени в течение шести месяцев или более за предыдущий год». В результаты включали значительную боль только в том случае, если пациент обращался за медицинской помощью, принимал лекарства более одного раза или «сообщал, что боль сильно мешала жить или вести какую-либо деятельность».
Gureje, Oye, Michael Von Korff, Gregory E. Simon, and Richard Gater. “Persistent pain and wellbeing: A World Health Organization study in primary care.” JAMA 280, no. 2 (1998): 147–151.
На момент написания этой книги население мира оценивается в 7,7 миллиарда человек, из которых примерно 5,5 миллиарда – взрослые; 22 процента взрослого населения дают нам 1,2 миллиарда хронически страдающих от боли людей во всем мире.
Только в США более 50 миллионов взрослых страдают от хронической боли. – Это число получено от Центров по контролю и профилактике заболеваний, которые проанализировали данные Национального анкетирования по вопросам здоровья за 2016 год и установили, что от хронической боли страдают чуть более 50 миллионов взрослых американцев, или 20,4 процента населения. Центры по контролю и профилактике заболеваний определяют хроническую боль как «боль, которая наблюдается большую часть дней или каждый день в течение последних шести месяцев».
Dahlhamer, James, Jacqueline Lucas, Carla Zelaya, Richard Nahin, Sean Mackey, Lynn DeBar, Robert Kerns, Michael Von Korff, Linda Porter, and Charles Helmick. “Prevalence of chronic pain and highimpact chronic pain among adults – United States, 2016.” Morbidity and Mortality Weekly Report 67, no. 36 (2018): 1001.
…медицинского ток-шоу, которое выходит на канале CBS уже многие годы. – «Врачи» – удостоенное премии «Эмми» ток-шоу, в котором освещается широкий спектр вопросов медицины и здоровья. Транслируется в США и за границей компанией CBS Television Distribution и является спин-оффом передачи «Доктор Филл», которая, в свою очередь, спин-офф передачи «Шоу Опры Уинфри».
Разговор
Пациент. Хотите сказать, моя боль ненастоящая?
Я. Ну а вы ее чувствуете?
Пациент. Да.
Я. И вам больно?
Пациент. Да.
Я. Тогда она настоящая.
Мне всегда казалось странным, что одни виды боли считаются настоящими, а другие – нет. Когда я учился в Калифорнийском университете в Лос-Анджелесе, мое братство однажды пригласило гипнотизера на церемонию посвящения новых членов. Мой приятель Джейми вызвался добровольцем. Этот явно безнравственный гипнотизер ввел Джейми в транс и сказал ему, что у него горит рука. Джейми судорожно забегал вокруг и опустил руку в контейнер со льдом. Зрелище было уморительное.
После этого я спросил у Джейми, было ли ему больно. «Мне никогда в жизни не было так больно», – ответил он (ругательства я опустил). Как такое возможно?
В Питтсбургском университете проводилось исследование гипноза и боли[7]. Ученые помещали испытуемых в аппарат фМРТ и вызывали у них боль с помощью горячего зонда. Болевые центры мозга участников ярко вспыхивали на экране. Затем исследователи загипнотизировали тех же испытуемых и вызвали у них боль с помощью внушения. На фМРТ засветились те же самые участки мозга. Независимо от того, была ли боль вызвана физически или посредством гипноза, мозг воспринимал ее одинаково.
Боль есть боль, и она всегда настоящая. А так как любая боль обрабатывается в мозге, наш мозг способен оказывать невероятное влияние на то, где, когда и насколько сильную боль мы испытываем.
Наши больные спины
Боль в спине – наиболее распространенная форма хронической боли[8] и основная причина недееспособности во всем мире. Если вы страдаете от хронической боли в спине, то, возможно, вам приходилось участвовать в разговоре, похожем на этот.
Вы. У меня болит спина уже три месяца. Она болит, когда я сижу, болит, когда я стою, и болит, когда я хожу.
Врач-ортопед. Хм, МРТ вашего позвоночника показала, что у вас четырехмиллиметровая грыжа диска L2–L3 с частичной компрессией нервного корешка.
Вы. («Крик» Мунка.)
Этот диагноз звучит так, будто в вашем бедном, дефектном позвоночнике есть огромный диск, который выпирает и сдавливает один из ваших нервов. Картина ужасающая, но в то же время в чем-то привлекательная: у вас болит спина, и врач нашел там проблему. Все, что нужно сделать, – это устранить проблему в спине, и боль уйдет, верно?
К сожалению, нет. Исследования показали, что многие из наиболее распространенных операций на позвоночнике просто неэффективны[9]. И мало того, после операции боль настолько часто не проходит, что для этого даже придумали специальное название – синдром неудачной операции на позвоночнике[10].
На самом деле у большинства из нас есть протрузия или грыжа межпозвоночного диска. У большинства из нас можно найти дегенеративные изменения диска и признаки артрита. Знаете, у кого абсолютно безупречный позвоночник? У новорожденных детей. У них чудо какие кругленькие межпозвоночные диски, а в их очаровательных маленьких суставах нет и намека на воспаление. С течением жизни наш организм изнашивается, и состояние нашего тела ухудшается – это неизбежно и совершенно естественно. В ходе исследования, опубликованного в «Медицинском журнале Новой Англии», было обнаружено, что у 64 процентов людей, не испытывающих боли в спине, наблюдаются протрузии, грыжи и дегенерация межпозвоночных дисков[11]. Вообще-то эти структурные изменения являются нормой, и обычно они не связаны с болью.
Даже если на МРТ обнаруживаются какие-либо изменения, они обычно не коррелируют с физическими симптомами. В ходе одного швейцарского исследования ученые искали дегенерацию и протрузию межпозвоночных дисков у людей, страдающих от хронической боли в спине. Никакой связи между структурными нарушениями и симптомами испытуемых обнаружить не удалось[12].
Итак, если структурные повреждения не являются причиной большинства случаев хронической боли в спине, что же тогда ее вызывает?
Объединив передовую нейробиологию и толику Нострадамуса, группа ученых из Северо-Западного университета взяла курс на новый рубеж – предсказание боли[13]. Они отслеживали пациентов после первого эпизода боли в спине и пытались предсказать, у кого в дальнейшем разовьется хроническая боль. Удивительно, но прогнозы оказывались точными в 85 процентах случаев.
Ученые не проводили никаких обследований спины. Они не смотрели на рентгеновские или МРТ-снимки позвоночника. Они вообще не смотрели на спину пациентов – они смотрели только на их мозг. Проведя сканирование мозга и изучив уровень связи между двумя ключевыми областями, исследователи смогли с высокой точностью определить, у кого боль сохранится, а у кого пройдет.
Большинство случаев хронической боли в спине не вызваны структурными повреждениями позвоночника. Боль на 100 процентов настоящая, но это нейропатическая боль. Чтобы избавиться от нее, нужно воздействовать на мозг, а не на тело.
Настоящие хлыстовые травмы и фальшивые автоаварии
Представьте, что вы за рулем. Вы останавливаетесь на красном сигнале светофора, как вдруг раздается визг тормозов. Вы смотрите в зеркало заднего вида и видите водителя позади вас – с мобильным телефоном руке и с ужасом в глазах. Вы понимаете, что удара не избежать, и, когда он происходит, ваша голова резко дергается назад, а затем вперед. Ай. Это называют хлыстовой травмой шеи, и она часто приводит к головным болям или боли в области шеи. Хлыстовая травма – это разновидность растяжения шейных мышц и связок, и, как и при других растяжениях, обычно достаточно нескольких дней отдыха, чтобы она прошла.
Между тем иногда боль от хлыстовой травмы так и не проходит. Когда такое случается, диагностируют синдром хронической хлыстовой травмы. Во многих странах этот синдром приобрел характер эпидемии, и до 10 процентов потерпевших в аварии становятся инвалидами на всю жизнь.
Самое странное здесь то, что, как показали исследования, у синдрома хронической хлыстовой травмы нет никакой структурной основы[14]. Другими словами, тело выздоравливает, а боль по какой-то причине остается.
Группа исследователей решила, что ответ на эту медицинскую загадку можно найти в далекой Северной Европе. Литва – небольшая страна на берегу Балтийского моря, известная красивыми пейзажами и отличными баскетбольными командами (баскетбол там национальный вид спорта). Но вот чего вы не найдете в Литве, так это хронических хлыстовых травм. Там есть дороги, есть машины, которые регулярно врезаются сзади друг в друга, однако от хронической боли в шее никто не страдает.
Ученые обследовали сотни жертв аварий с наездом сзади и проследили за процессом их выздоровления. У многих пациентов сразу после аварии болела шея, однако год спустя их состояние ничем не отличалось от среднего по популяции.
Хронической хлыстовой травмы в Литве попросту не существует[15].![]()
Но если автомобильные аварии не вызывают хронические боли в шее, в чем же тогда кроется их причина?
Исследователи из Германии провели блестящий и немного безумный эксперимент, чтобы выяснить это[16]. Они набрали добровольцев для исследования автомобильных аварий. Участников сажали на водительское сиденье автомобиля, а сзади в него врезался другой автомобиль. Вот только на самом деле это было не так. Все было понарошку. Сами ученые называют это «плацебо-аварией».
Как можно инсценировать автомобильную аварию? Ученые разбивали бутылку, чтобы сымитировать звук удара при столкновении, а с помощью сложной системы шкивов и рампы автомобиль, в котором находились испытуемые, слегка дергался вперед. Фактического контакта с другой машиной не происходило, однако участники эксперимента были полностью убеждены, что в них врезались сзади.
Через три дня после инсценировки столкновения у 20 процентов участников появились боли в шее. Через четыре недели у 10 процентов из них симптомы сохранились. Боль была настоящей, но структурных повреждений в их теле не было. Им попросту неоткуда было взяться, ведь в их машину никто не врезался.
Источником боли была не шея, а кое-что в мозге участников эксперимента – их вера. Они верили, что попали в аварию, и верили, что хроническая хлыстовая травма является возможным побочным эффектом.![]()
Литовцы этой веры не разделяли. Поскольку в их стране хроническая хлыстовая травма не была распространена, жертвам автоаварий в Литве даже в голову не приходило, что боль может сохраниться на столь долгое время. Вот она и проходила.
Каким же образом вера в возможность хронической хлыстовой травмы может привести к реальной хронической боли? Ответ на этот вопрос вы найдете в третьей главе, а пока скажу лишь, что наш мозг, очевидно, достаточно мощен и сложен, чтобы генерировать и поддерживать болевые ощущения. Это звучит парадоксально, поскольку кажется, что боль исходит от нашего тела, однако в действительности она является нейропатической и исходит от нашего мозга. И это отличная новость: если мозг способен вызывать у нас боль, то он способен и избавить нас от нее.
Больная спина и хроническая хлыстовая травма – это лишь два примера хронических заболеваний, зачастую вызываемых нейропатической болью. У меня в запасе есть истории и исследования о многих других видах боли, включая головную, боль в животе, в области таза, суставах, невралгию, синдром раздраженного кишечника, а также травмы от повторяющихся нагрузок. Я не стану вдаваться в детали о каждой из них, замечу лишь, что мы с моими сотрудниками успешно лечили их все с помощью терапии переработки боли.
В каждом случае пациенты испытывали физические симптомы, однако физическое лечение не помогало. Когда мы взялись не за тело, а за мозг, пациенты наконец смогли избавиться от своей боли. Это возвращает нас к Кейси – моему пациенту с болью в животе, ставшему героем передачи «Врачи».
Никакой связи между структурными нарушениями и симптомами испытуемых обнаружить не удалось. – Kleinstück, Frank, Jiri Dvorak, and Anne F. Mannion. “Are ‘structural abnormalities’ on magnetic resonance imaging a contraindication to the successful conservative treatment of chronic nonspecific low back pain?” Spine 31, no. 19 (2006): 2250–2257.
…группа ученых из Северо-Западного университета взяла курс на новый рубеж – предсказание боли. – Baliki, Marwan N., Bogdan Petre, Souraya Torbey, Kristina M. Herrmann, Lejian Huang, Thomas J. Schnitzer, Howard L. Fields, and A. Vania Apkarian. “Corticostriatal functional connectivity predicts transition to chronic back pain.” Nature Neuroscience 15, no. 8 (2012): 1117–1119.
…у синдрома хронической хлыстовой травмы нет никакой структурной основы. – В этой статье обсуждается отсутствие структурных повреждений при хронической хлыстовой травме и уровни ее распространенности в разных странах: Ferrari, Robert, and Anthony S. Russell. “Epidemiology of whiplash: An international dilemma.” Annals of the Rheumatic Diseases 58, no. 1 (1999): 1–5.
Хронической хлыстовой травмы в Литве попросту не существует. – В исследовании, проведенном в Литве, почти половина участников сразу после аварии испытывала ту или иную боль: 10 процентов жаловались на боль в шее, 19 процентов – на головную боль, а еще 18 процентов – на боль в шее и головную боль. Однако через год процент участников, сообщавших о боли, снизился до того же уровня, что и среди литовцев, никогда не попадавших в аварию.
Obelieniene, Diana, Harald Schrader, Gunnar Bovim, Irena Misevičiene, and Trond Sand. “Pain after whiplash: A prospective controlled inception cohort study.” Journal of Neurology, Neurosurgery, and Psychiatry 66, no. 3 (1999): 279–283.
…после операции боль настолько часто не проходит, что для этого даже придумали специальное название… – Синдром неудачной операции на позвоночнике – очень распространенный исход спинальной хирургии. Точная степень распространенности зависит от типа операции и от того, кого вы спрашиваете (пациента или хирурга).
В одном исследовании, посвященном операции по сращиванию поясничных позвонков, было установлено, что 46 процентов пациентов испытывают после операции такую же или более сильную боль. Другие исследования показали, что доля неудачных операций составляет от 19 до 36 процентов.
В данном обзоре приводится информация о синдроме неудачной операции на позвоночнике и обсуждаются показатели неудач при различных операциях:
Chan, Chinwern, and Philip Peng. «Failed back surgery syndrome». Pain Medicine 12, no. 4 (2011): 577–606.
…у 64 процентов людей, не испытывающих боли в спине, наблюдаются протрузии, грыжи и дегенерация межпозвоночных дисков. – Исследование показало, что у 64 процентов испытуемых без болей в спине был по крайней мере один диск с отклонениями, а у 38 процентов – более одного!
Jensen, Maureen C., Michael N. Brant-Zawadzki, Nancy Obuchowski, Michael T. Modic, Dennis Malkasian, and Jeffrey S. Ross. “Magnetic resonance imaging of the lumbar spine in people without back pain.” New England Journal of Medicine 331, no. 2 (1994): 69–73.
Исследователи из Германии провели блестящий и немного безумный эксперимент… – Castro, W. H. M., S. J. Meyer, M. E. R. Becke, C. G. Nentwig, M. F. Hein, B. I. Ercan, S. Thomann, U. Wessels, and A. E. Du Chesne. “No stress – no whiplash?” International Journal of Legal Medicine 114, no. 6 (2001): 316–322.
Боль в спине – наиболее распространенная форма хронической боли… – Национальный центр статистики здравоохранения в ходе Национального анкетирования по вопросам здоровья в 2017 году получил следующие результаты:
⏷ боль в пояснице – 28 процентов;
⏷ мигрени или сильные головные боли – 15,5 процента;
⏷ боль в шее – 14,9 процента;
⏷ боль в лице или челюсти – 4,4 процента.
National Health Interview Survey, 2017. Hyattsville, Maryland, 2018. Hoy, Damian, Lyn March, Peter Brooks, Fiona Blyth, Anthony Woolf, Christopher Bain, Gail Williams, et al.
“The global burden of low back pain: Estimates from the Global Burden of Disease 2010 study.” Annals of the Rheumatic Diseases 73, no. 6 (2014): 968–974.
В Питтсбургском университете проводилось исследование гипноза и боли. – В этом исследовании использовали горячий зонд (48 градусов по Цельсию), чтобы вызвать боль у добровольцев. Функциональная магнитно-резонансная томография показала активность в таламусе, передней поясной коре, передней островковой доле, теменной и префронтальной коре. Считается, что эти области мозга являются частью сети, отвечающей за ощущение боли. Когда участники испытывали гипнотически вызванную боль (без горячего зонда), фМРТ показывала аналогичную картину активности мозга.
Derbyshire, Stuart W. G., Matthew G. Whalley, V. Andrew Stenger, and David A. Oakley. “Cerebral activation during hypnotically induced and imagined pain.” Neuroimage 23, no. 1 (2004): 392–401.
…многие из наиболее распространенных операций на позвоночнике просто неэффективны. – Это исследование показало, что у пациентов, перенесших дискэктомию, результаты не лучше, чем у тех, кому операцию не делали:
Thomas, Kenneth C., Charles G. Fisher, Michael Boyd, Paul Bishop, Peter Wing, and Marcel F. Dvorak. “Outcome evaluation of surgical and nonsurgical management of lumbar disc protrusion causing radiculopathy.” Spine 32, no. 13 (2007): 1414–1422.
Этот обзор четырех исследований показал, что операция по сращиванию поясничных позвонков не более эффективна, чем лечение нехирургическими методами:
Mirza, Sohail K., and Richard A. Deyo. “Systematic review of randomized trials comparing lumbar fusion surgery to nonoperative care for treatment of chronic back pain.” Spine 32, no. 7 (2007): 816–823.
Этот обзор четырех популярных ортопедических операций показал, что ни одна из них не эффективнее плацебо в виде «фиктивных» операций в снижении боли и ограниченности движений:
Louw, Adriaan, Ina Diener, César Fernández-de-las-Peñas, and Emilio J. Puentedura. “Sham surgery in orthopedics: A systematic review of the literature.” Pain Medicine 18, no. 4 (2017): 736–750.
Исцеление Кейси
Кейси и его семья сидели в моем кабинете, стараясь не обращать внимания на двух операторов в паре метров от них. Мама Кейси, сдерживая слезы, рассказала мне его историю. Она сказала:
– Мы перепробовали все. Лекарства, процедуры, операции… Ничего не помогло.
Я объяснил Кейси, в чем суть нейропатической боли: наш мозг создает очень реальные болевые ощущения даже при отсутствии травмы, – и добавил, что от этой боли можно избавиться. Кейси почувствовал проблеск надежды, и по его лицу потекли слезы.
– Мы все исправим, дружок, – сказала его мама, изо всех сил стараясь поверить в собственные слова.
Мы с Кейси встречались раз в неделю. Мы обсуждали, как развивается его боль и почему она не проходит. Я научил его элементам терапии переработки боли, и мы вместе тренировались их выполнять.
Четыре недели спустя он без боли размахивал бейсбольной битой в моем кабинете. Через шесть недель он уже бегал на полной скорости по коридору (к большому удивлению моих коллег).
Через три месяца ему удалось полностью избавиться от боли.![]()
Вскоре после этого он вернулся в школу, где ему было самое место. А еще его взяли центральным принимающим в школьную команду по бейсболу!
По просьбе продюсеров передачи «Врачи» мы сделали фМРТ мозга Кейси до начала лечения и по его окончании[17]. В медицинской литературе полно фМРТ-снимков людей, испытывающих боль разной интенсивности, однако никому в голову не пришло изучить, как выглядит мозг после излечения от хронической боли. Будут ли в мозге Кейси заметные изменения?
Мозговая активность Кейси до начала лечения
